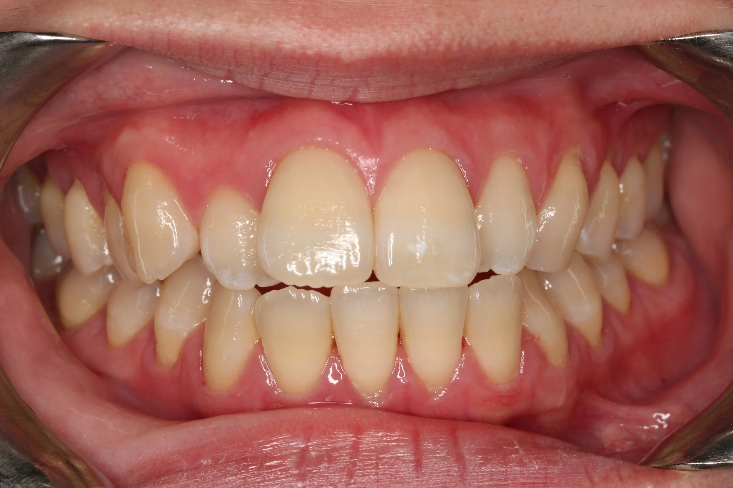
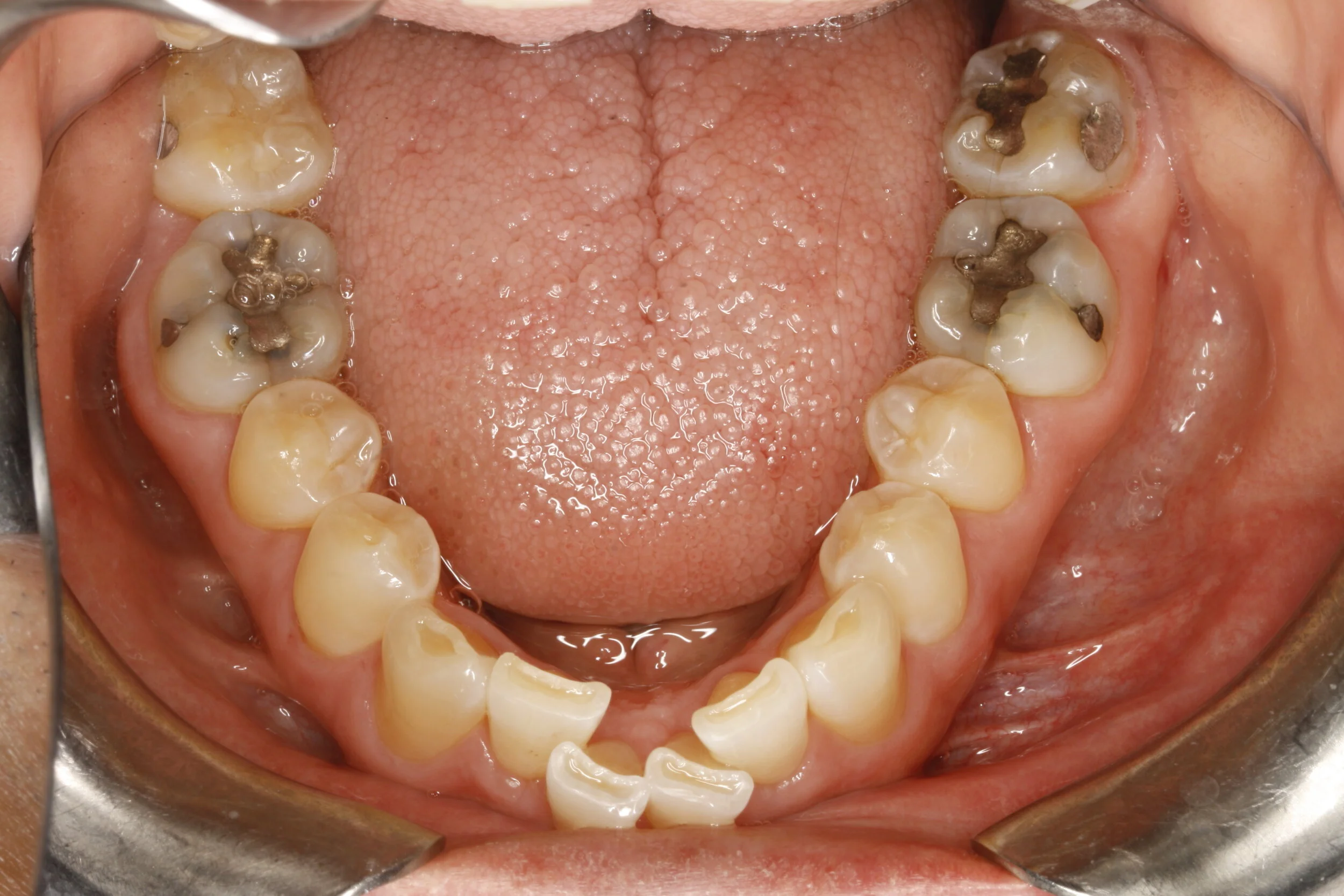
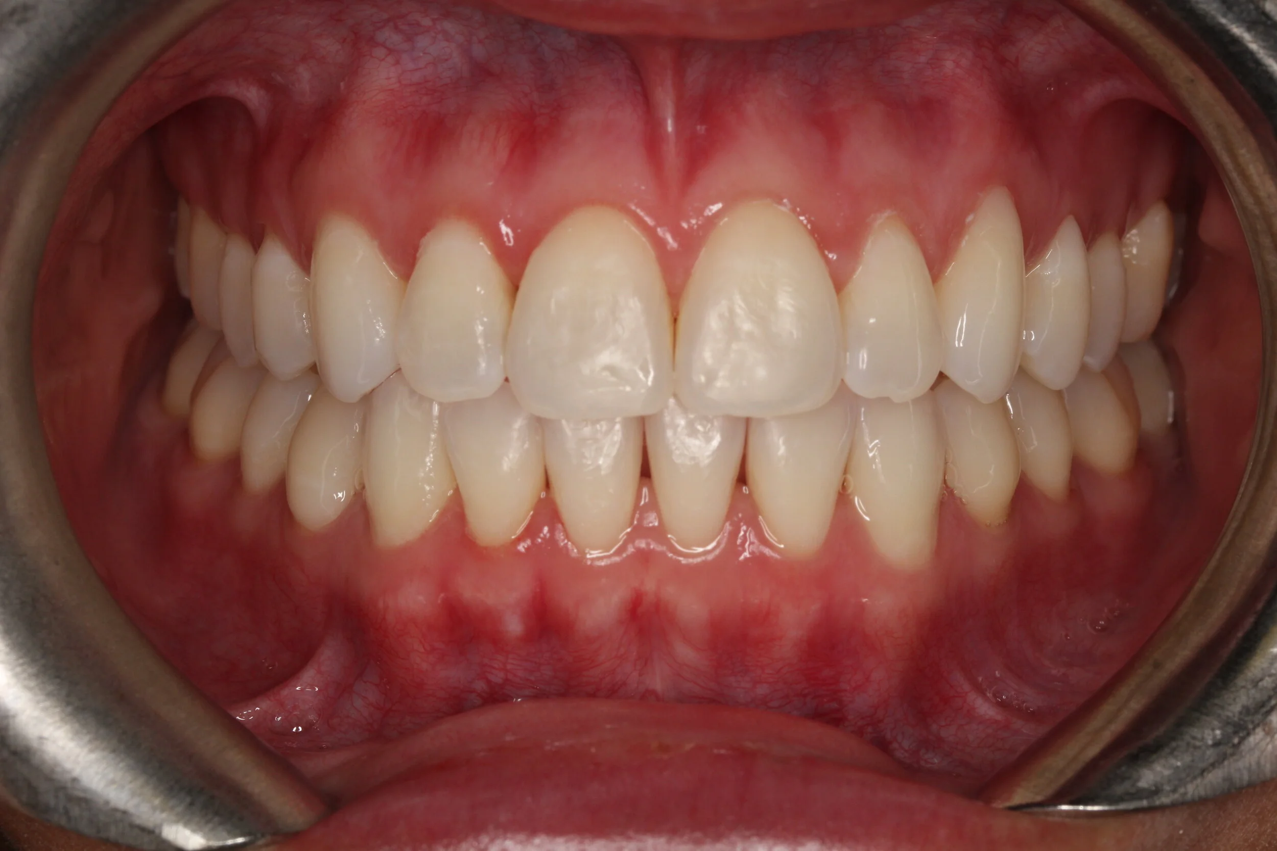
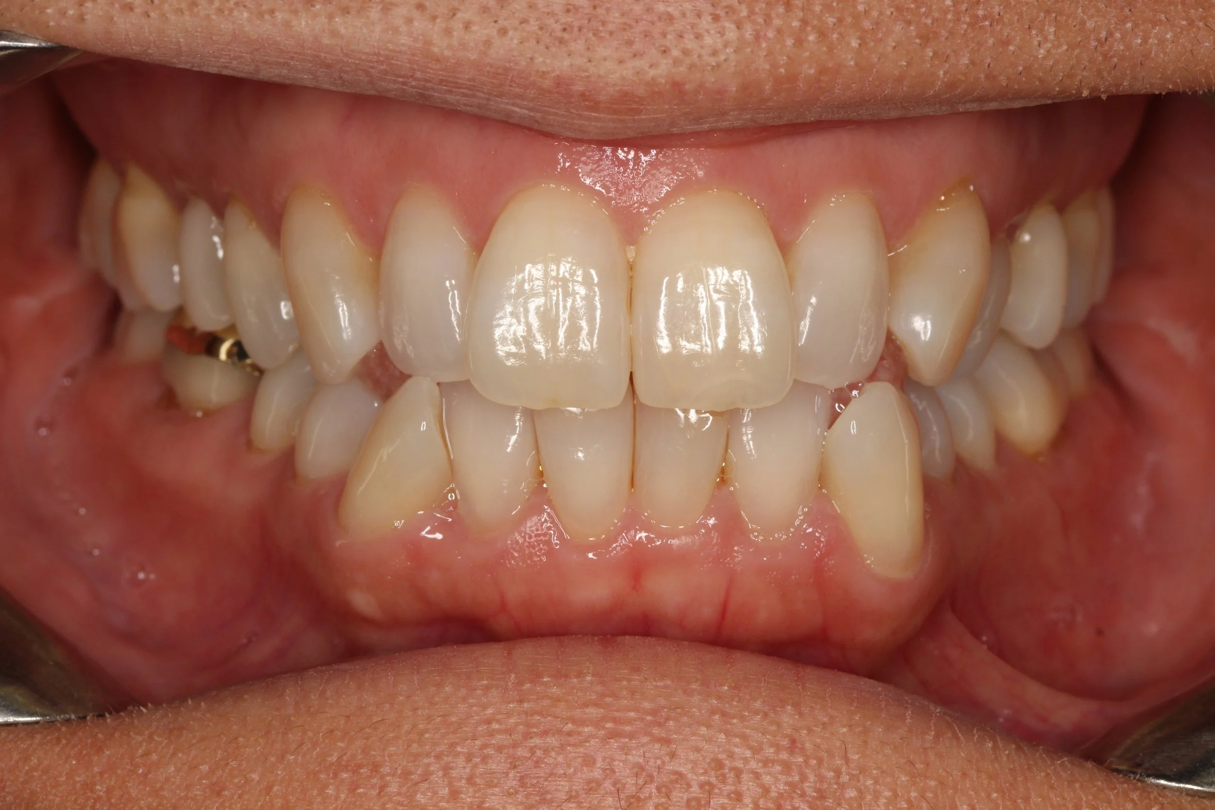
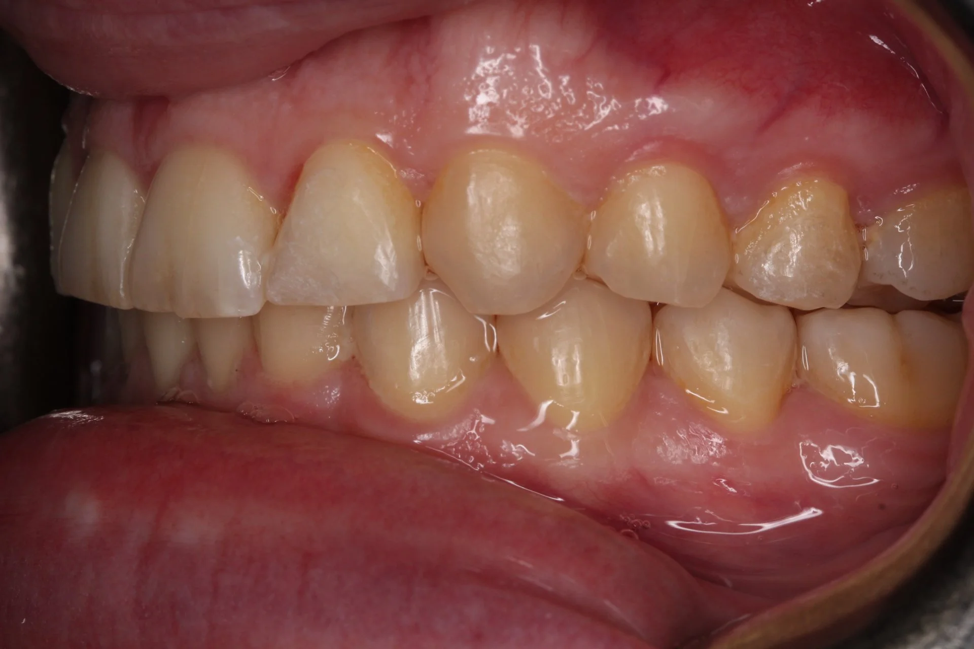
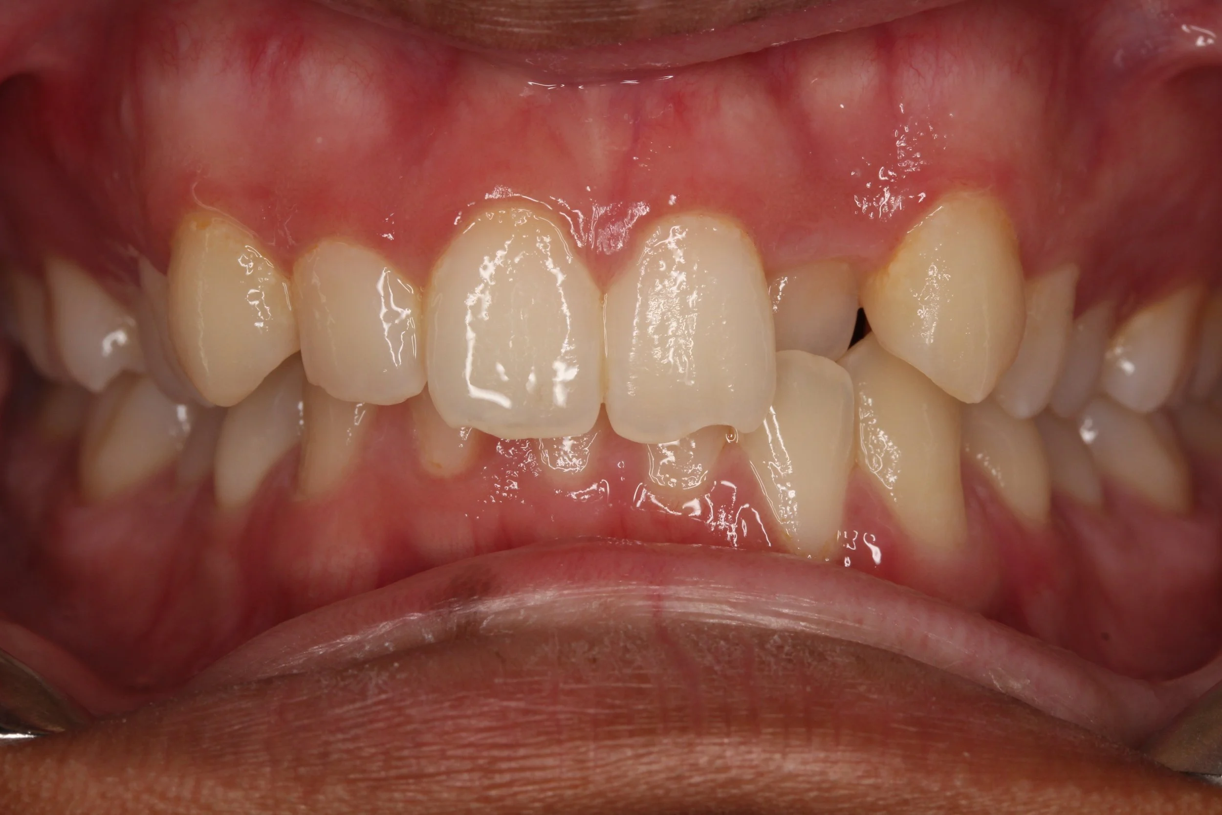
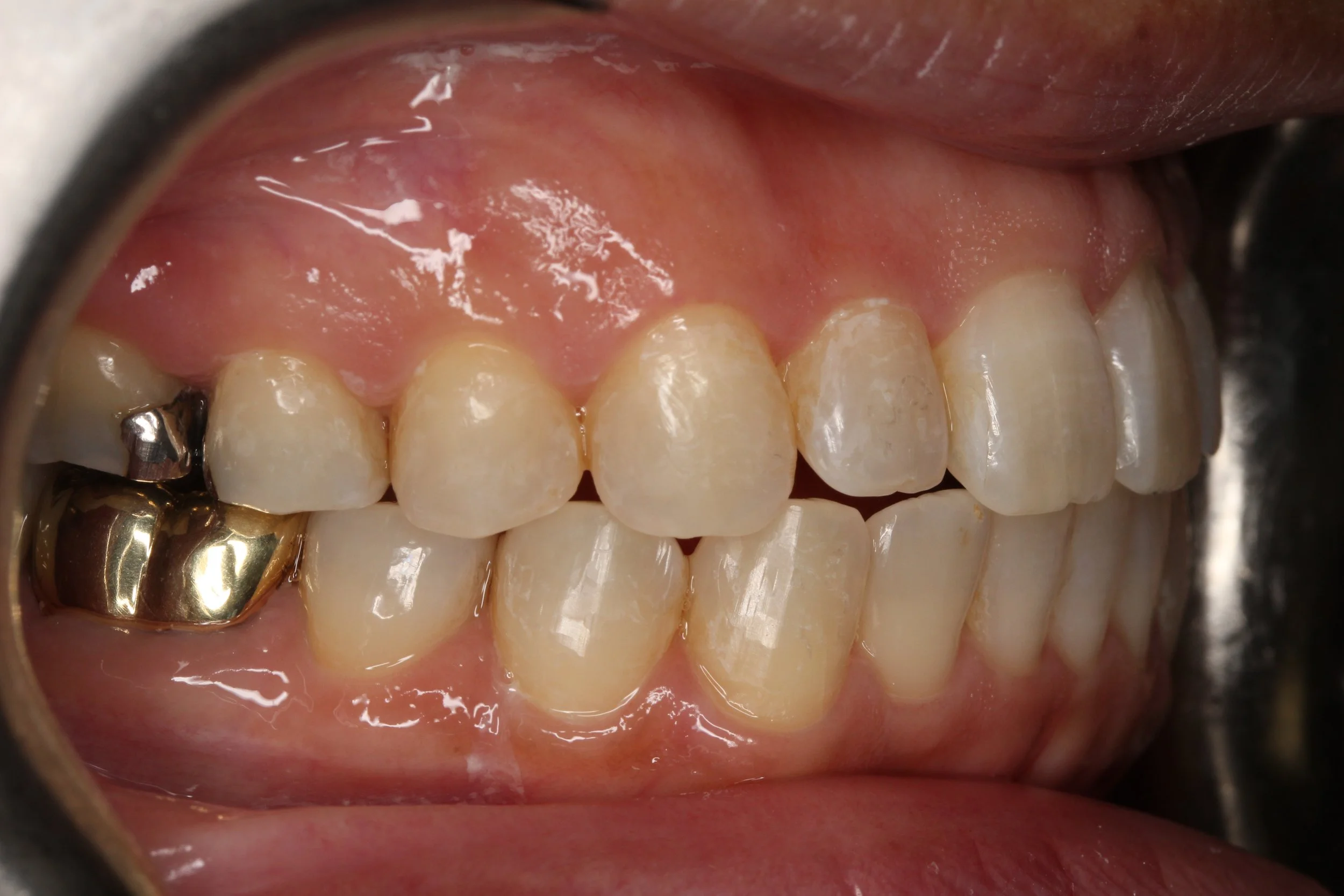
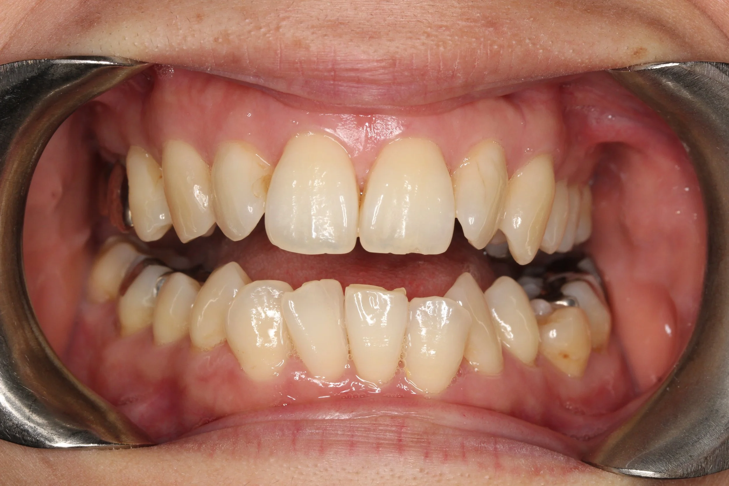
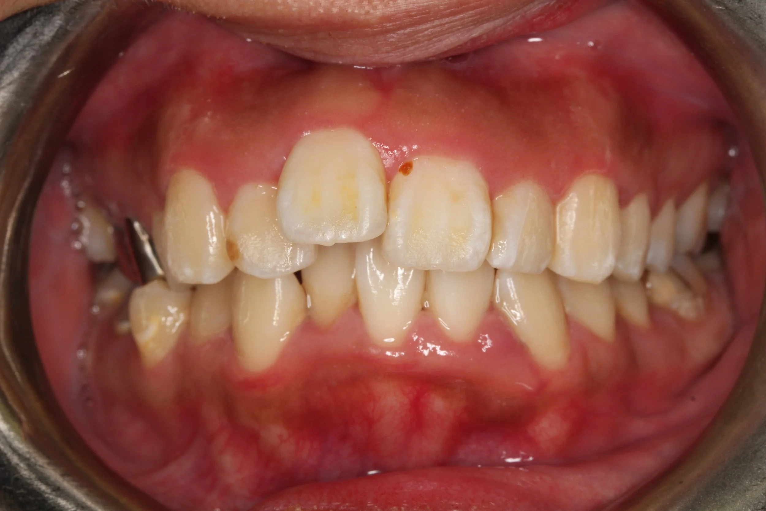
