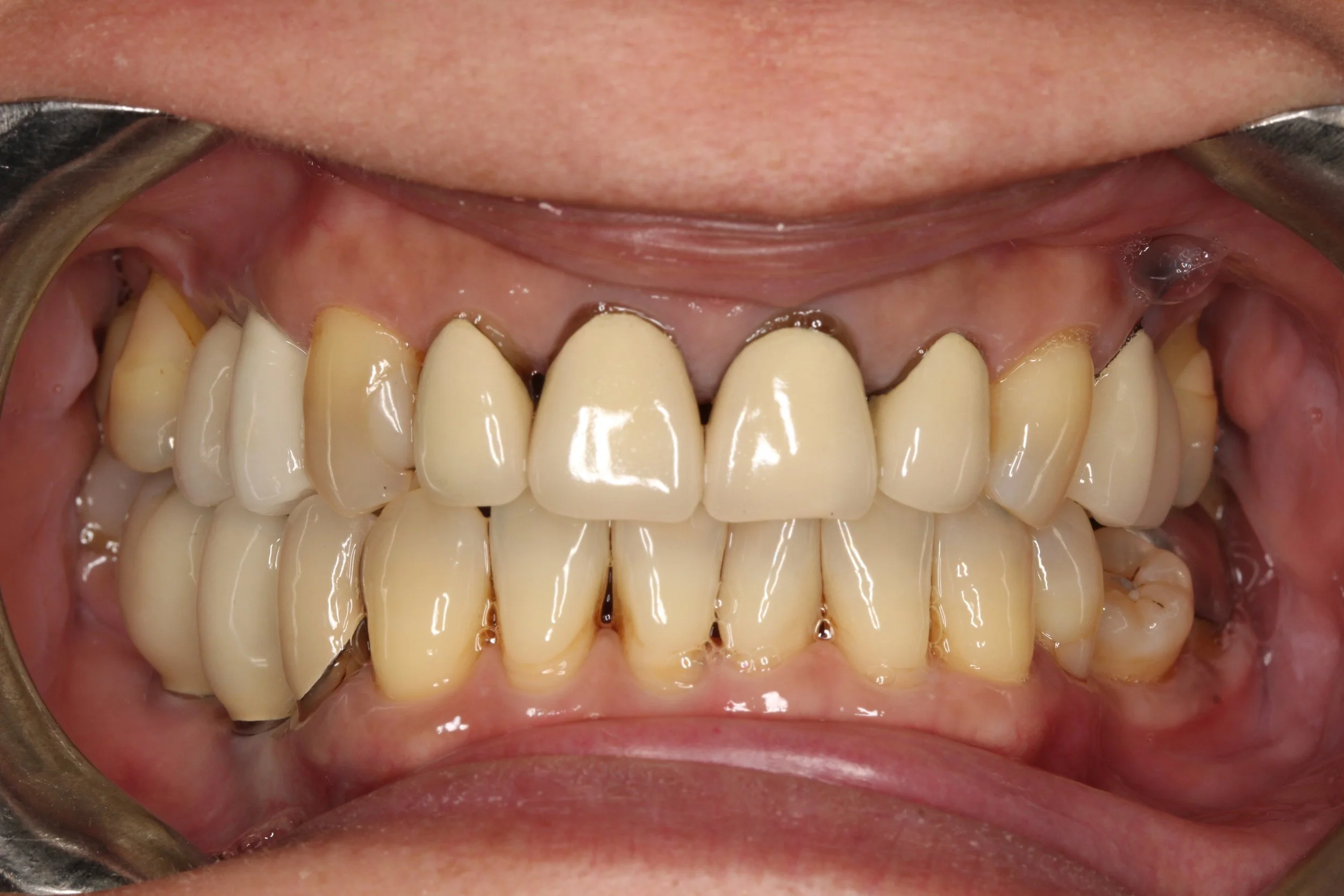