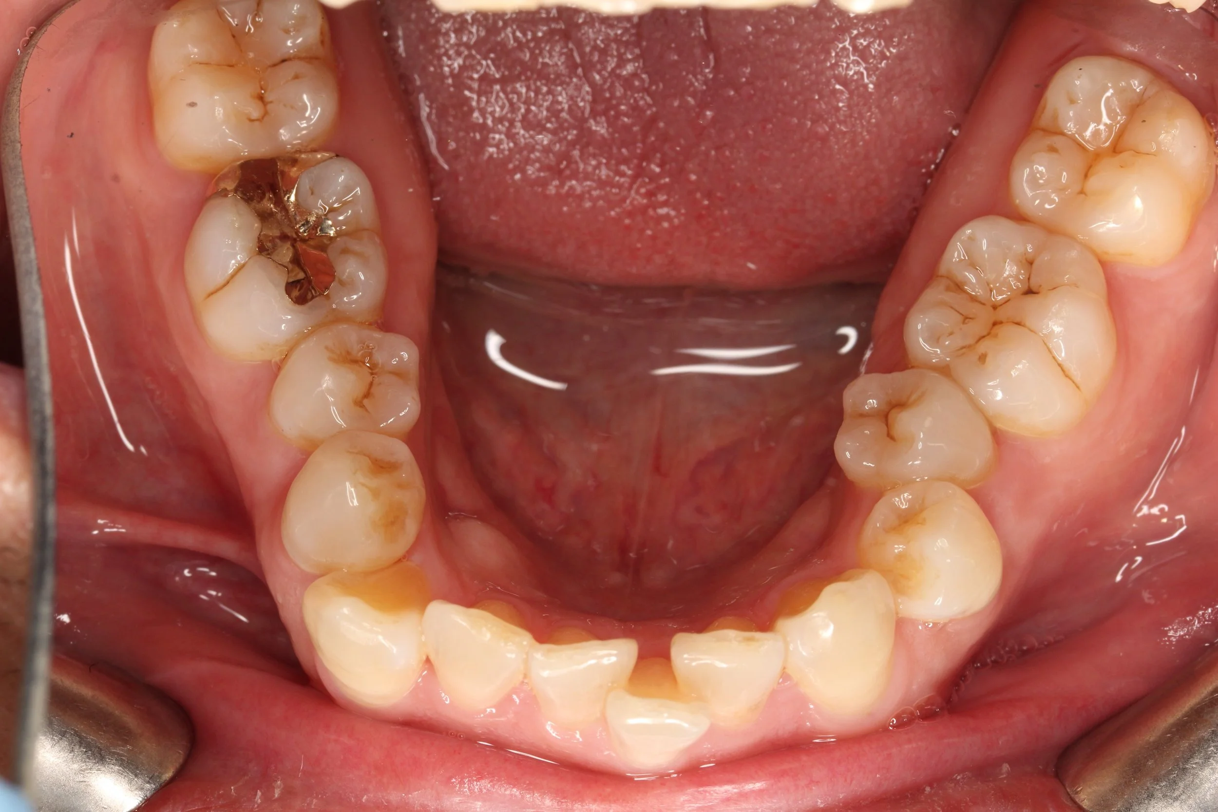
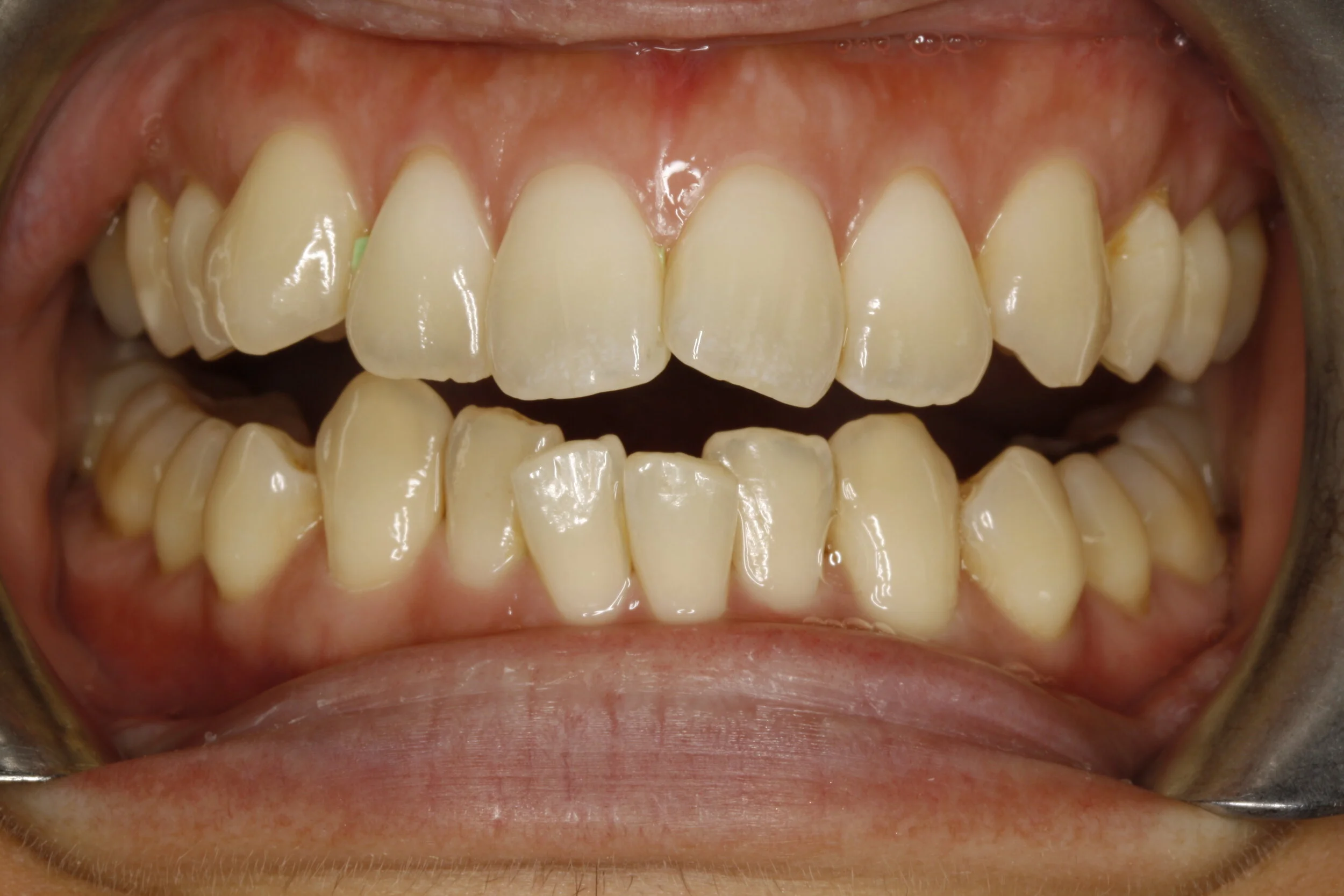
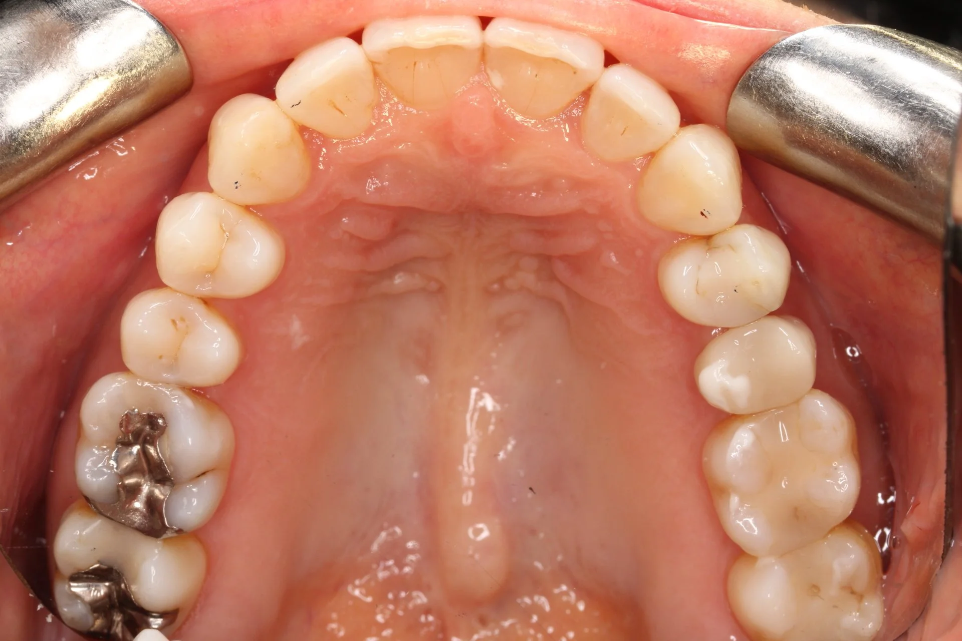
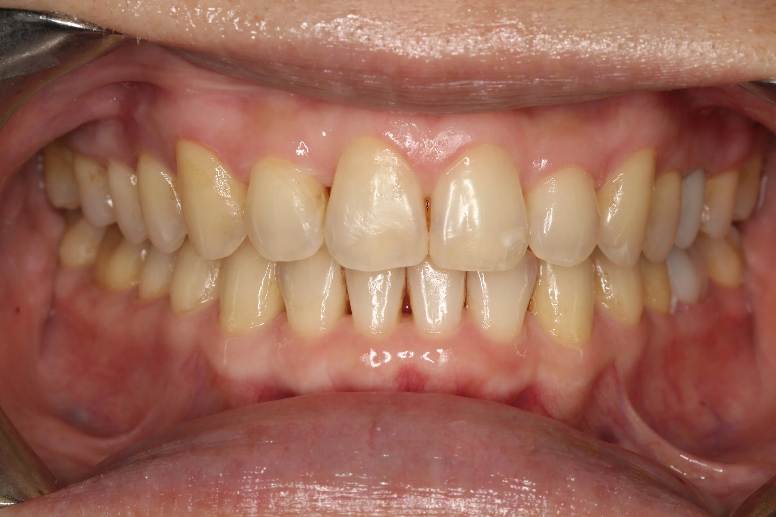
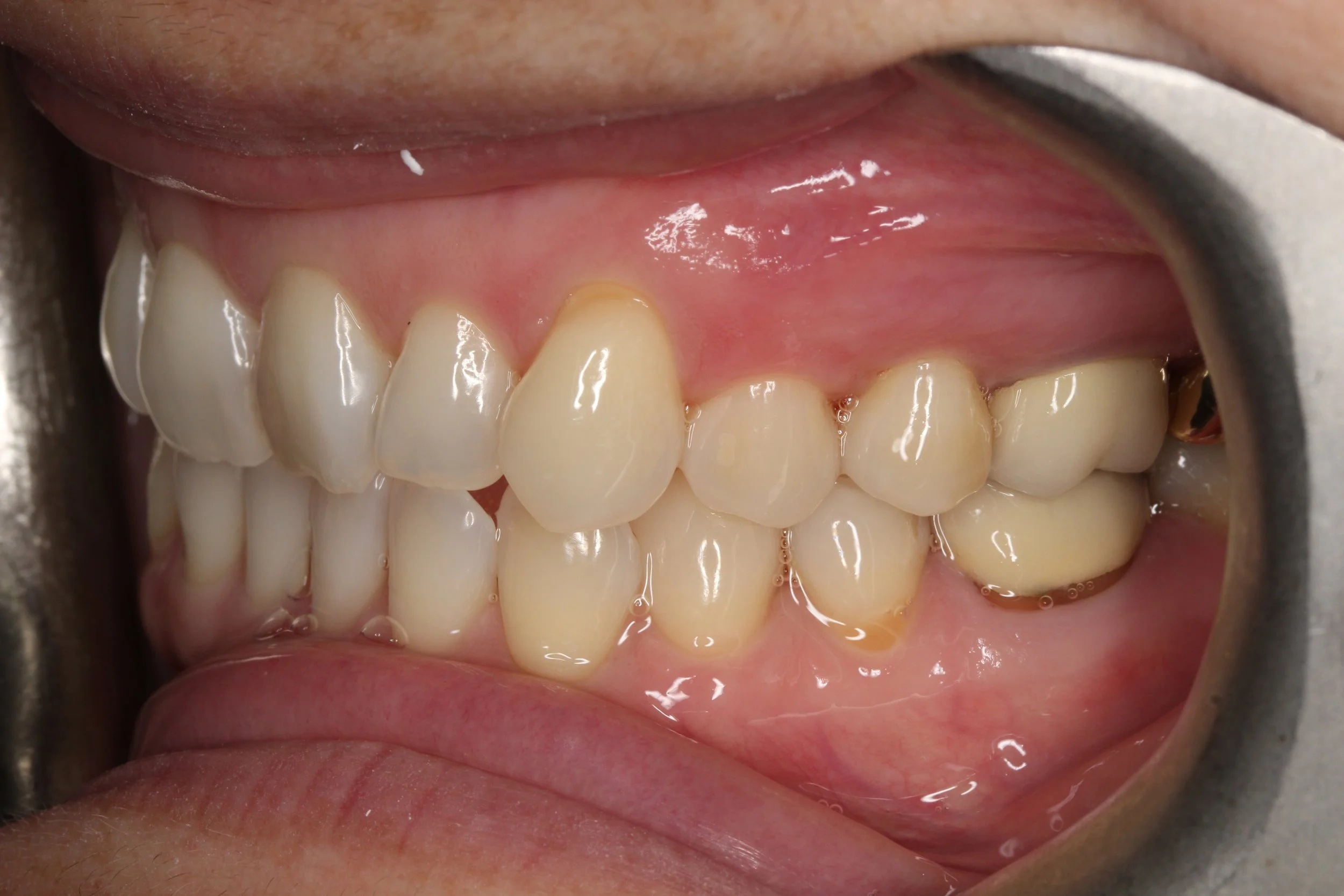
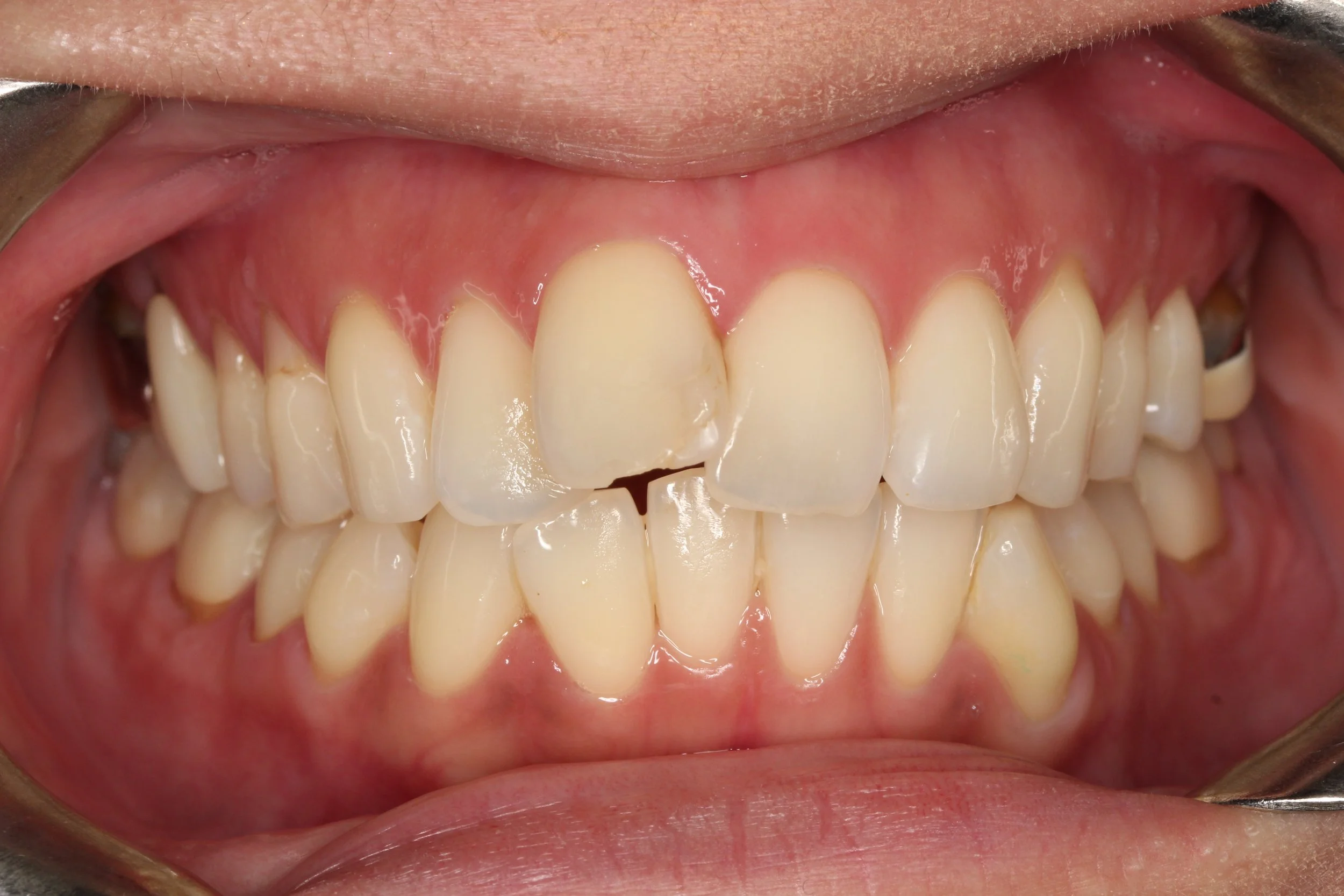
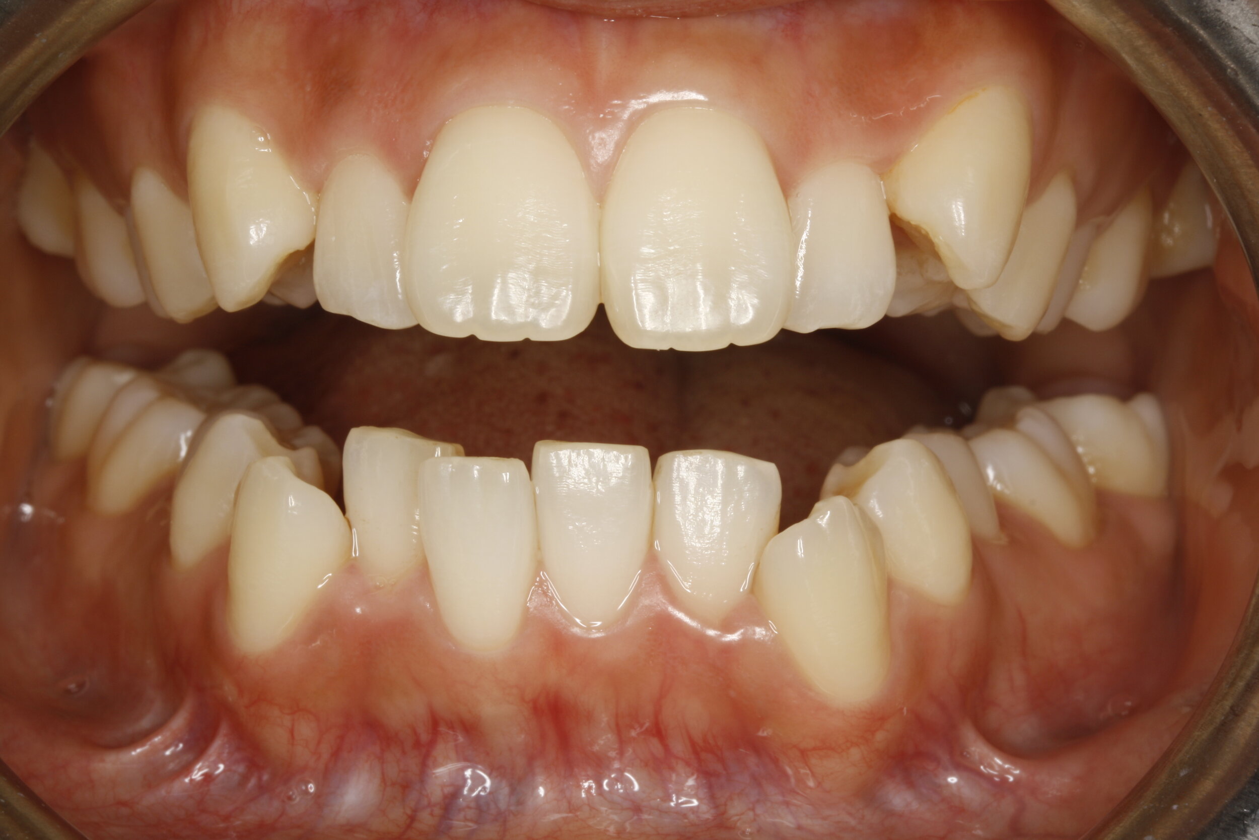
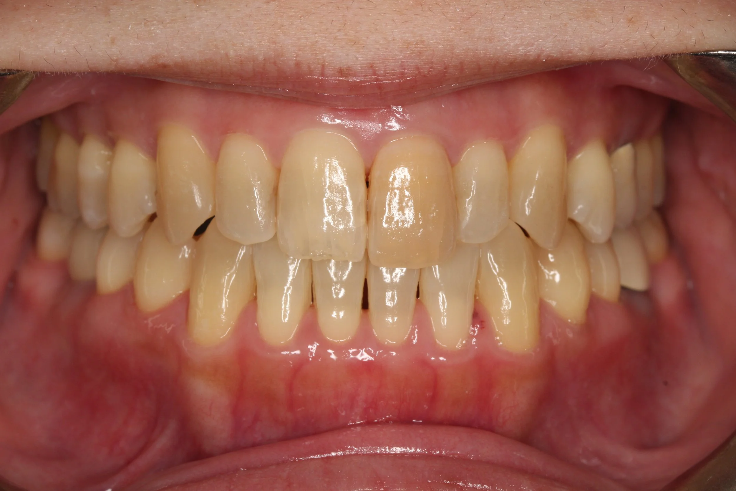
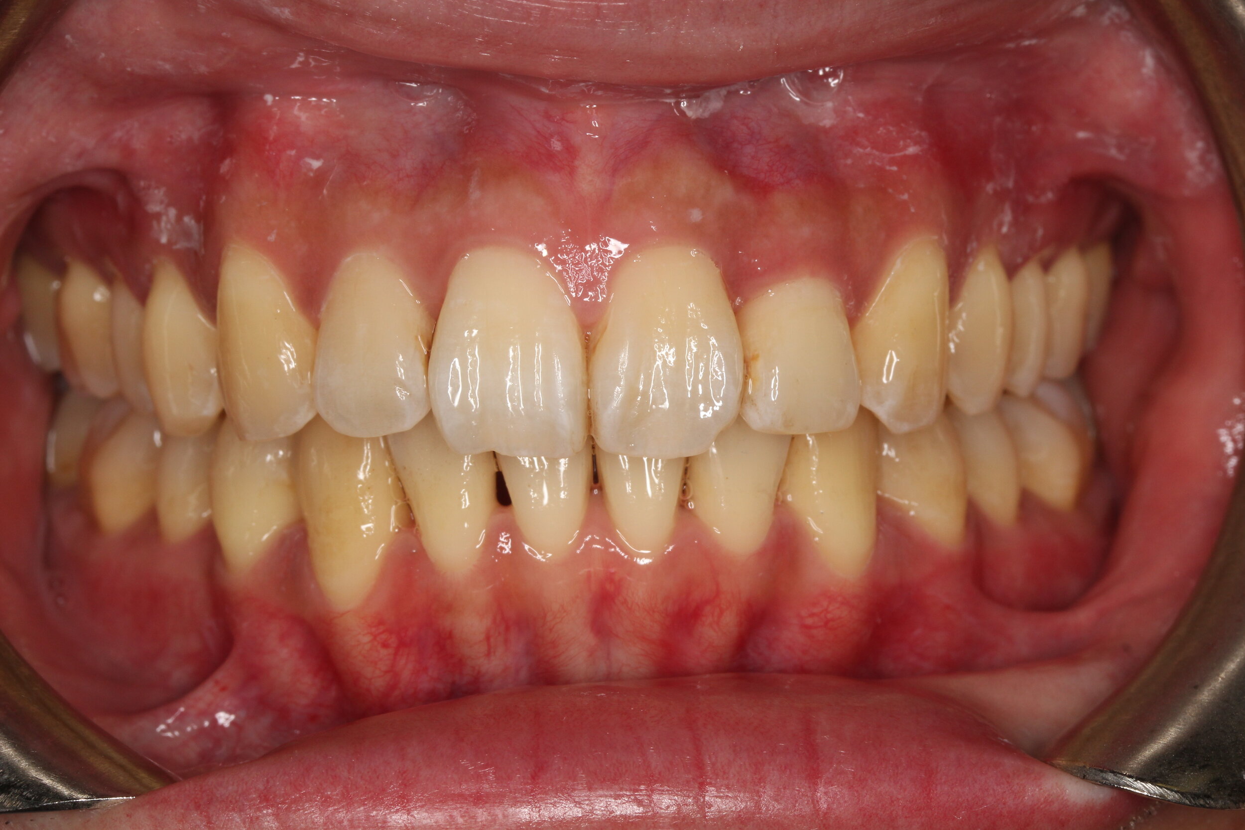
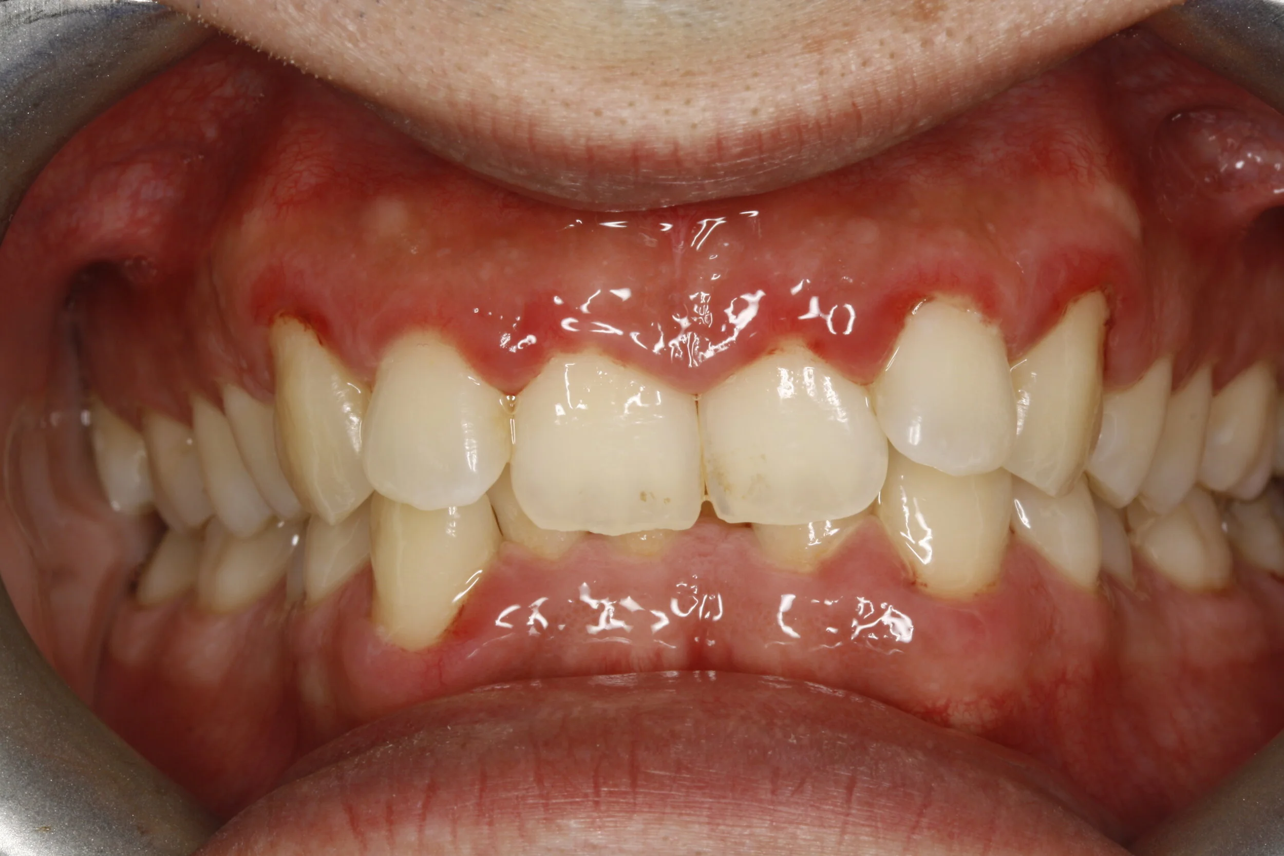
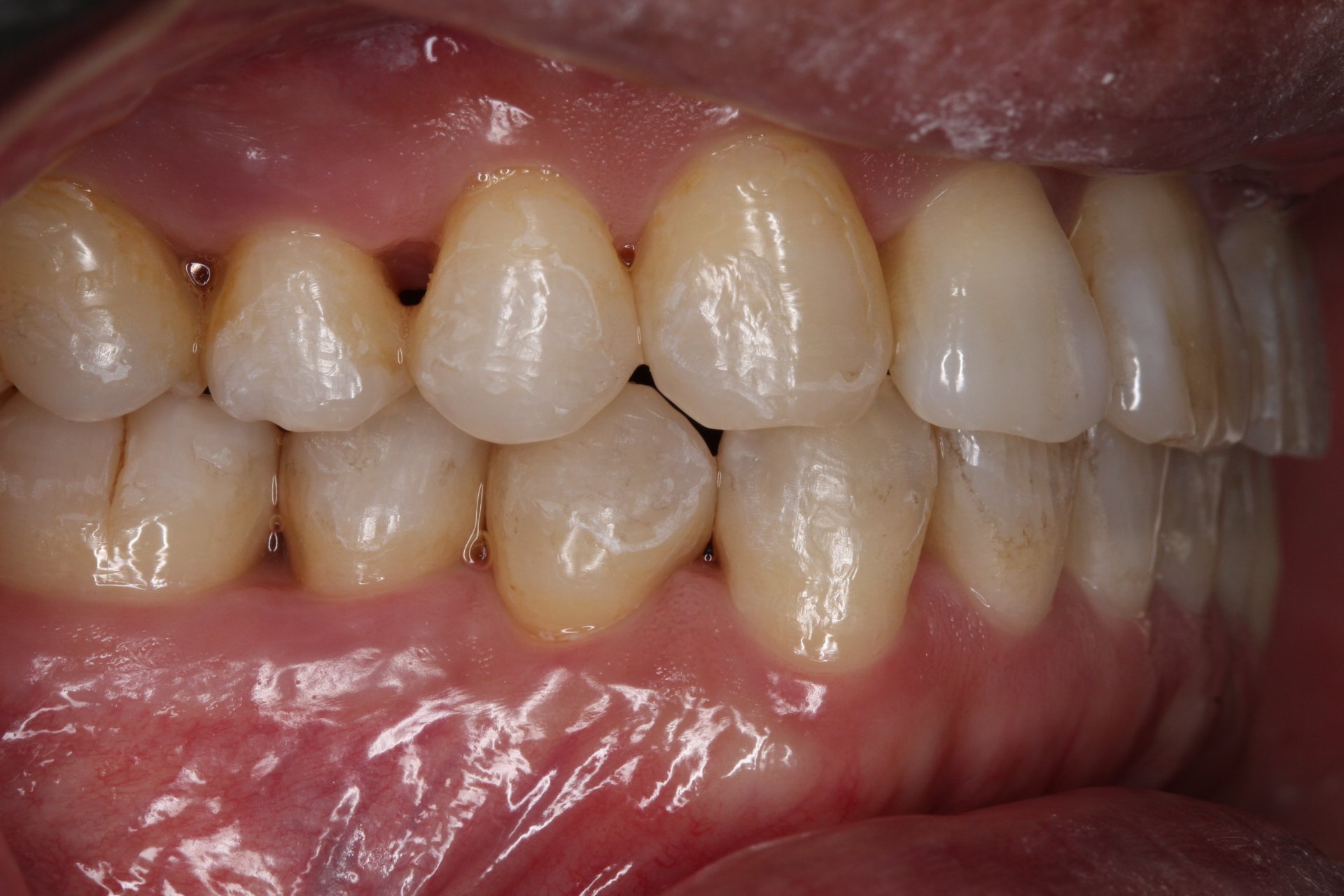
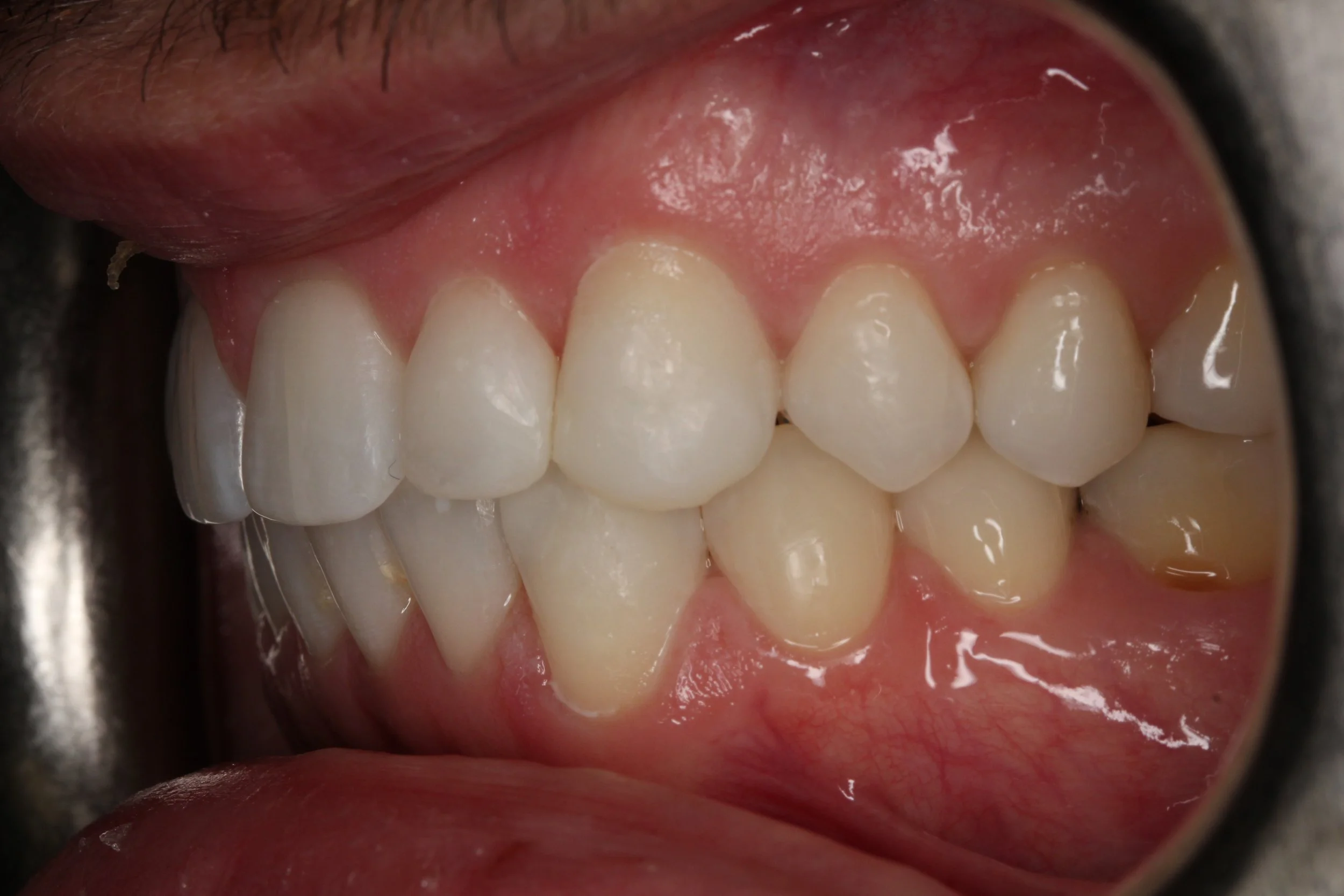
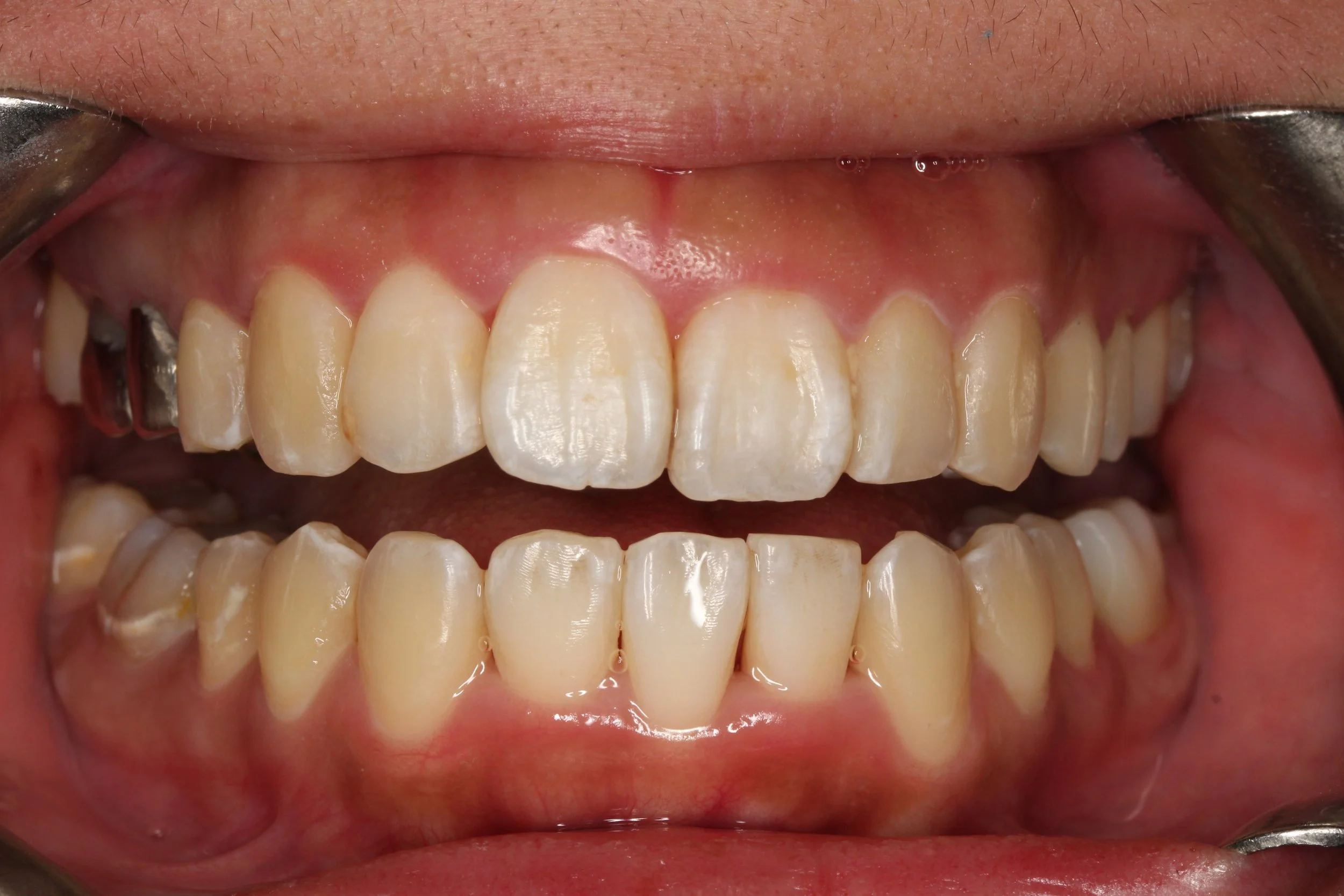
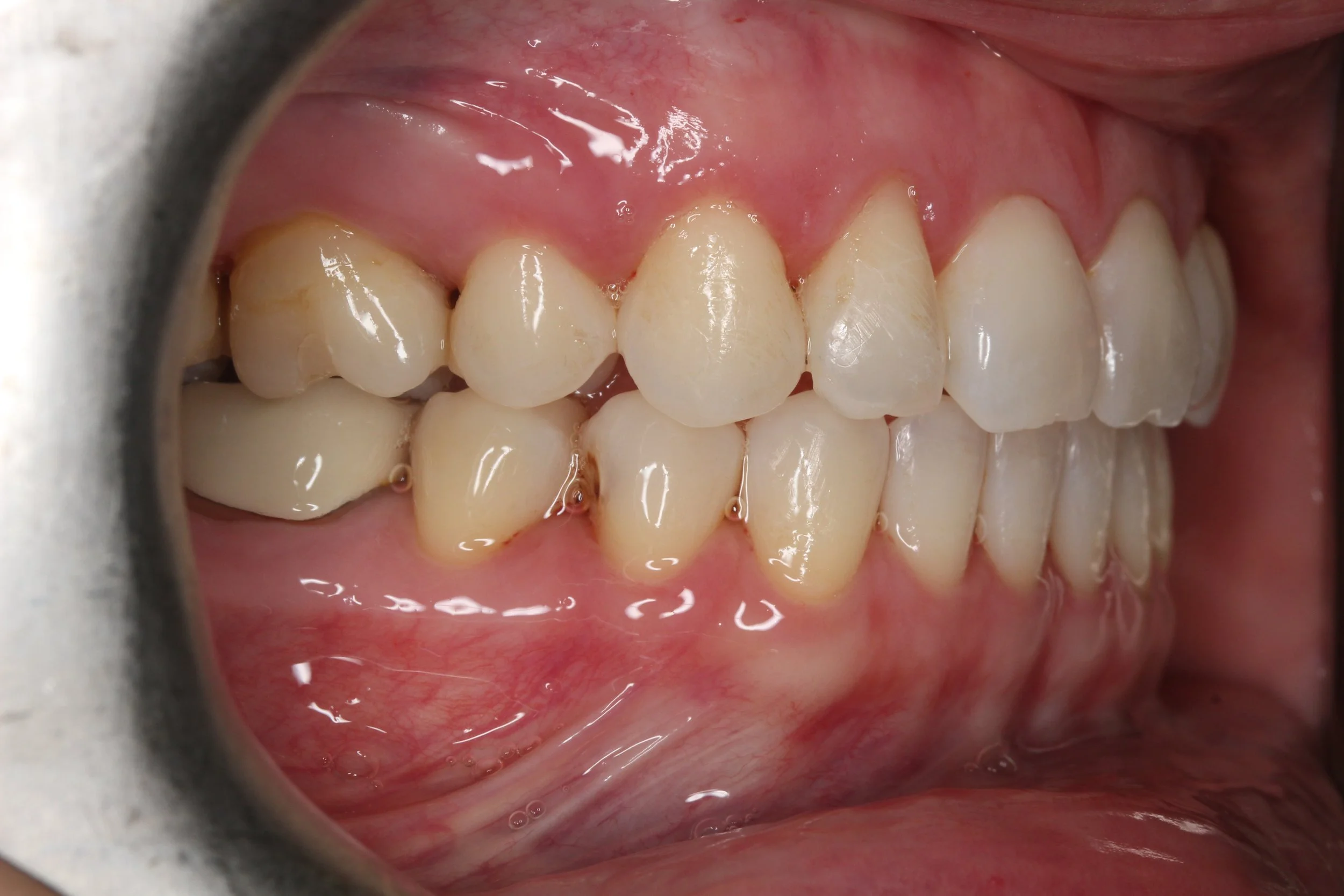
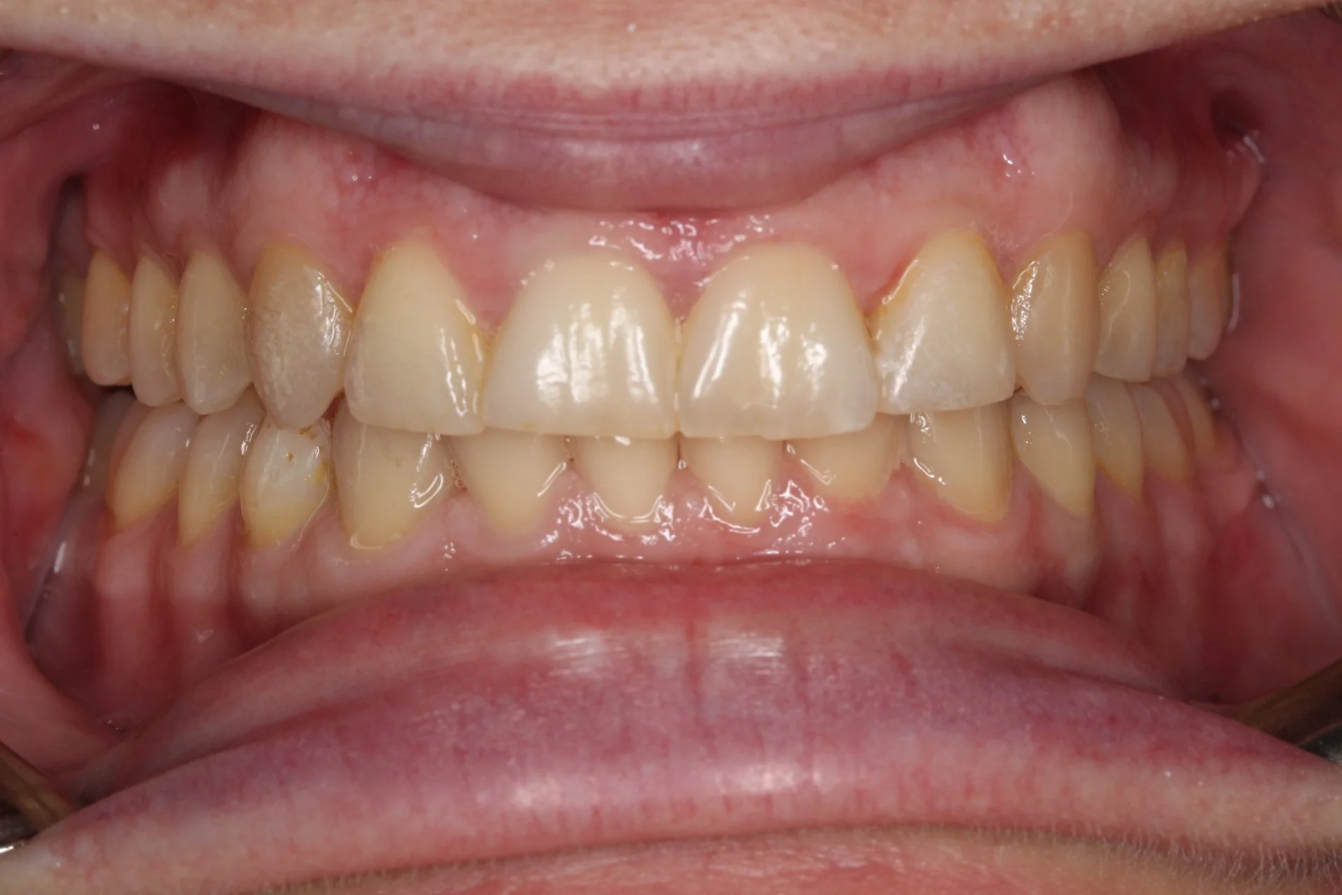
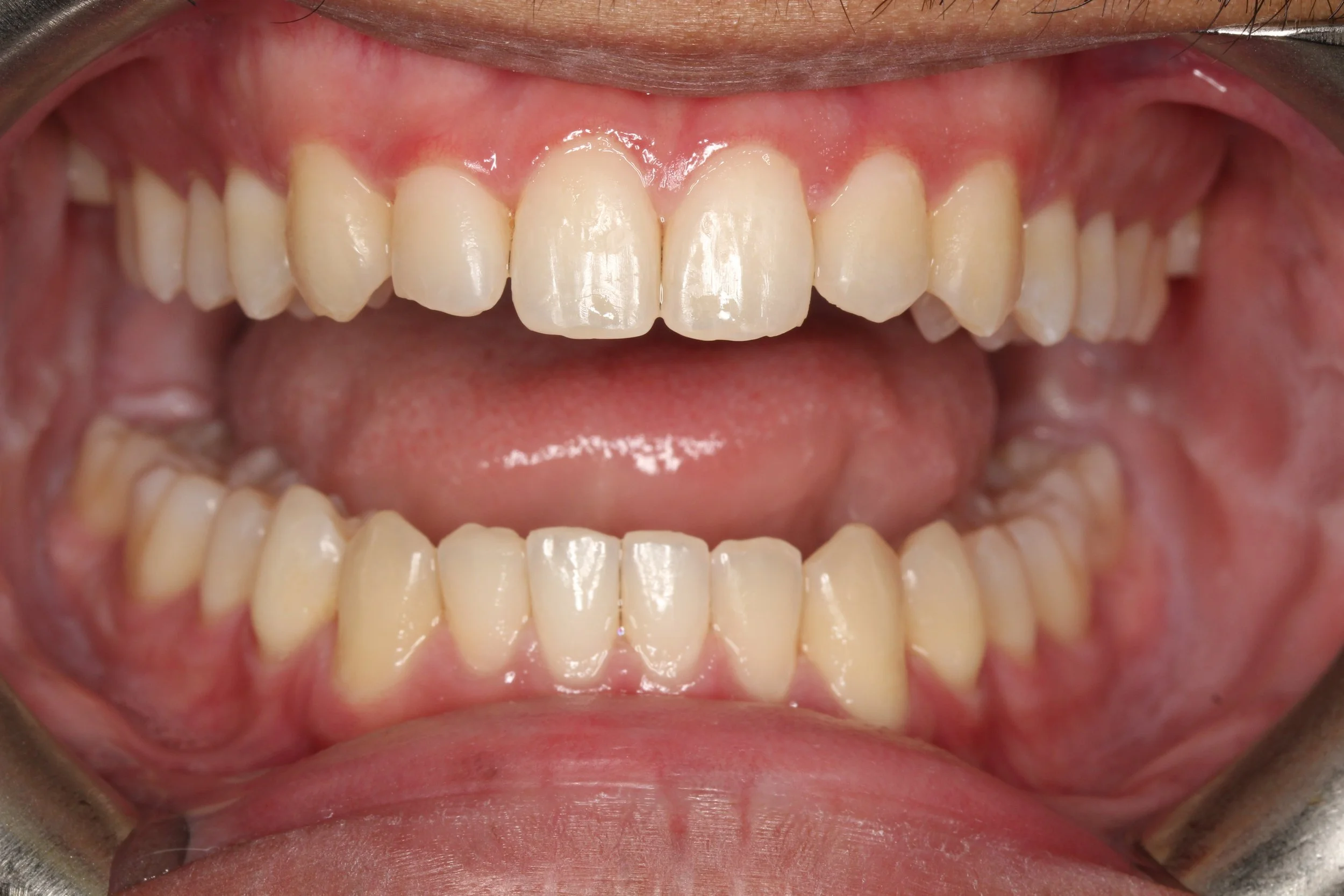
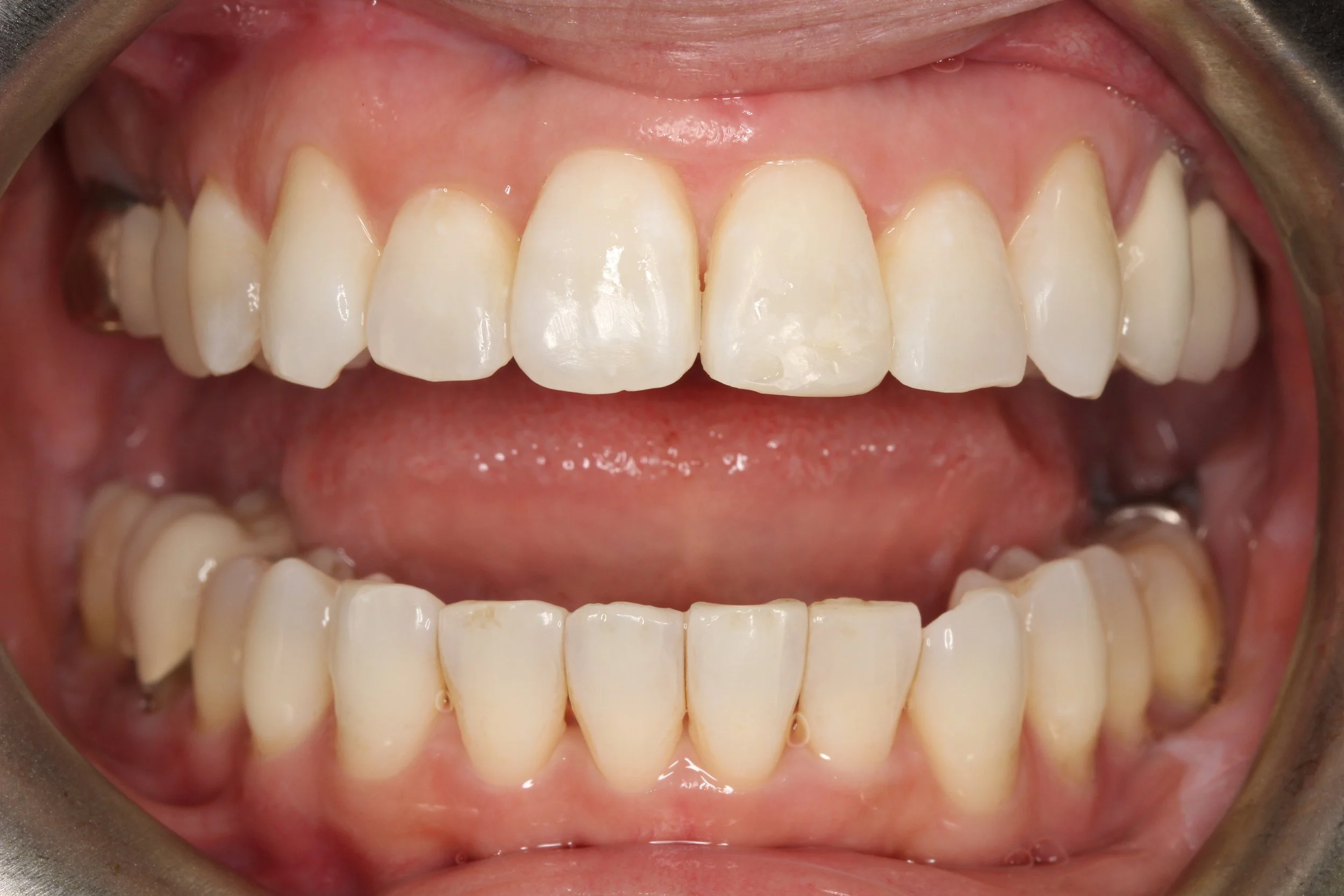