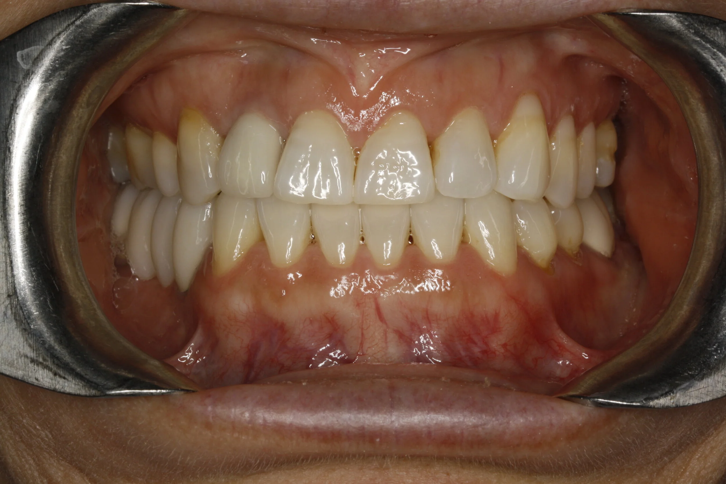
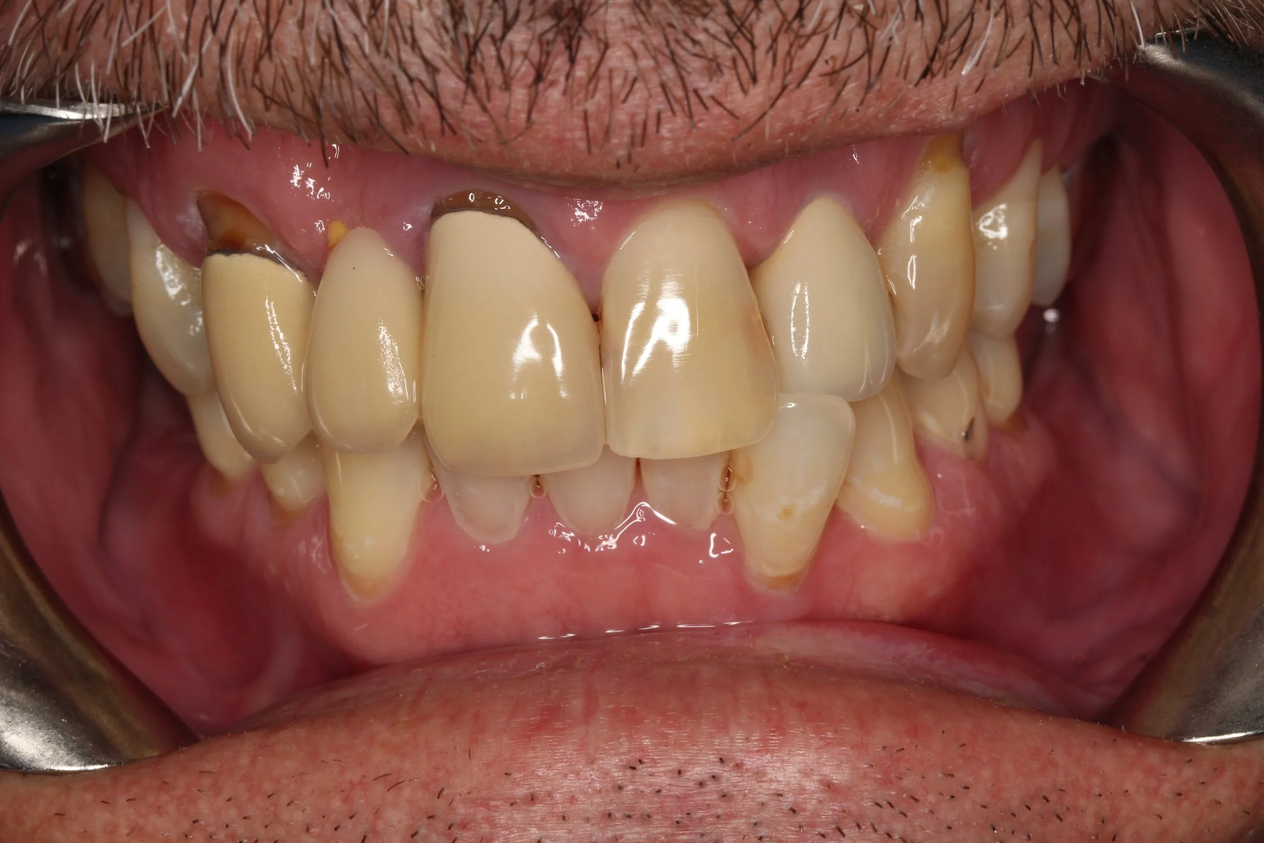