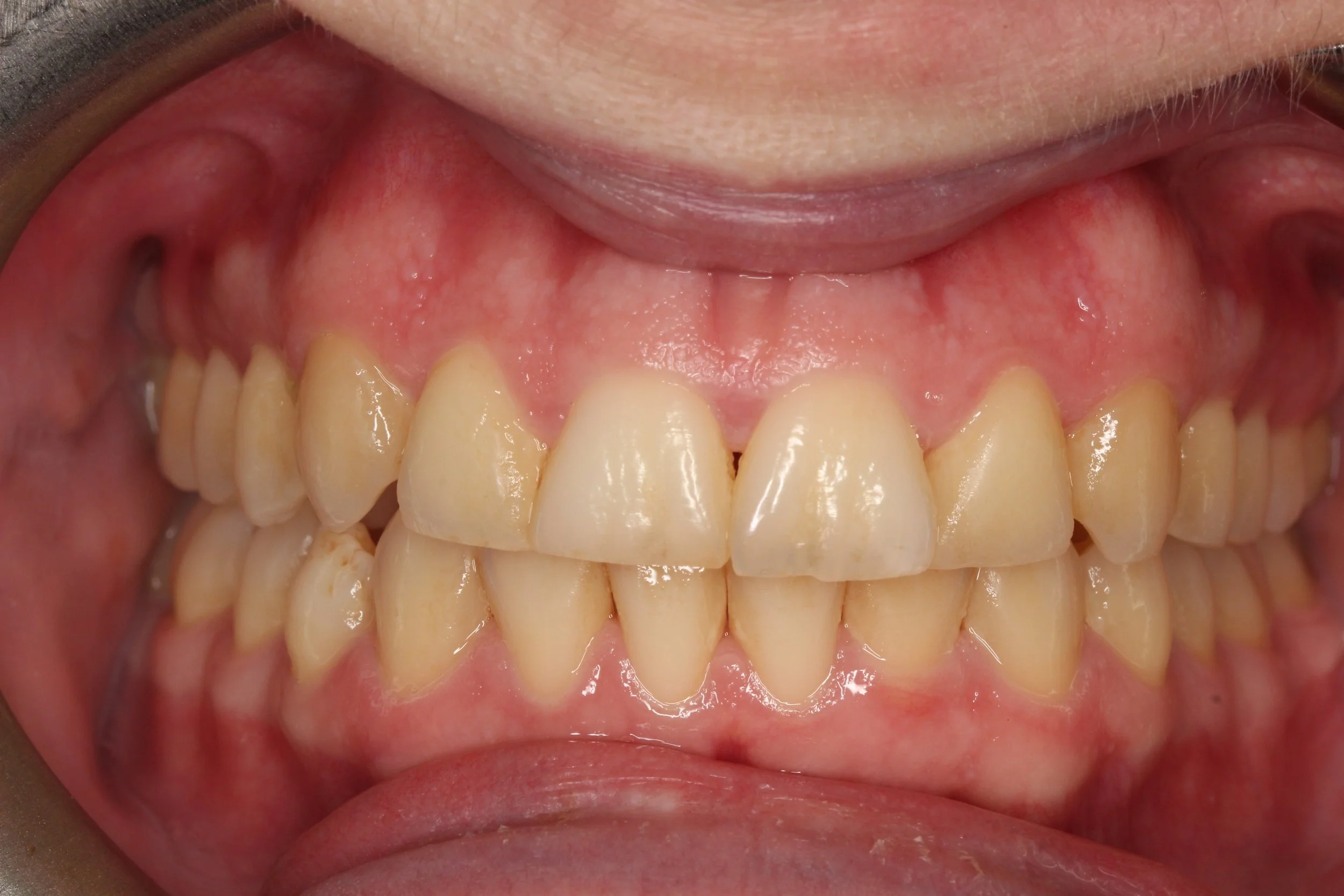
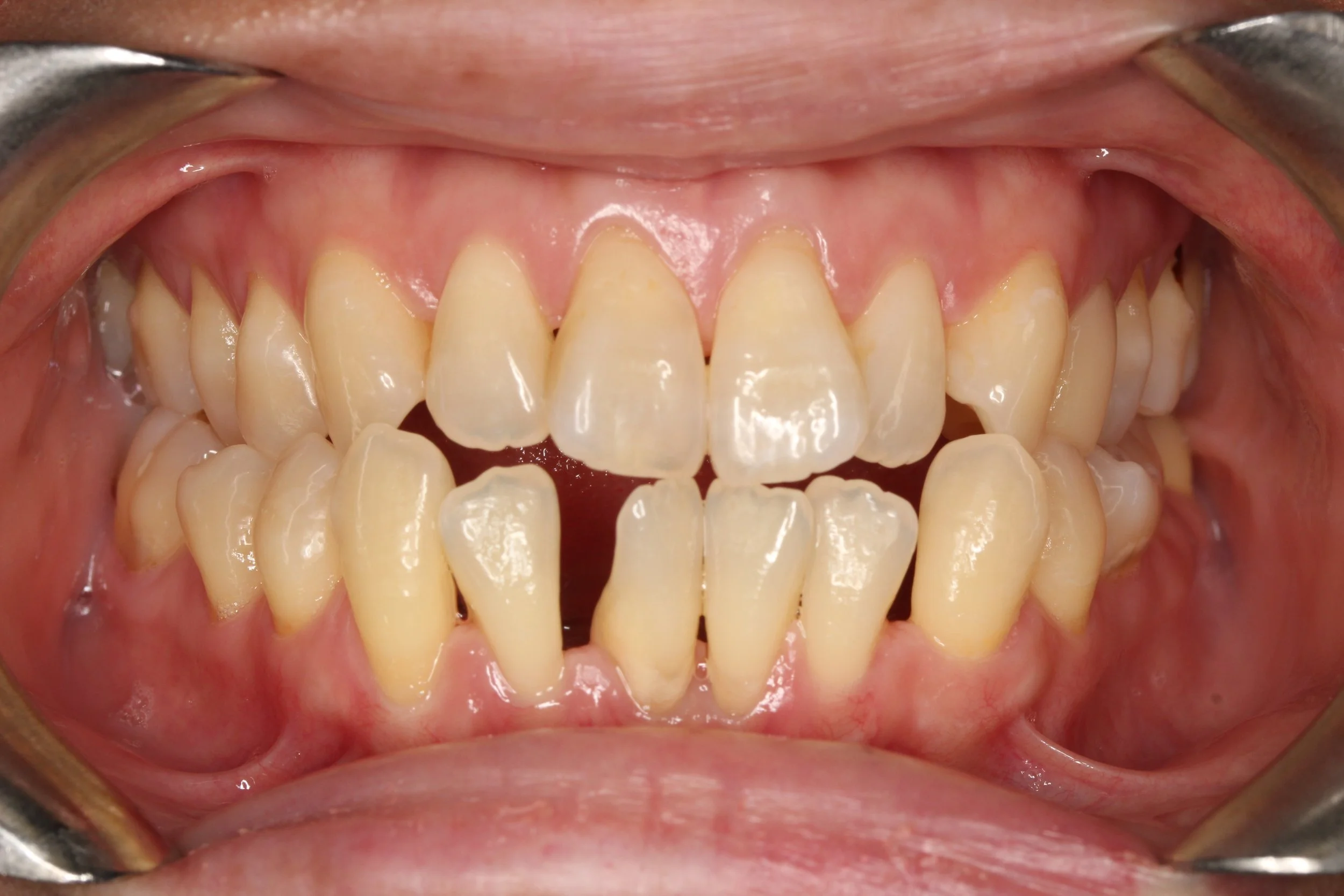
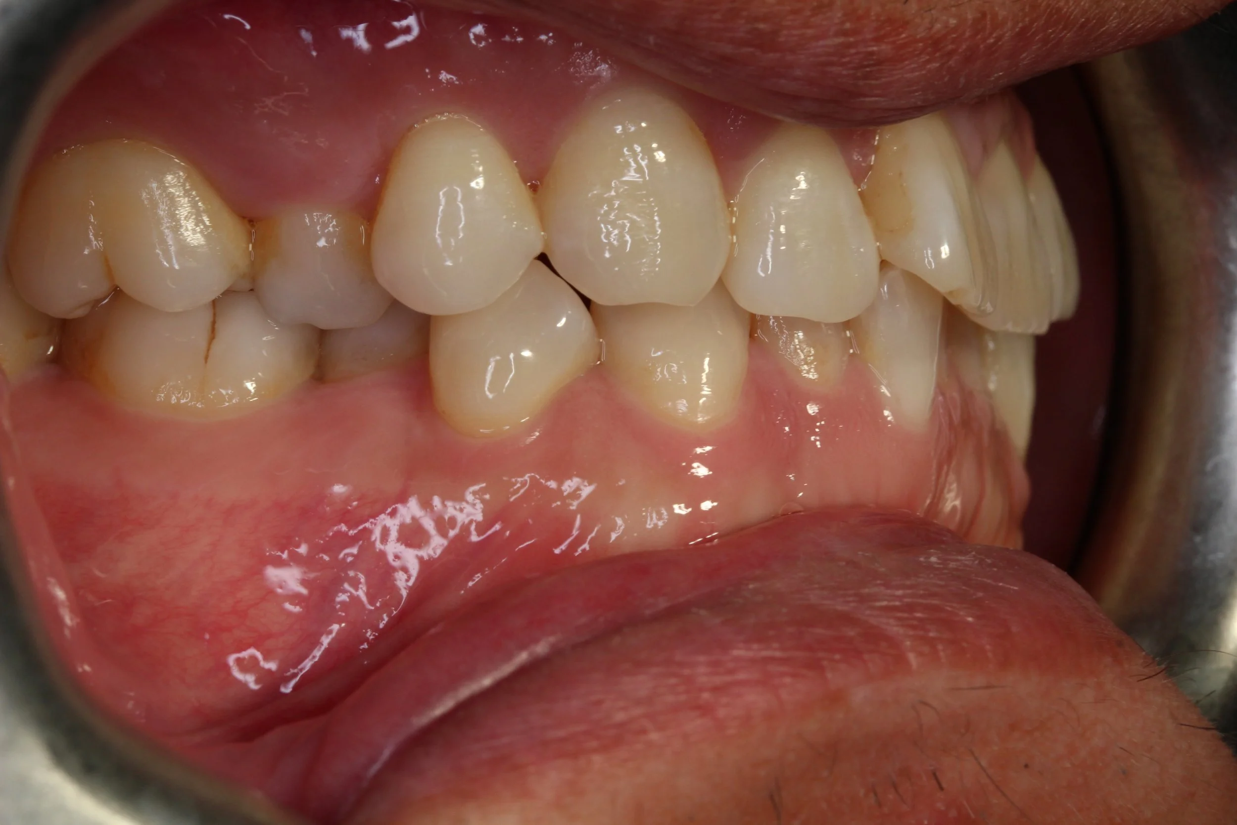
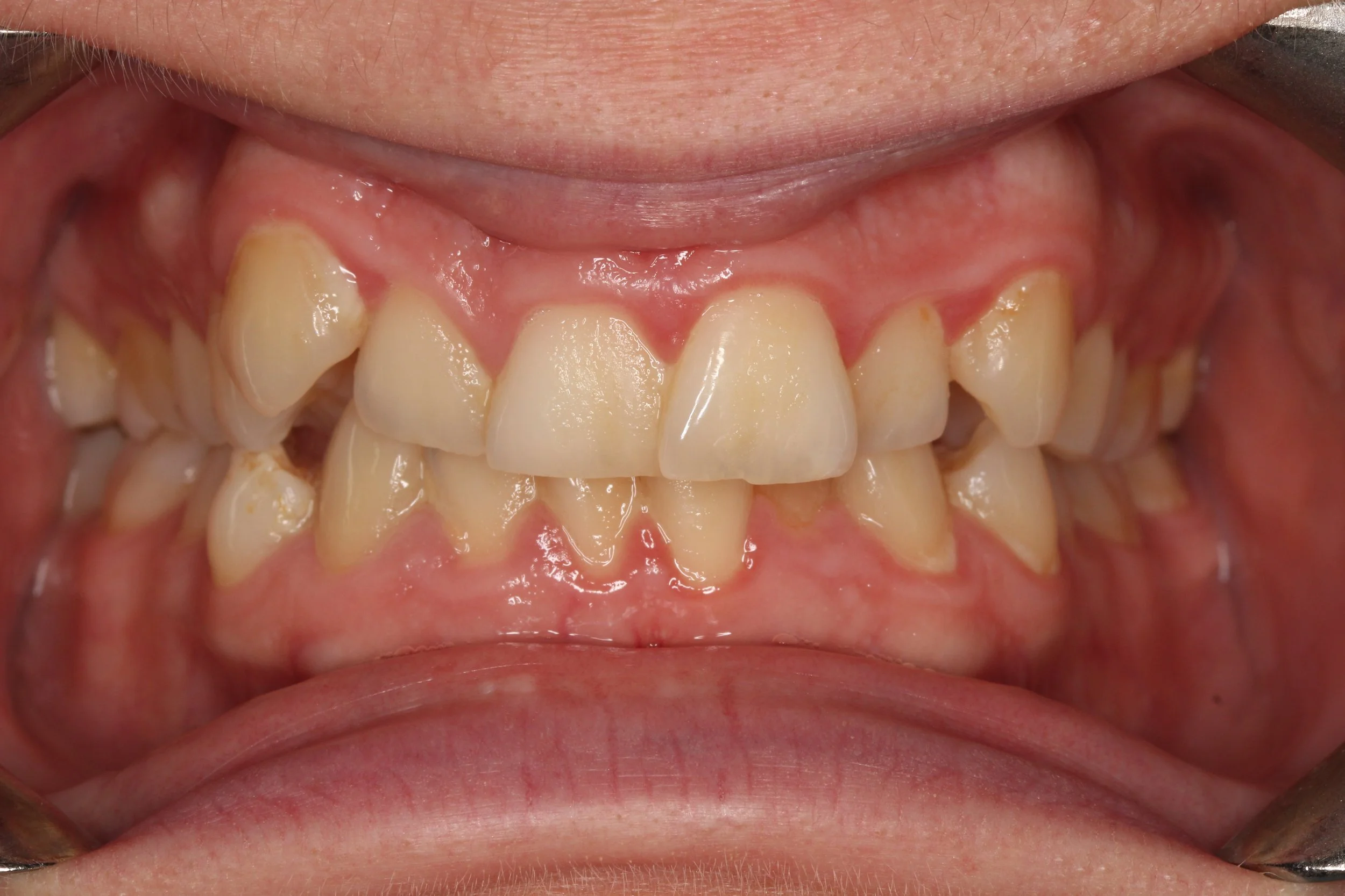
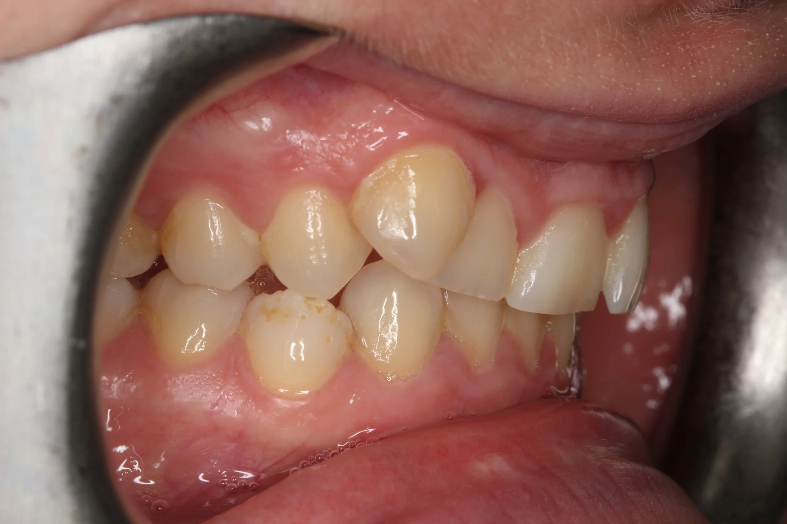
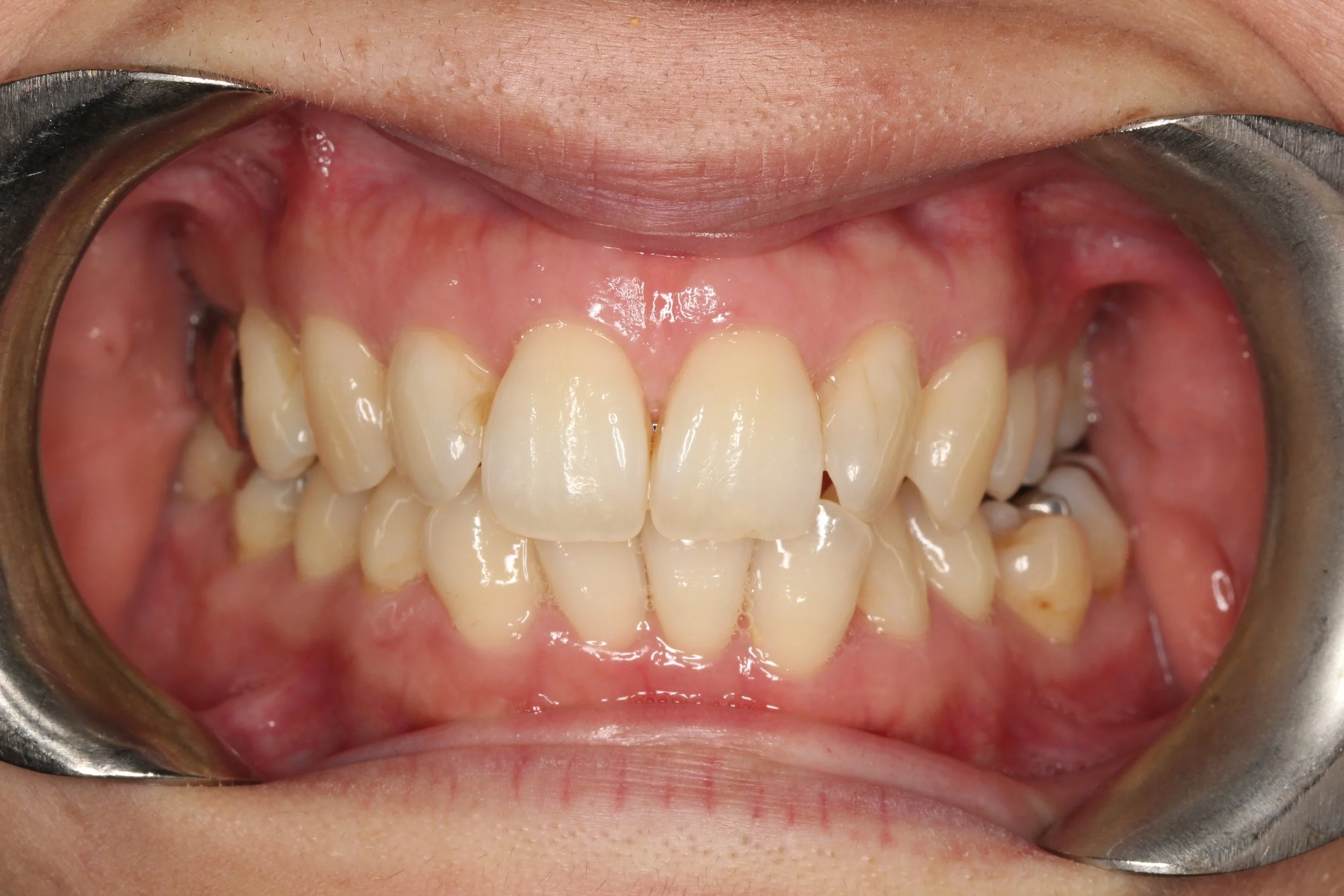
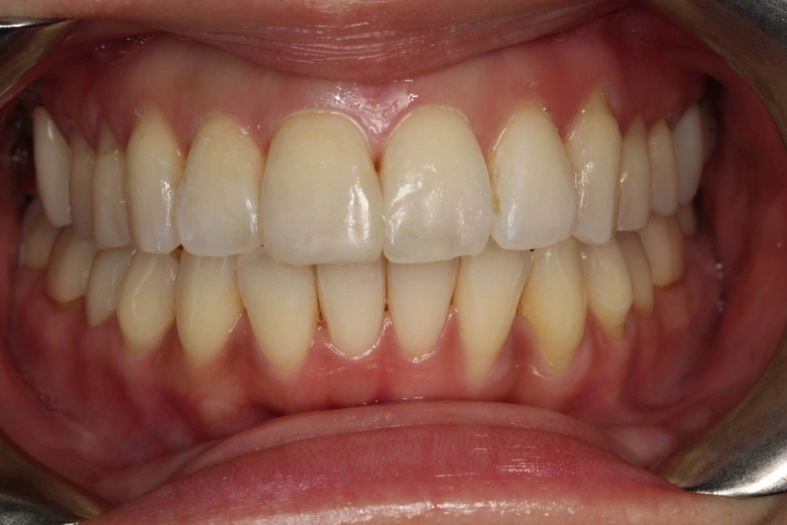
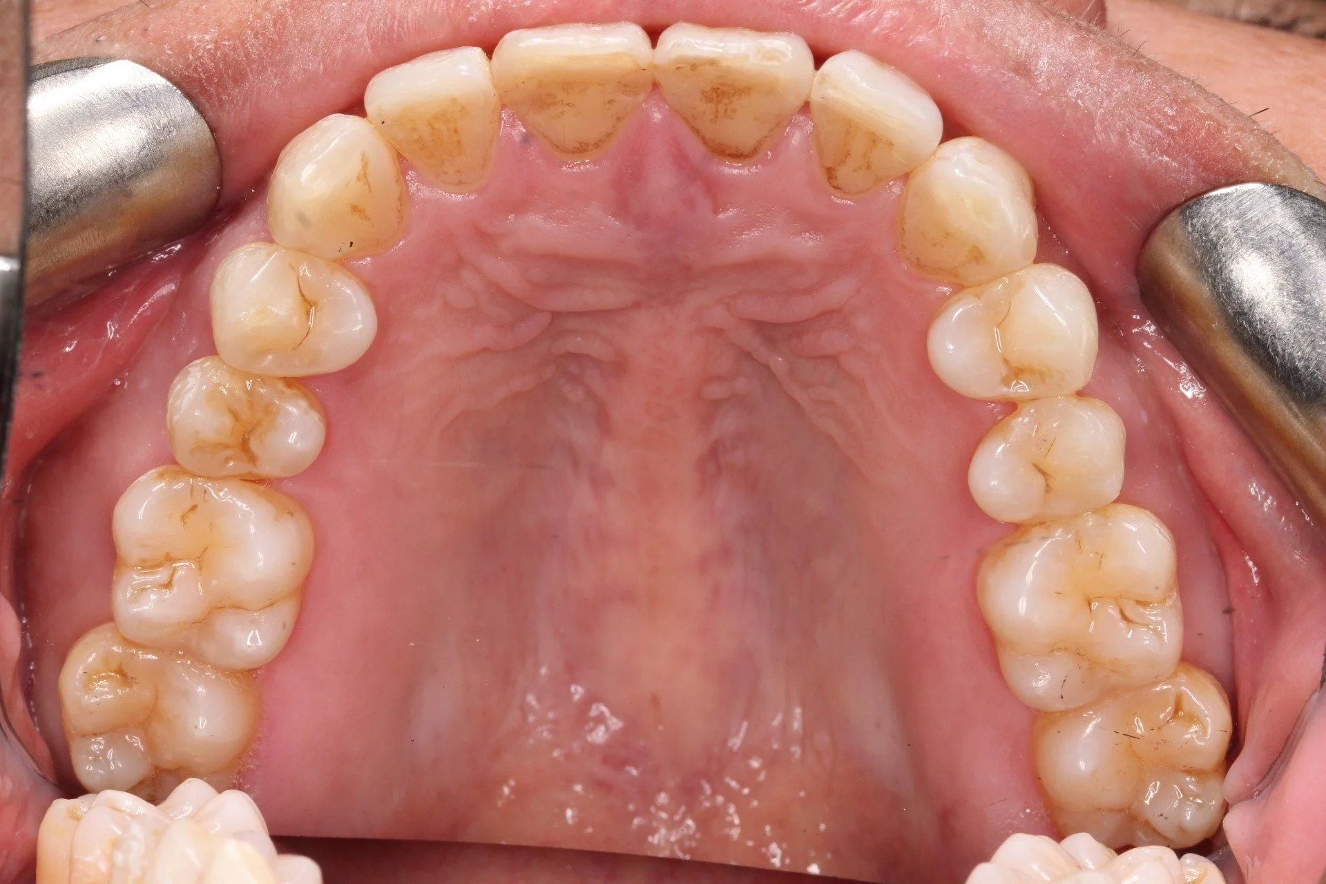
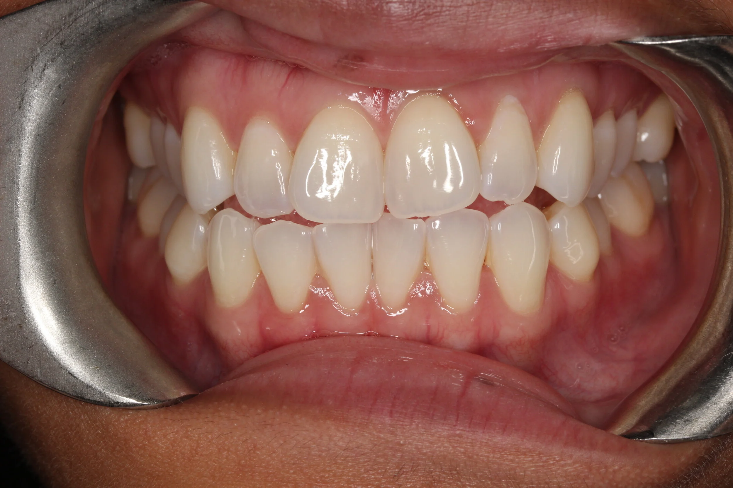
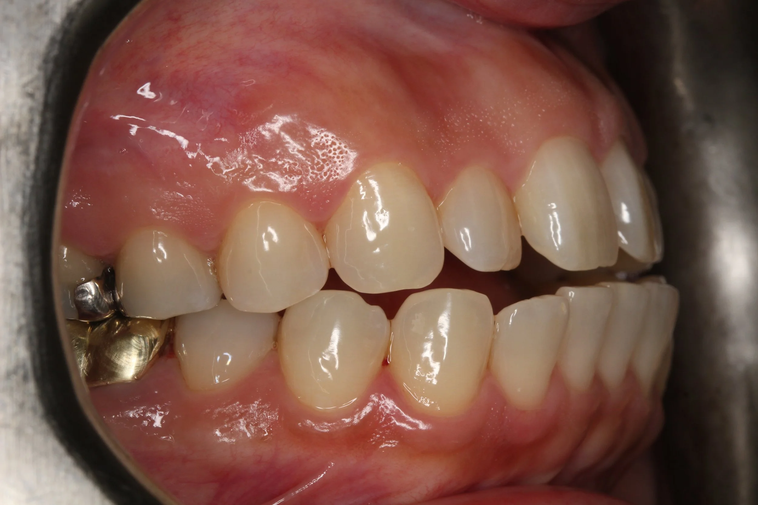
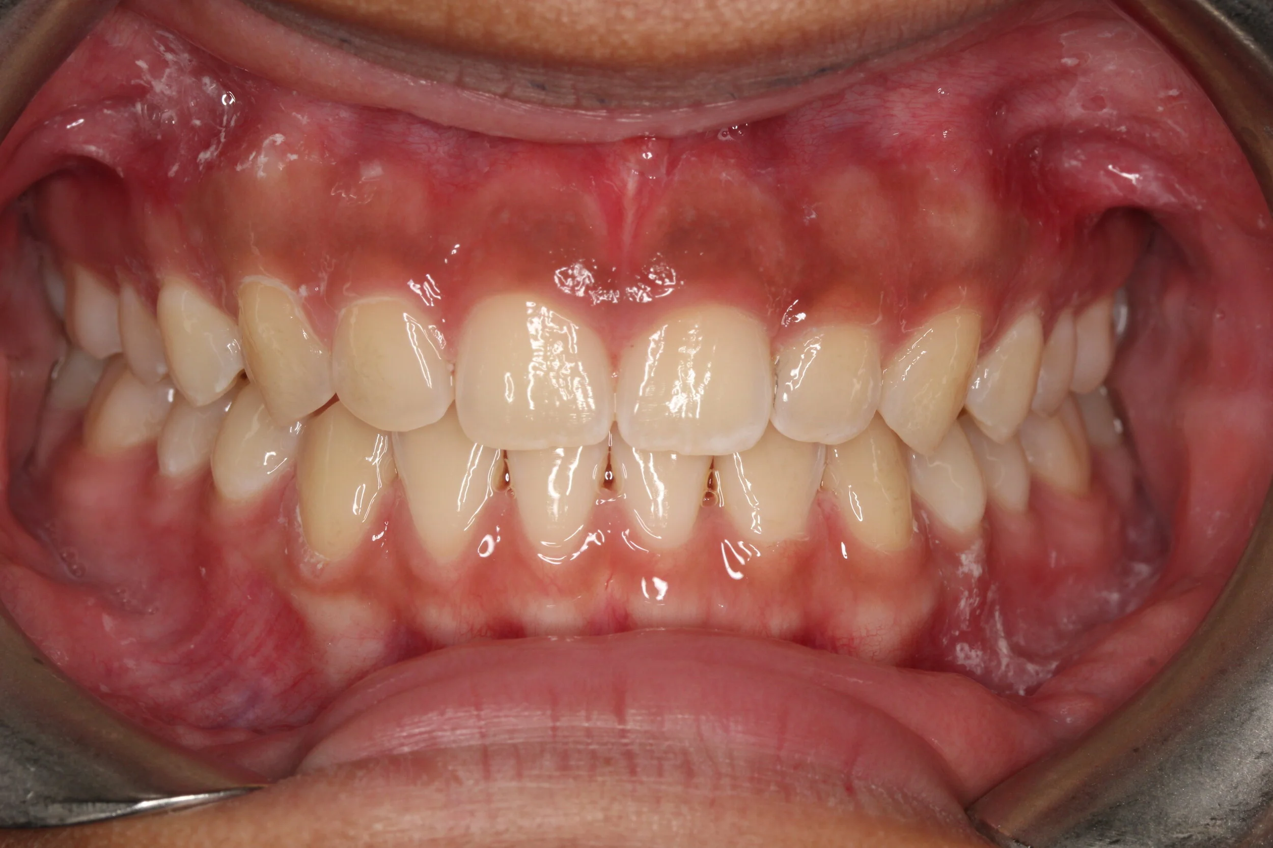
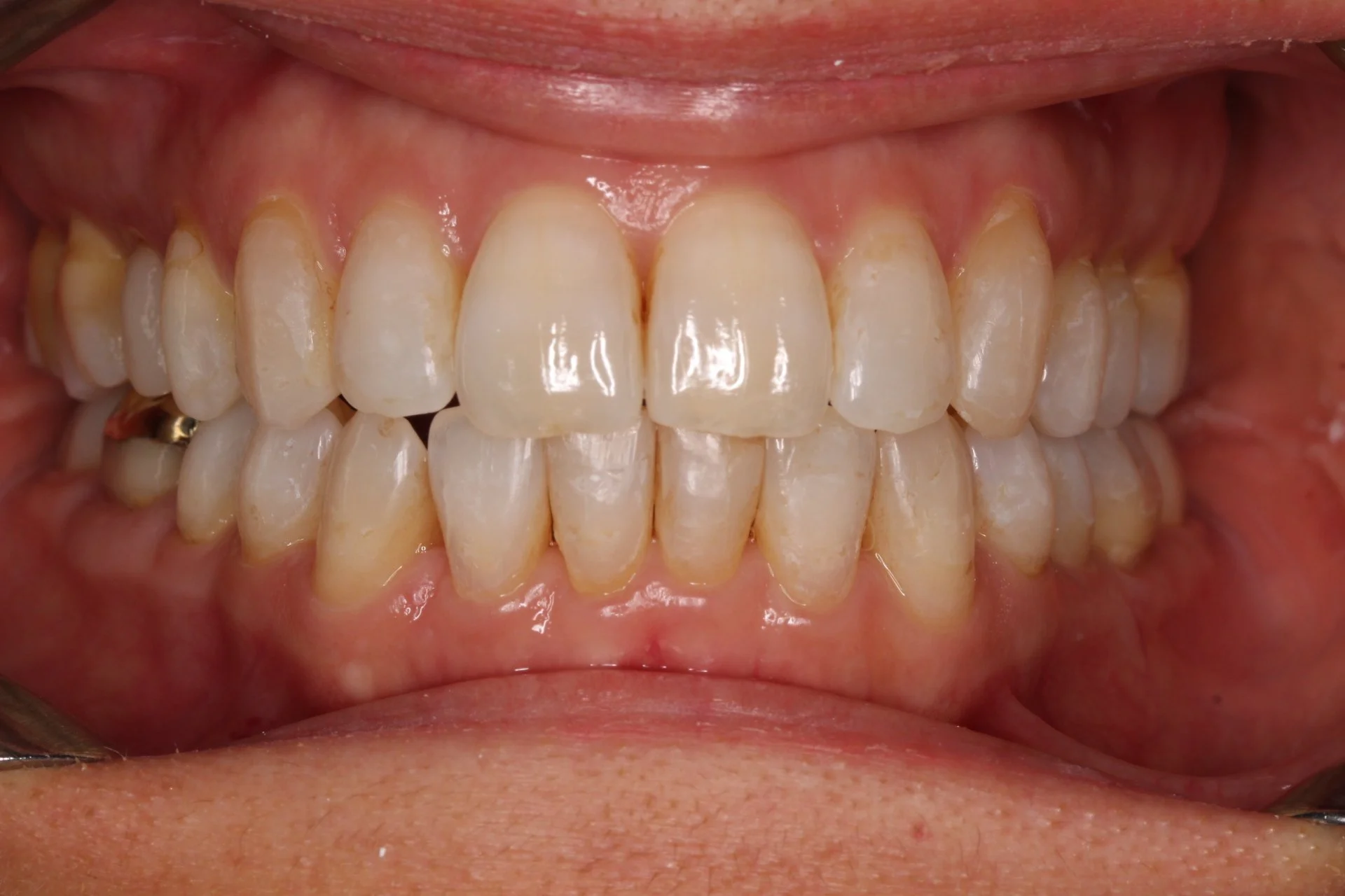
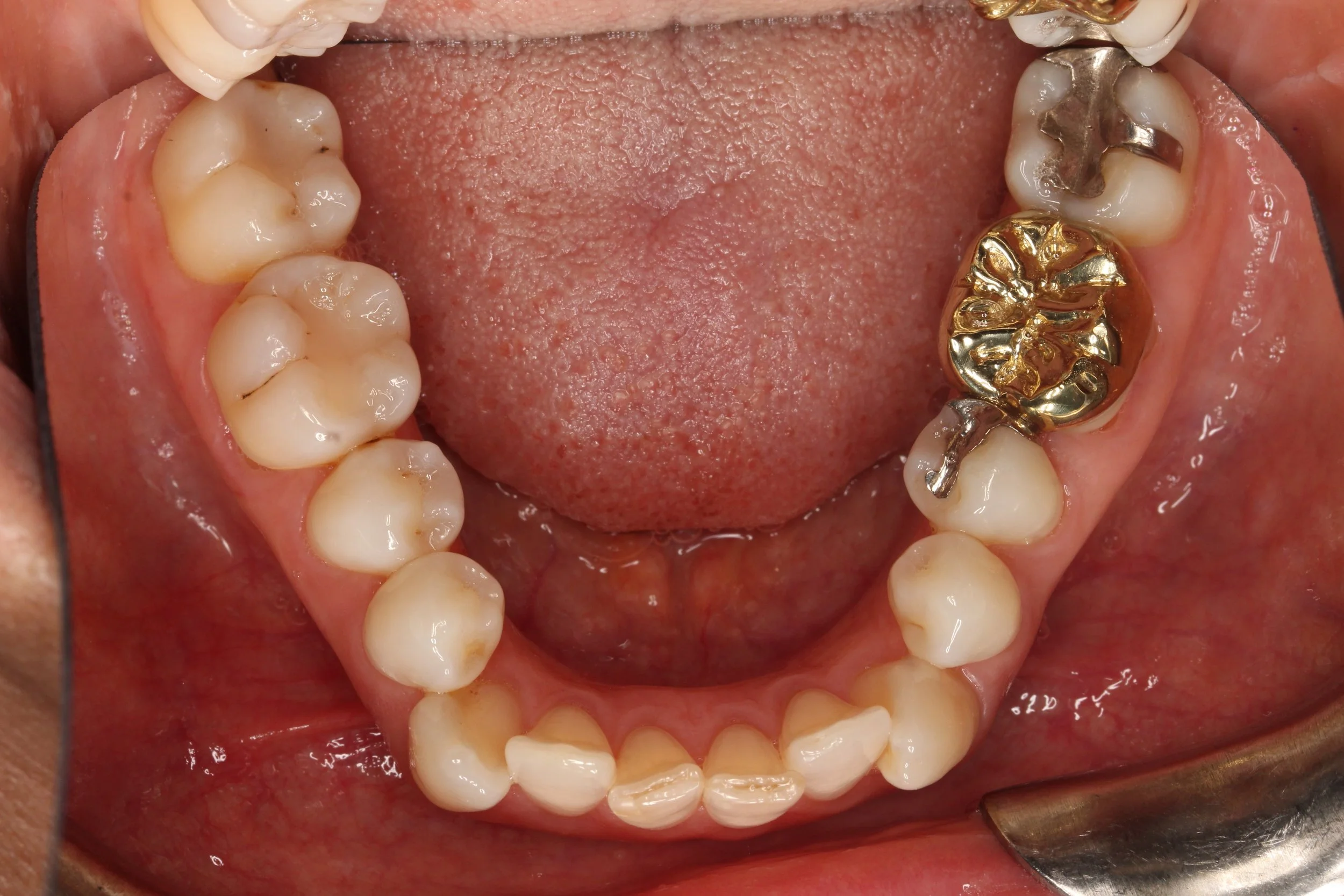
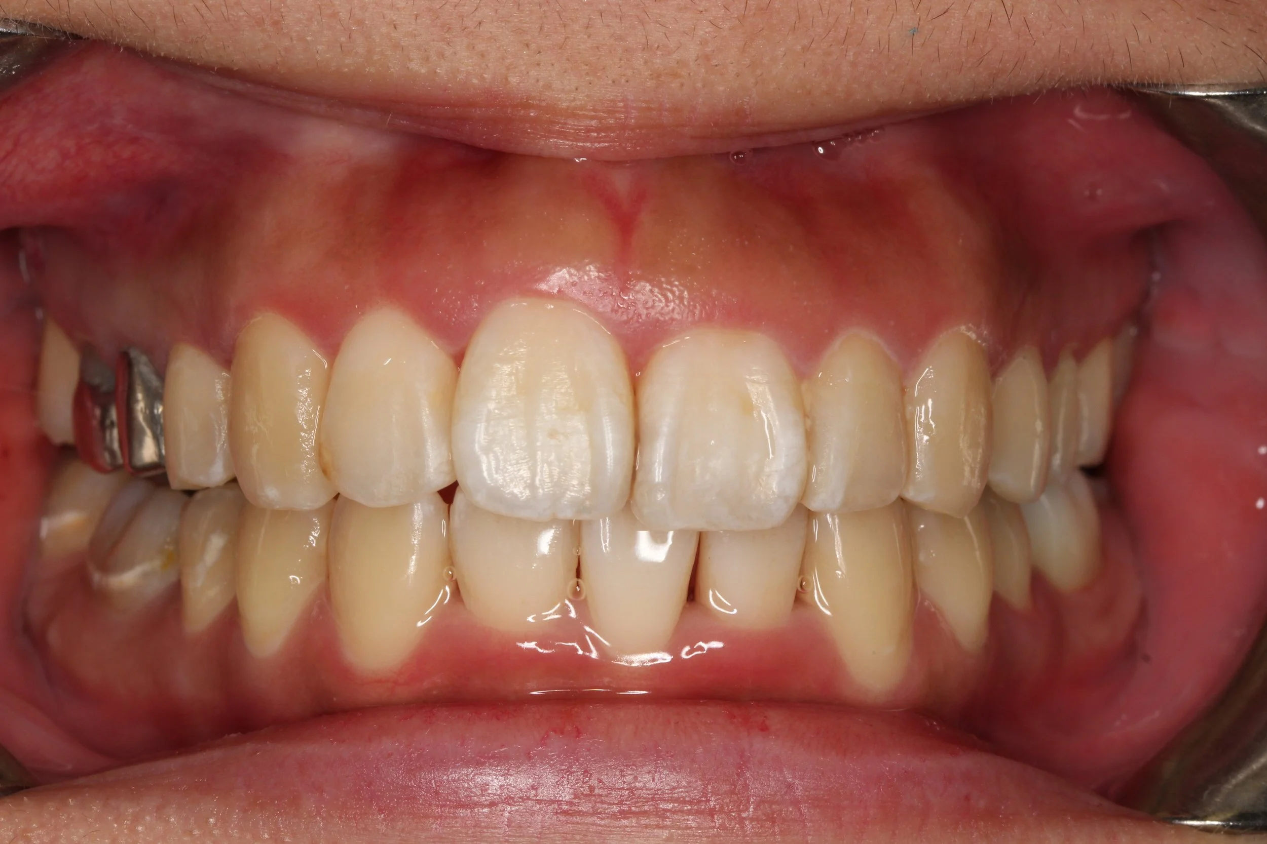
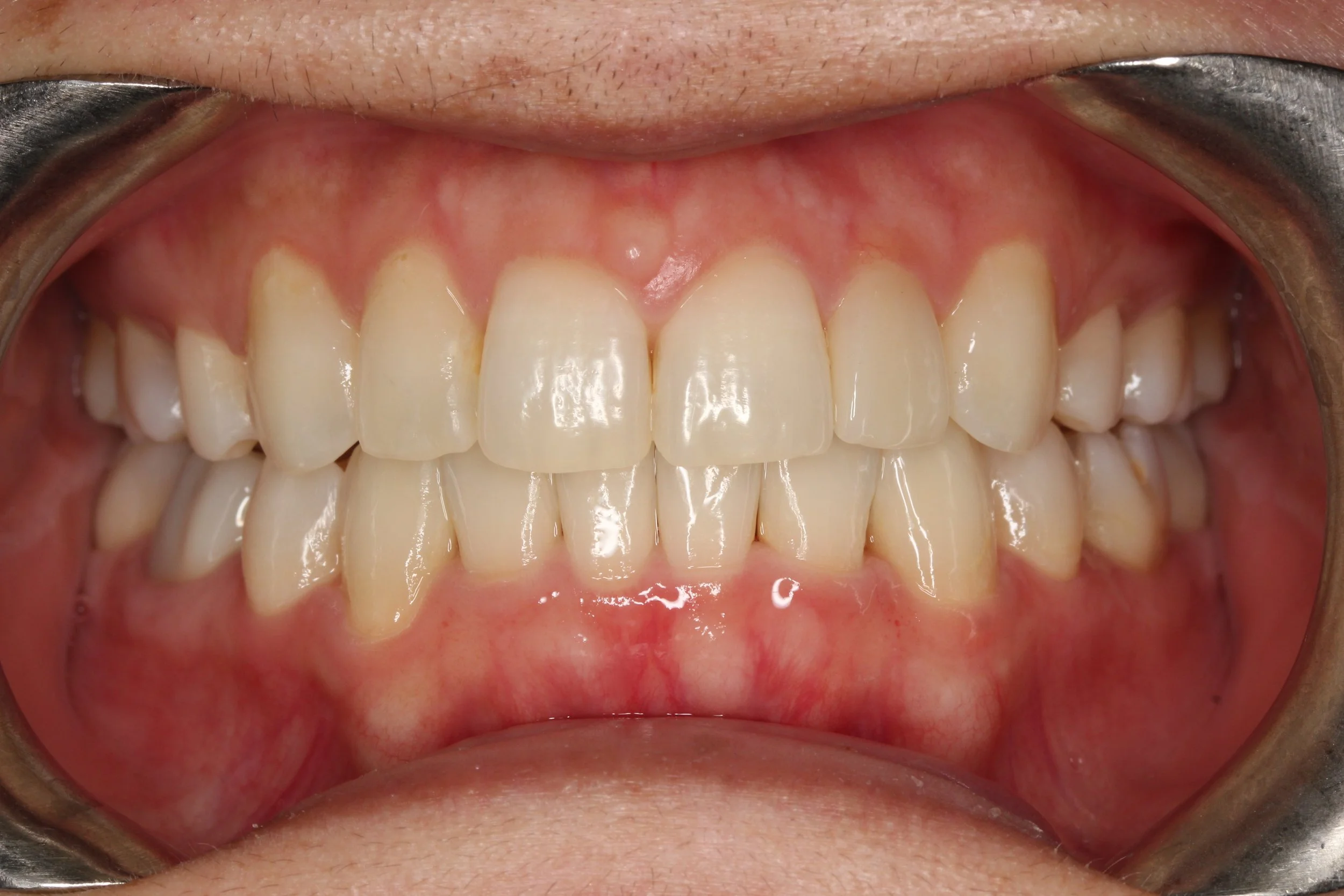
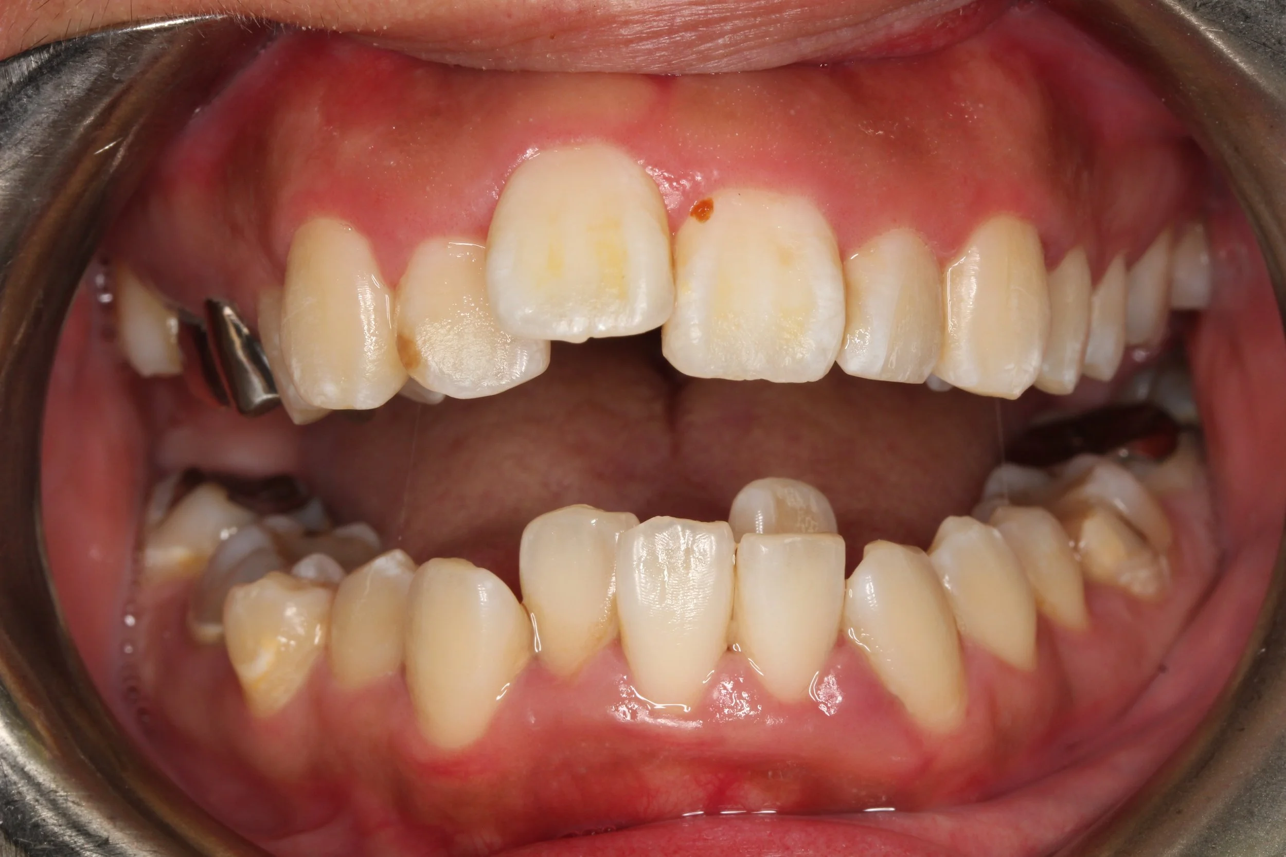
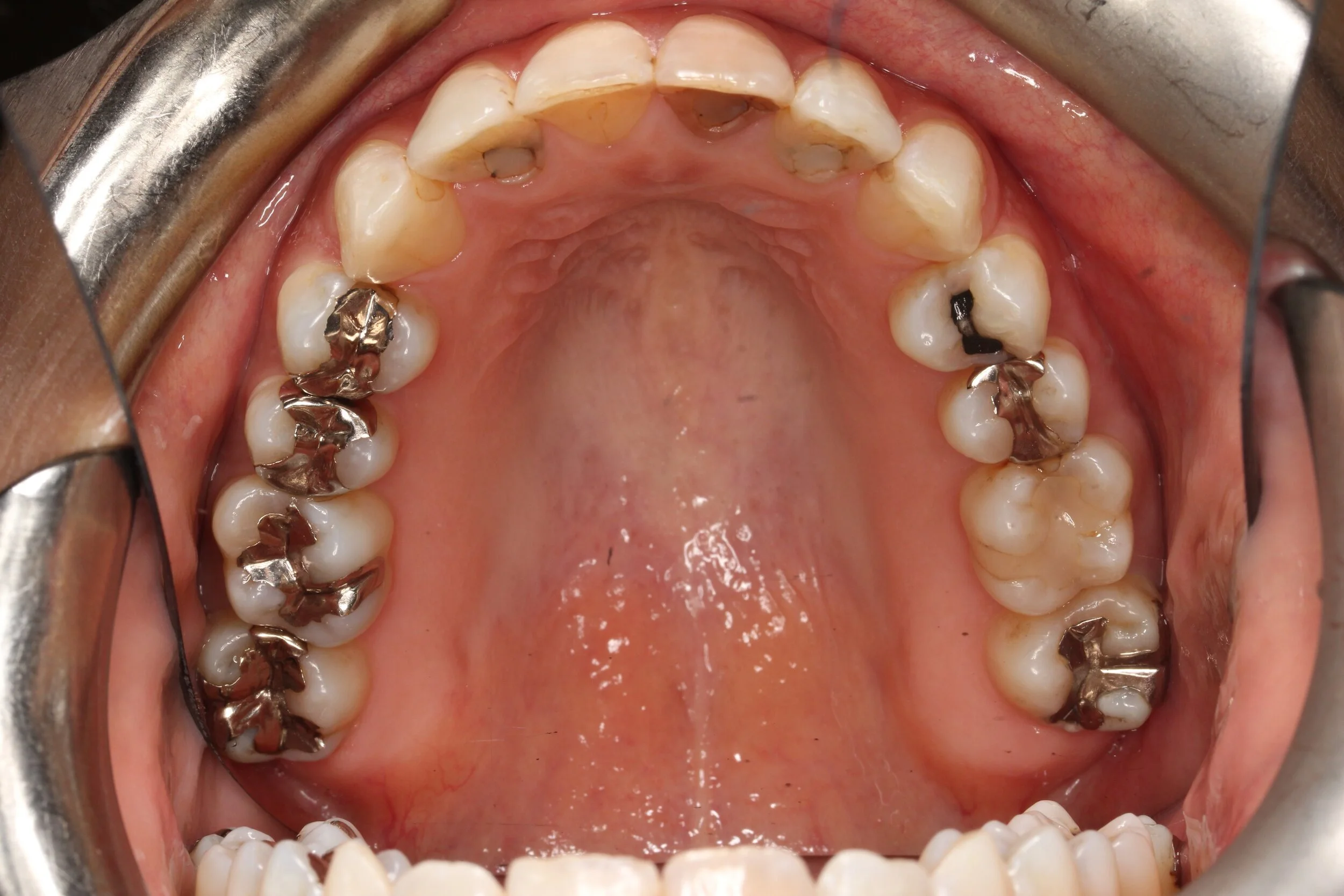
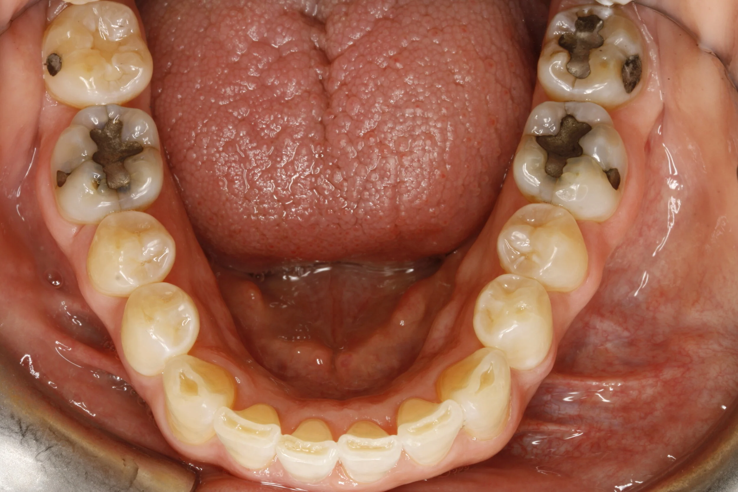
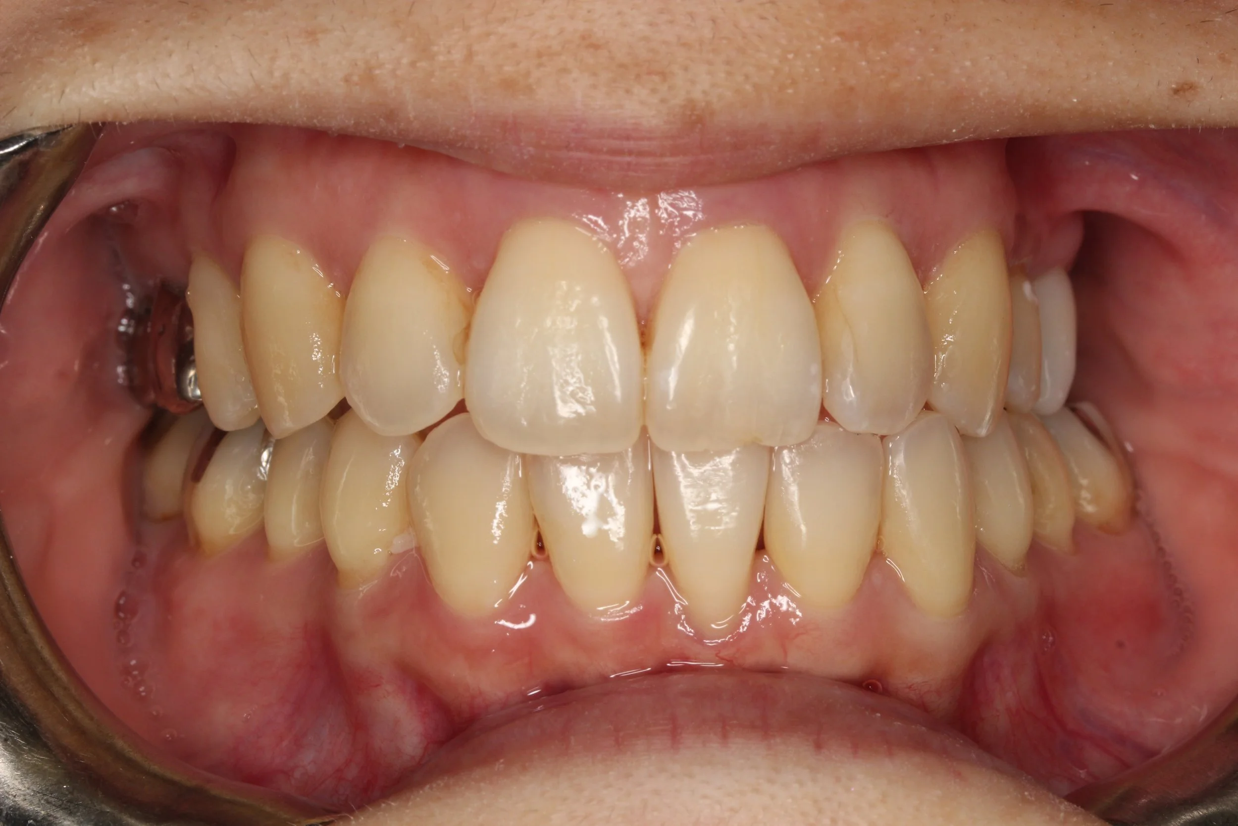
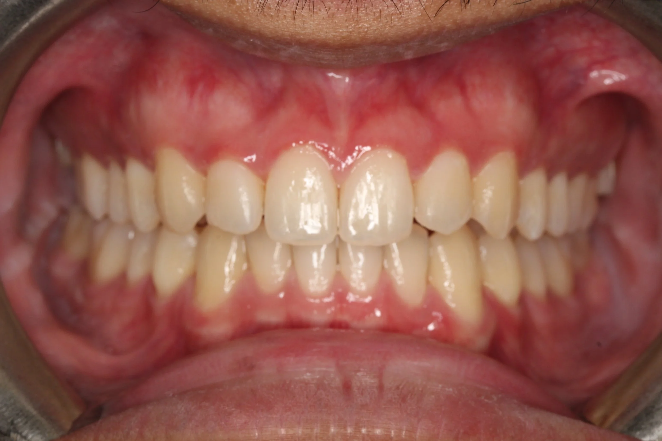
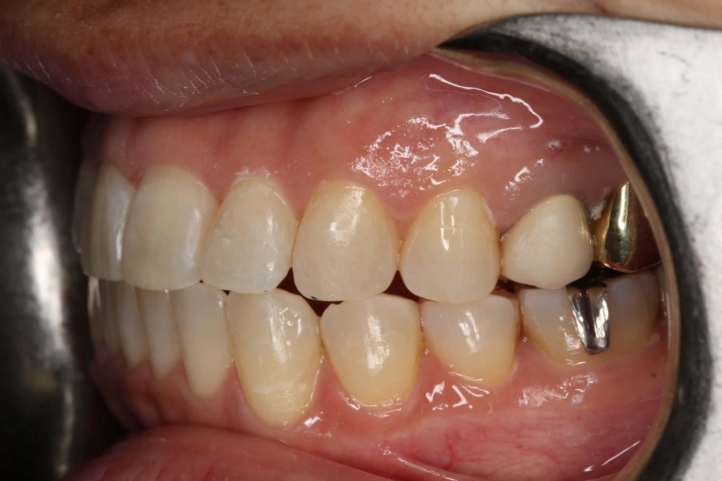
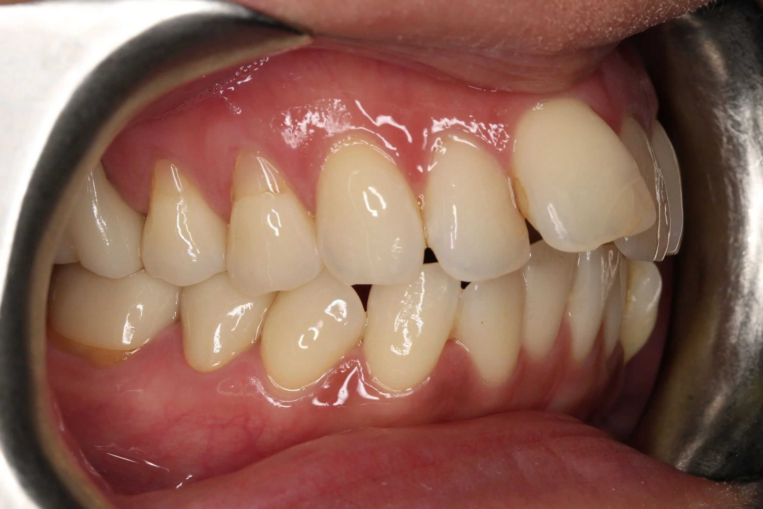
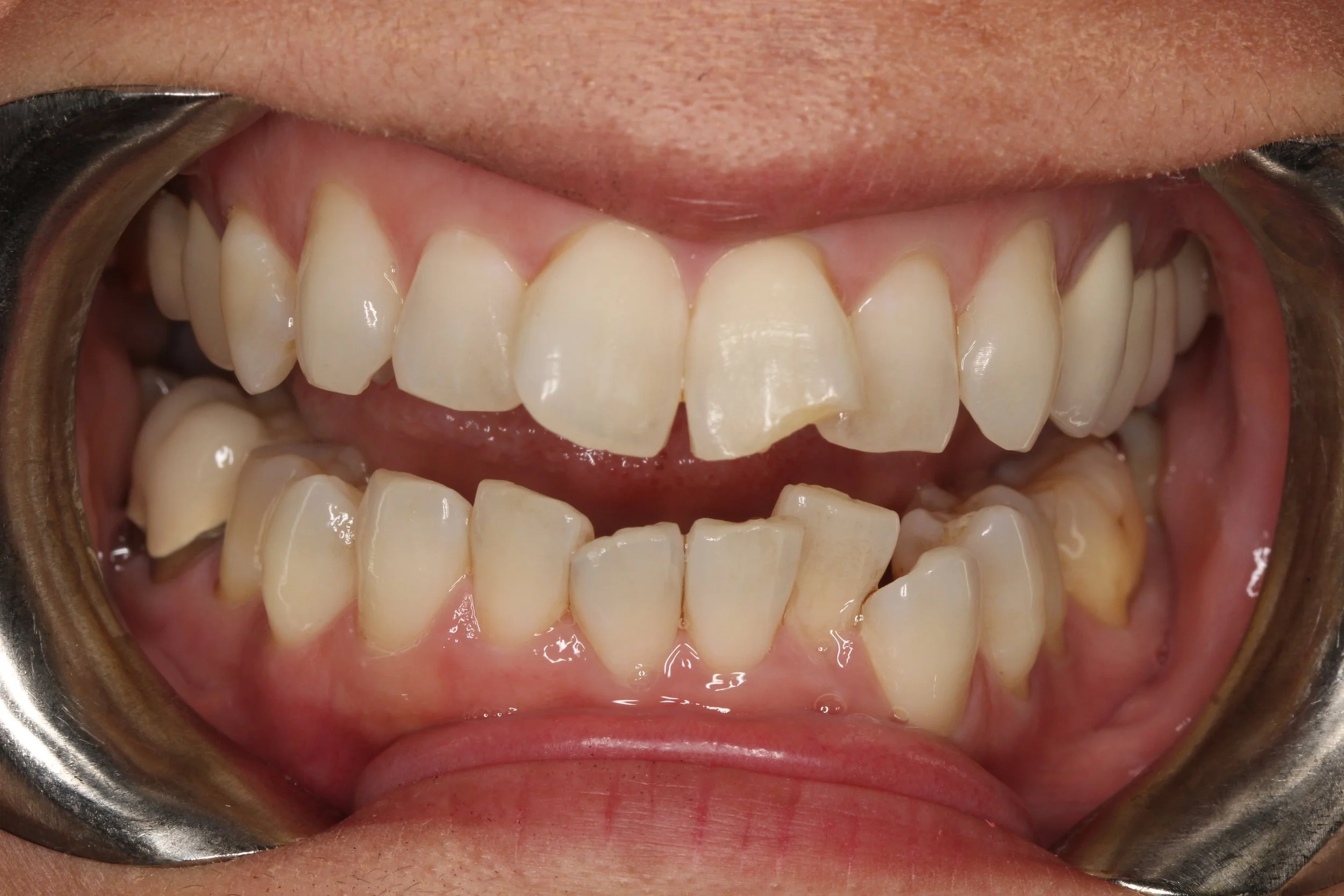
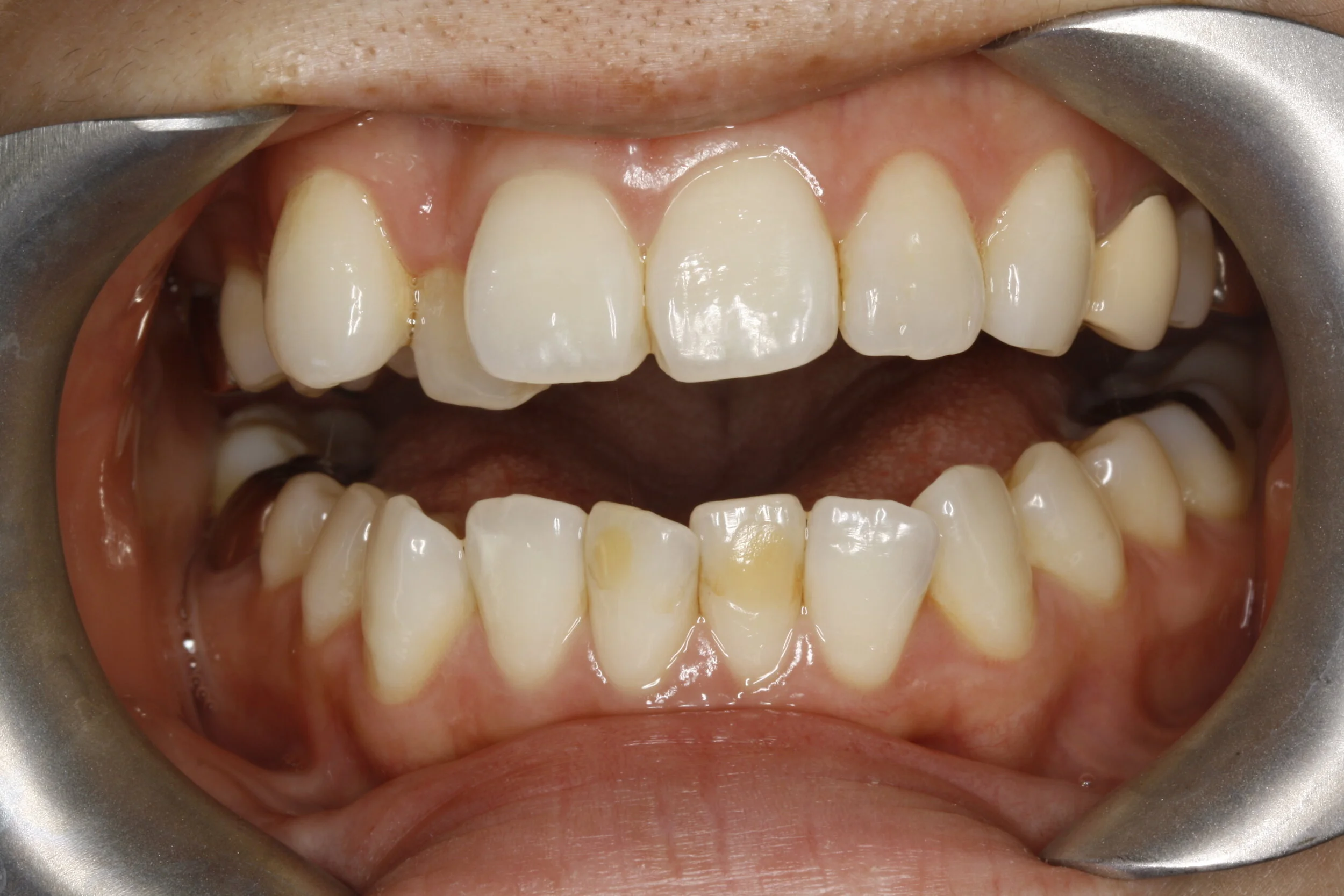
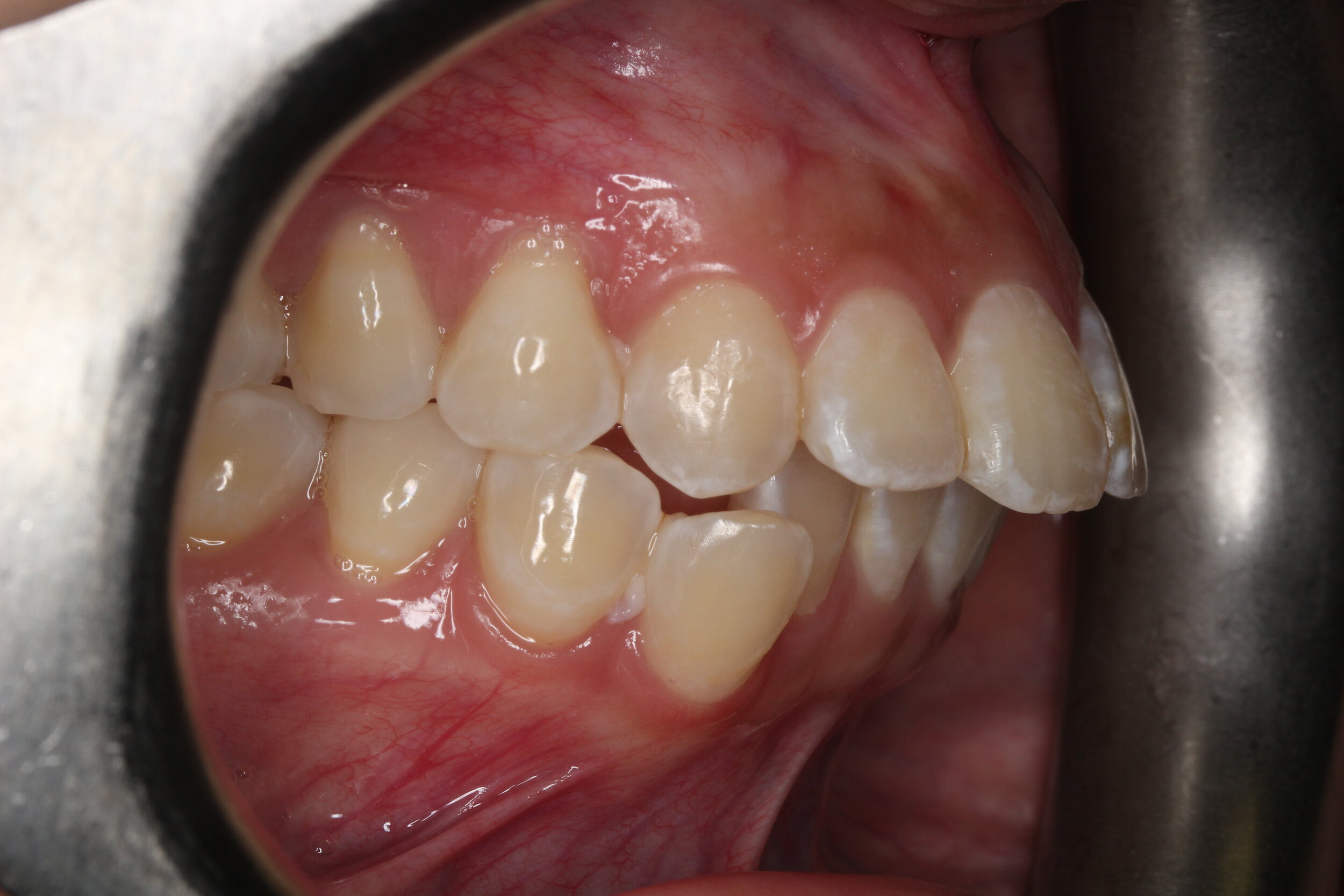
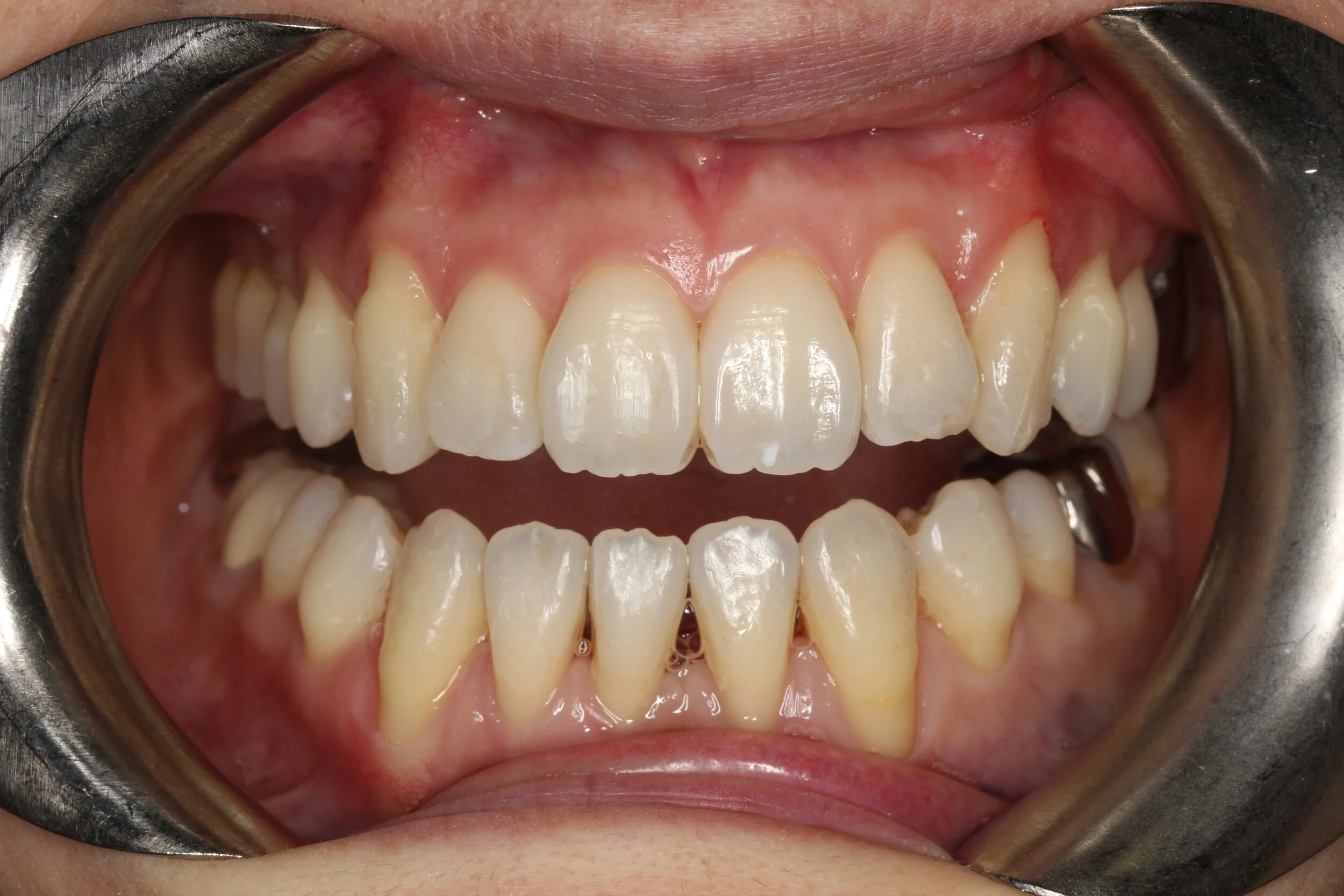
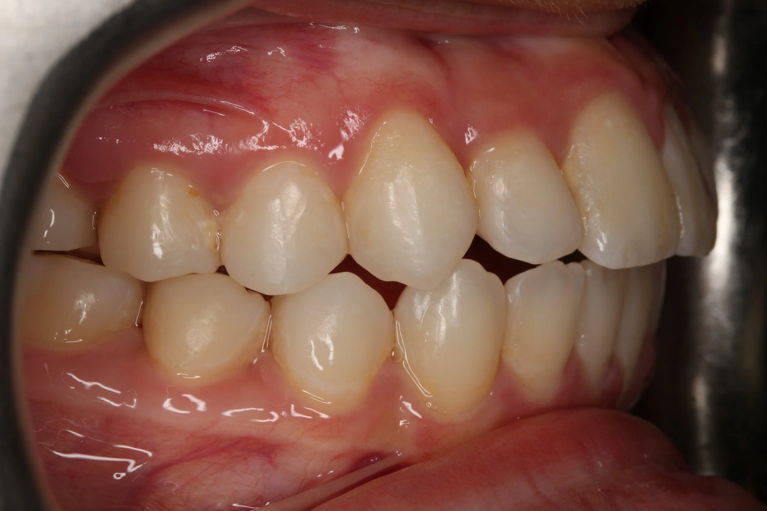
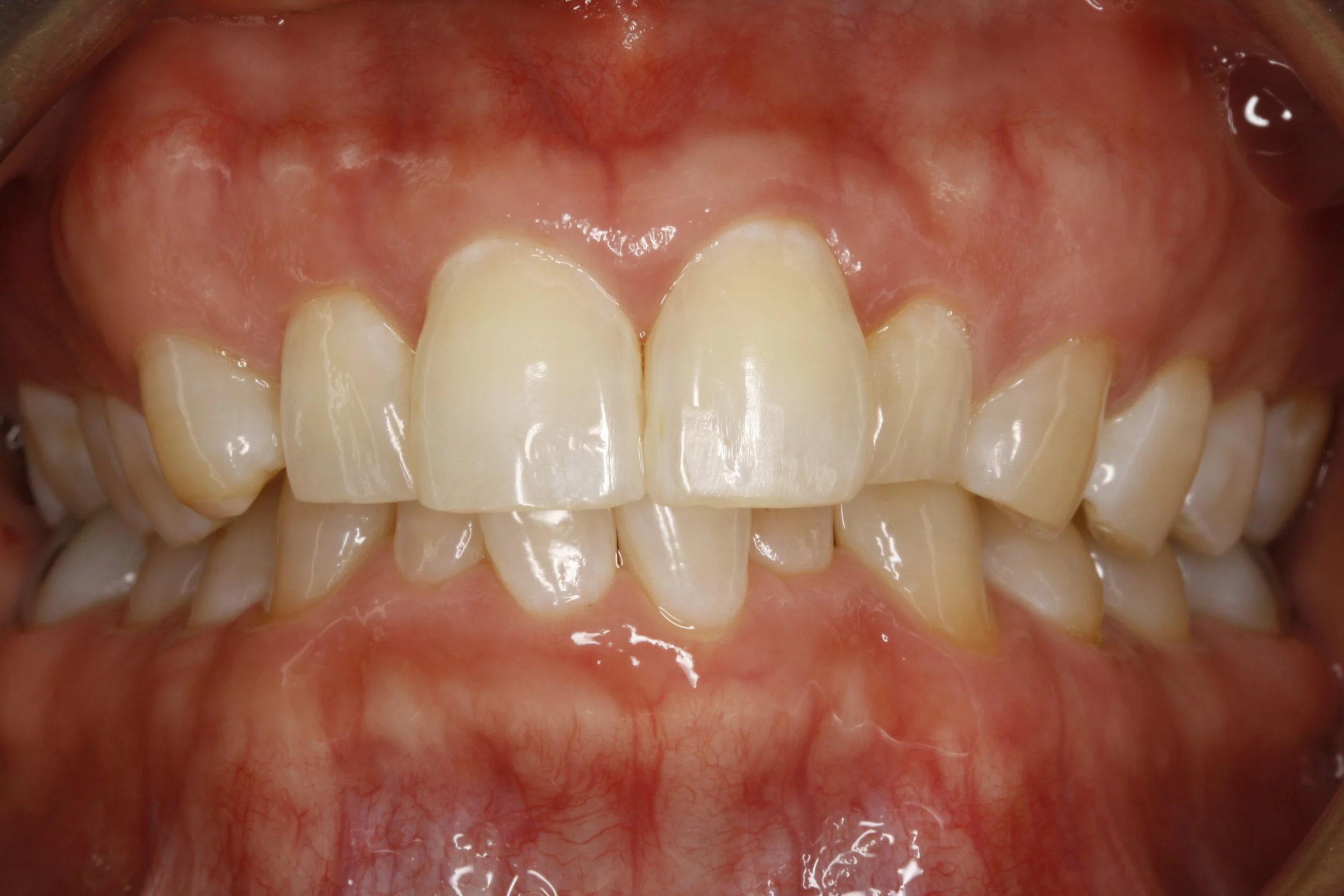
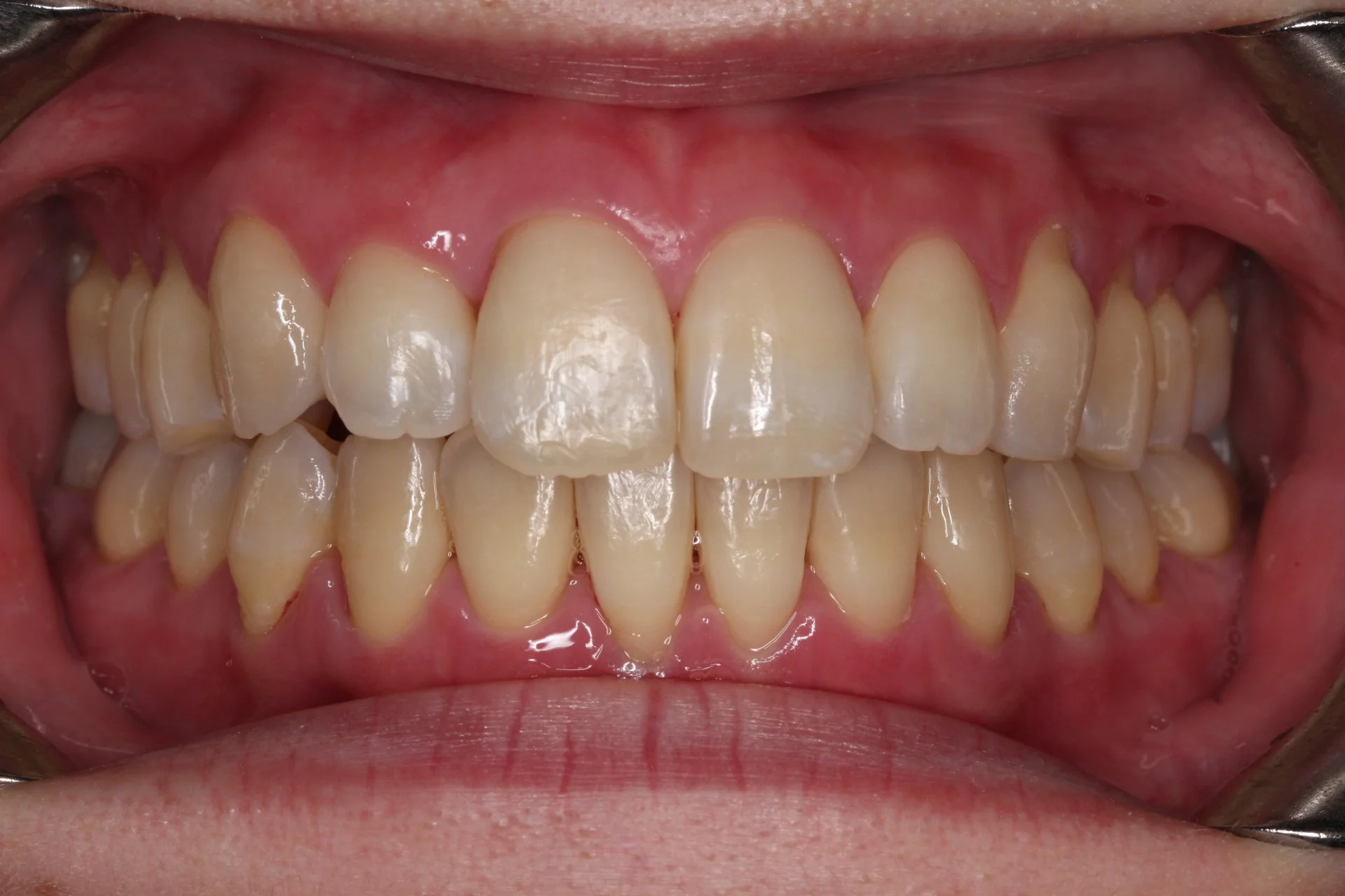
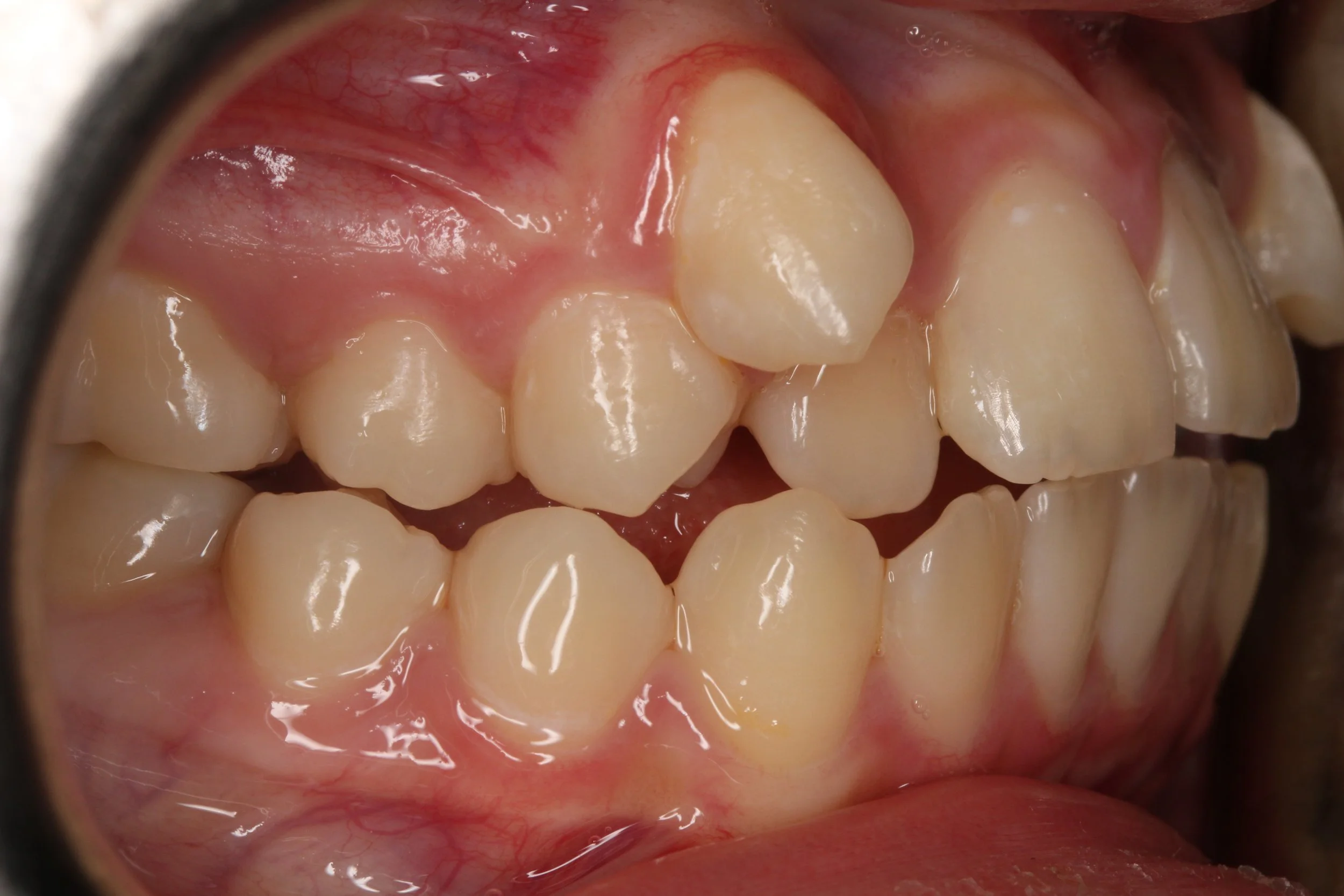
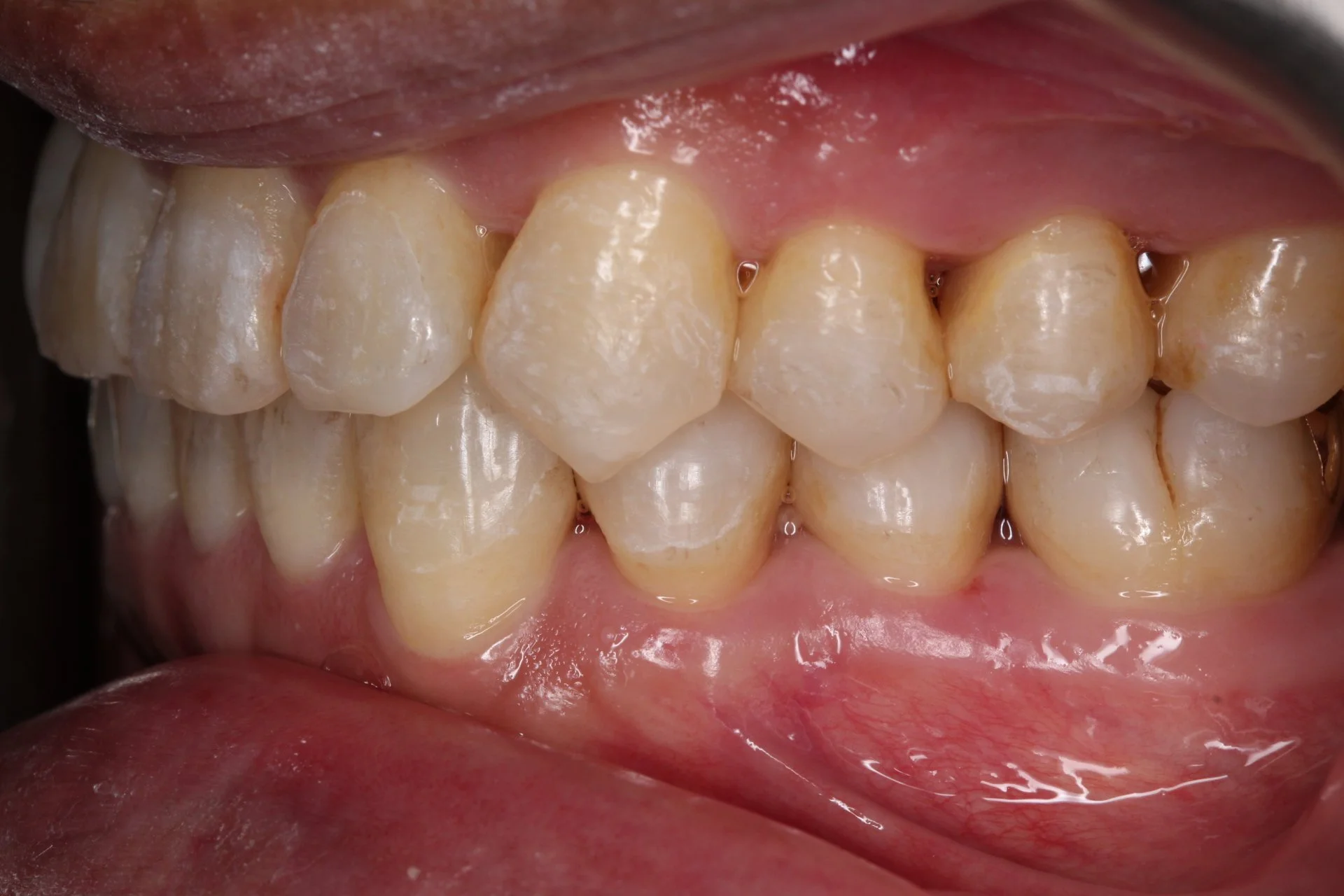
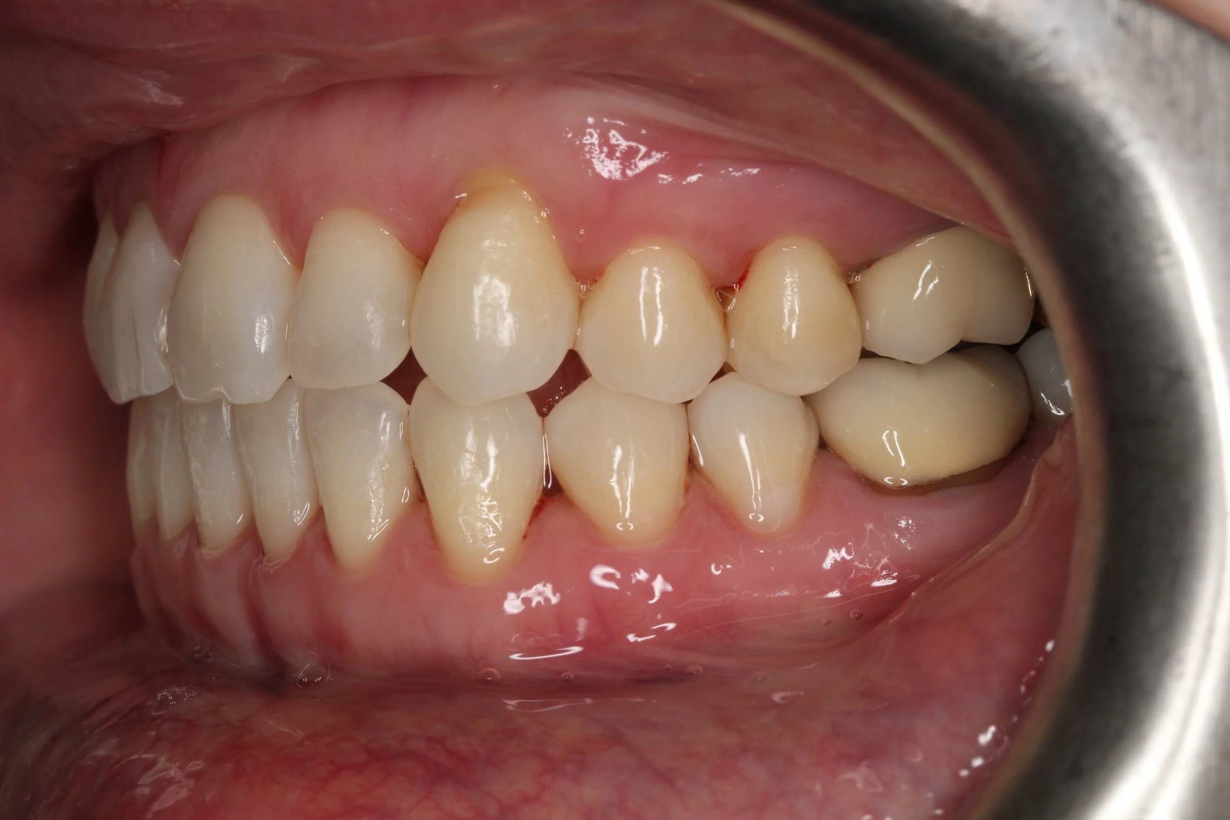
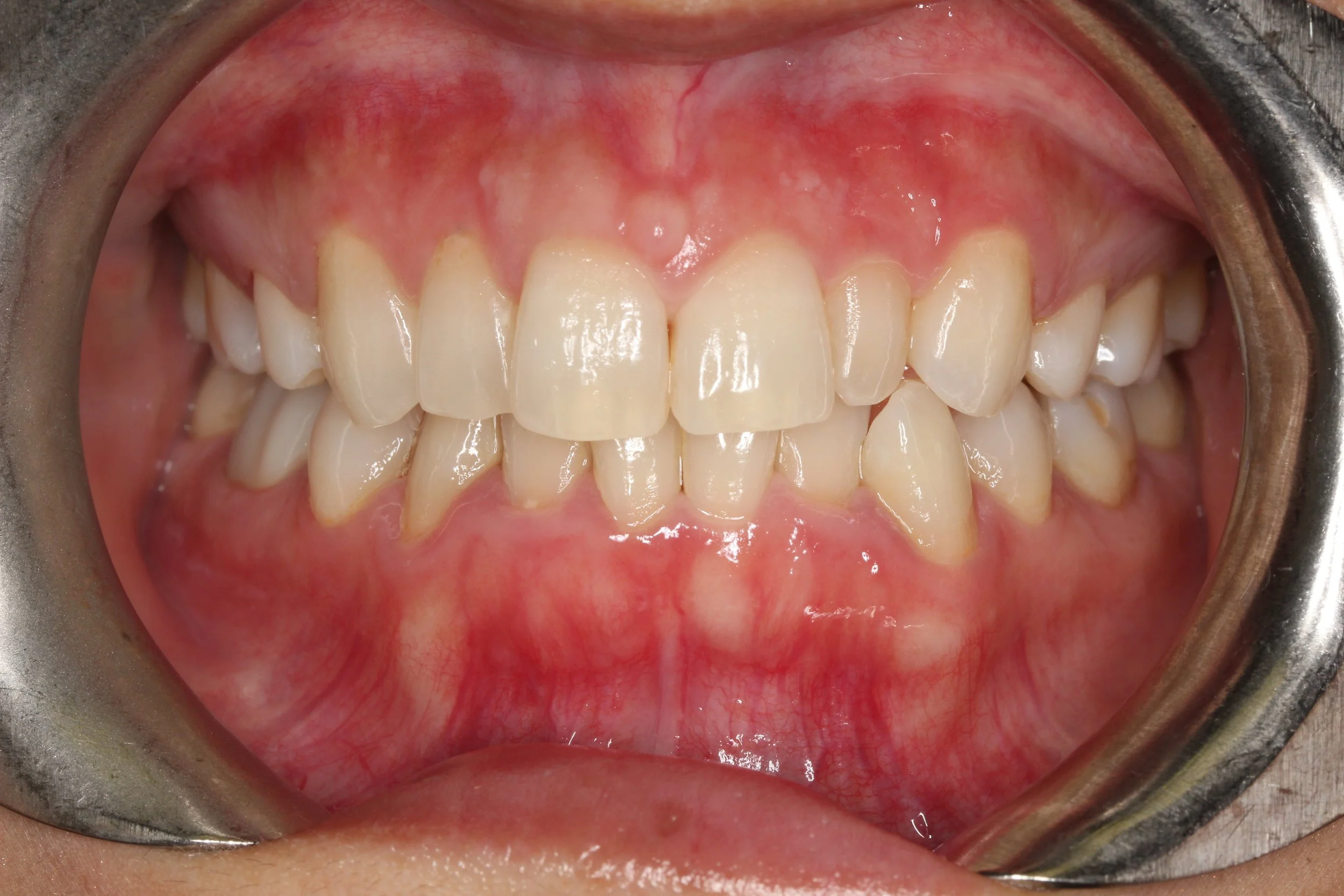
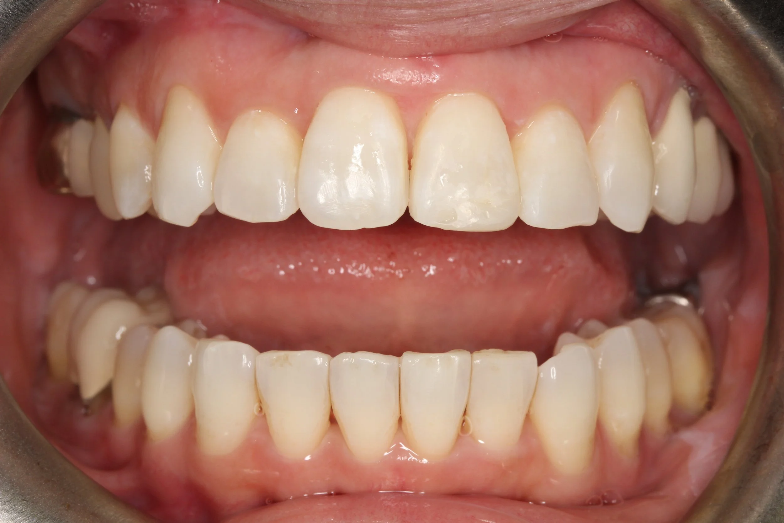
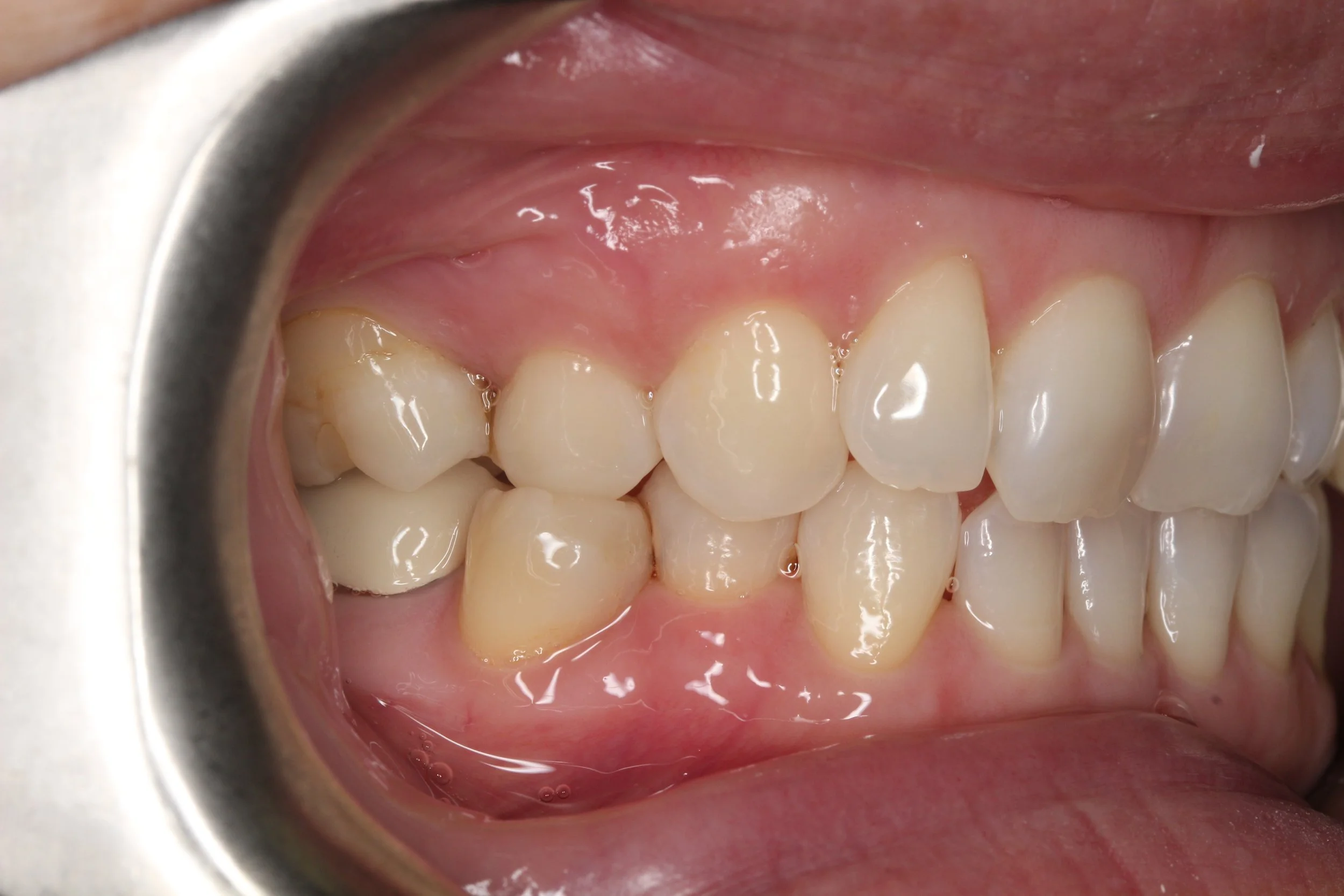
Invisalign Case


Before After

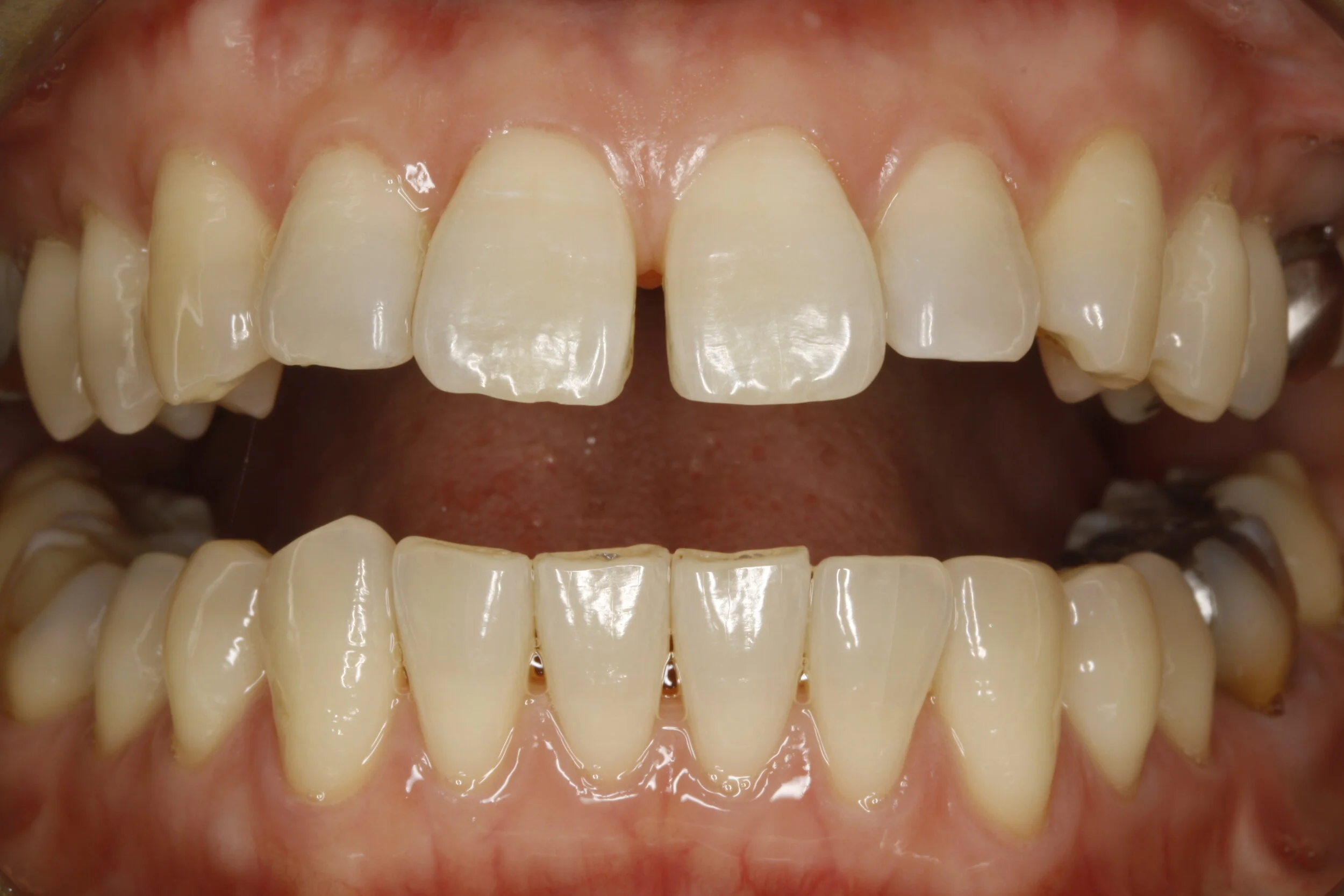
Before After

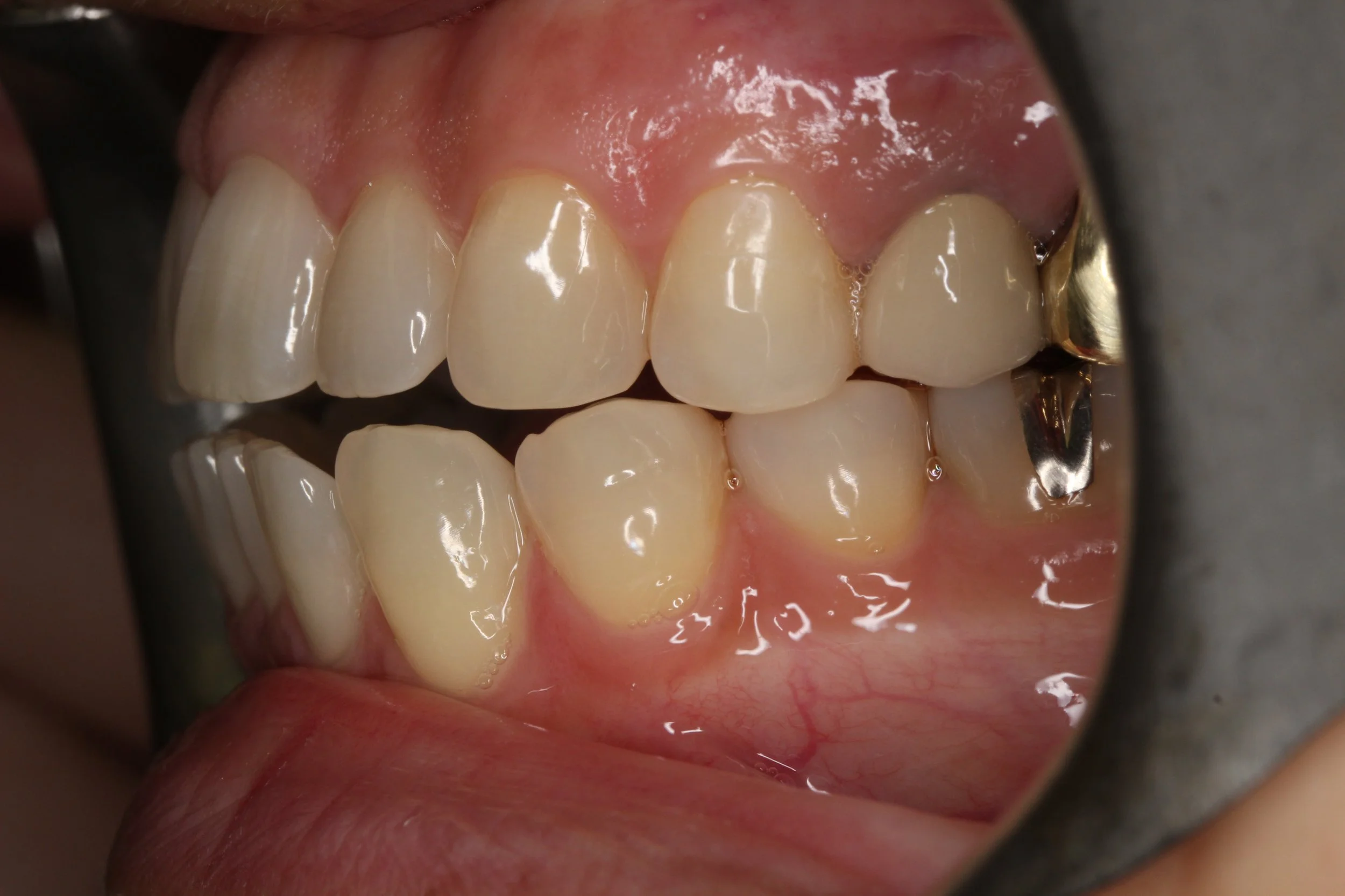
Before After


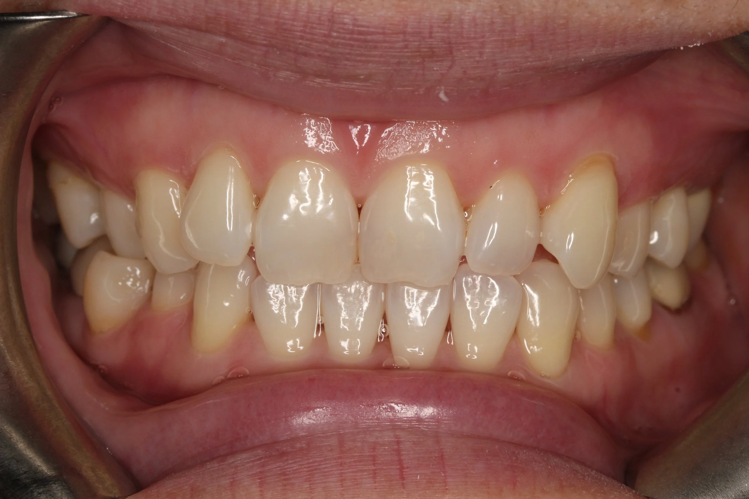
Before After


Before After


Before After

Before After



Before After


Before After


Before After


Before After


Before After


Before After


Before After


Before After



Before After


Before After

IMG_9359.JPG
IMG_4355.JPG

Before After

IMG_9084.JPG
IMG_6024.JPG

Before After

_MG_8174.JPG
IMG_4490.JPG

Before After

_MG_8715.JPG
_MG_8716.JPG
IMG_2810.JPG
IMG_2811.JPG

Before After

_MG_0415.JPG
_MG_7981.JPG

Before After

IMG_9300.JPG
IMG_9569.JPG

Before After

Open Ant Before.JPG
Open+Ant+After.jpg

Before After

Open Ant Before.JPG
Open%252BAnt%252BAfter.jpg

Before After

_MG_0366.JPG
IMG_9187.JPG

Before After

Max occl- Before.jpg
Max occl- after.jpg

Before After

_MG_9363.JPG
_MG_5128.JPG

Before After

1-1 ANT BEFORE.JPG
1-2 ANT FINAL.JPG

Before After

3-1 MAX BEFORE.JPG
3-2 MAX FINAL.JPG

Before After

1-1 ANT BEFORE.JPG
1-2+ANT+FINAL.jpg

Before After

6-1 MAND BEFORE.JPG
6-2 MAND FINAL.JPG

Before In Progress

MAX OCCL BEFORE.JPG
MAX OCCL FINAL.JPG

Before After

max occl-before.jpg
max occl-after.jpg
smile-before.jpg
IMG_0848.JPG

Before After

Clio.JPG
IMG_8386.JPG
IMG_2137.JPG
IMG_2139.JPG

Before After

Mand -Before-.JPG
_MG_6418.jpg
Mand -After-.JPG
IMG_0984.jpg

Before After

Before After

Before After

Before After

Before After

Before After

Before After

Before After