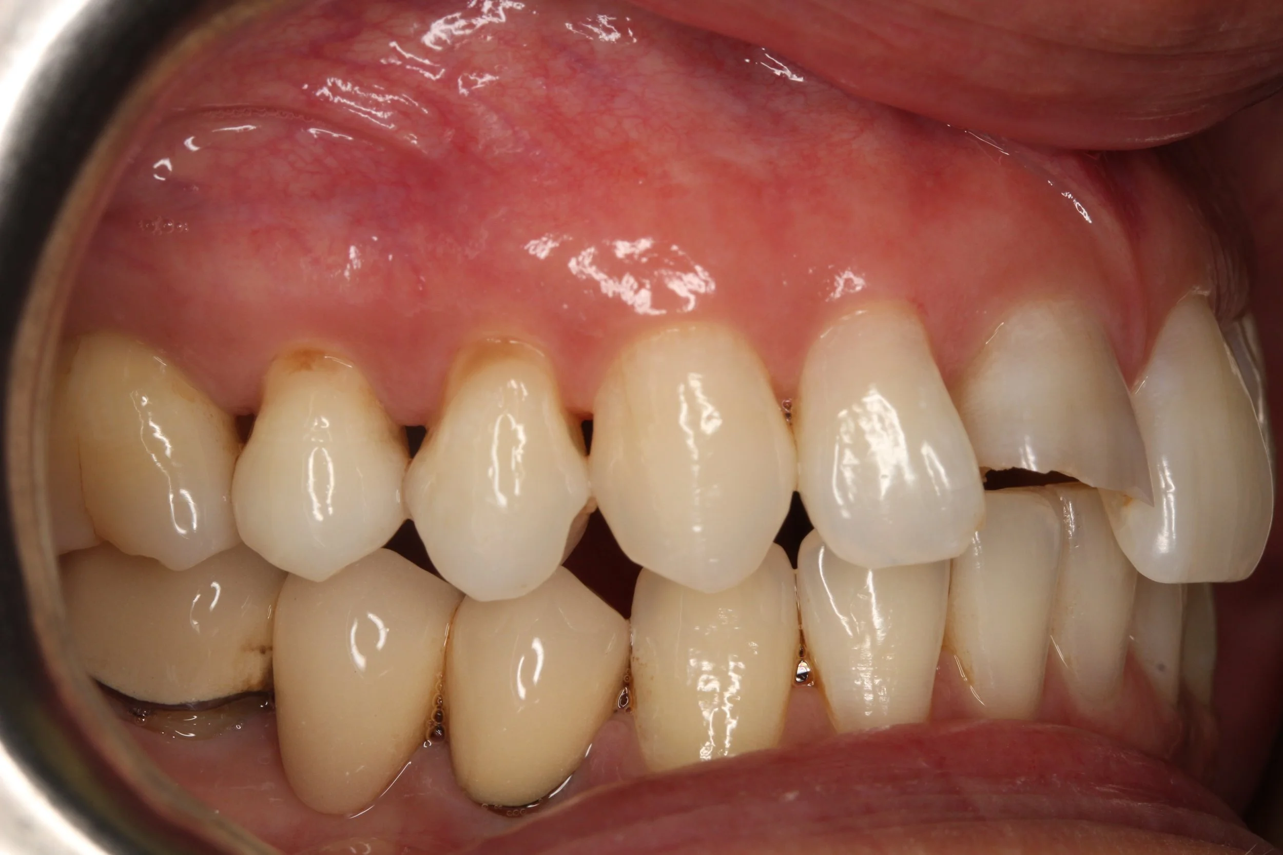
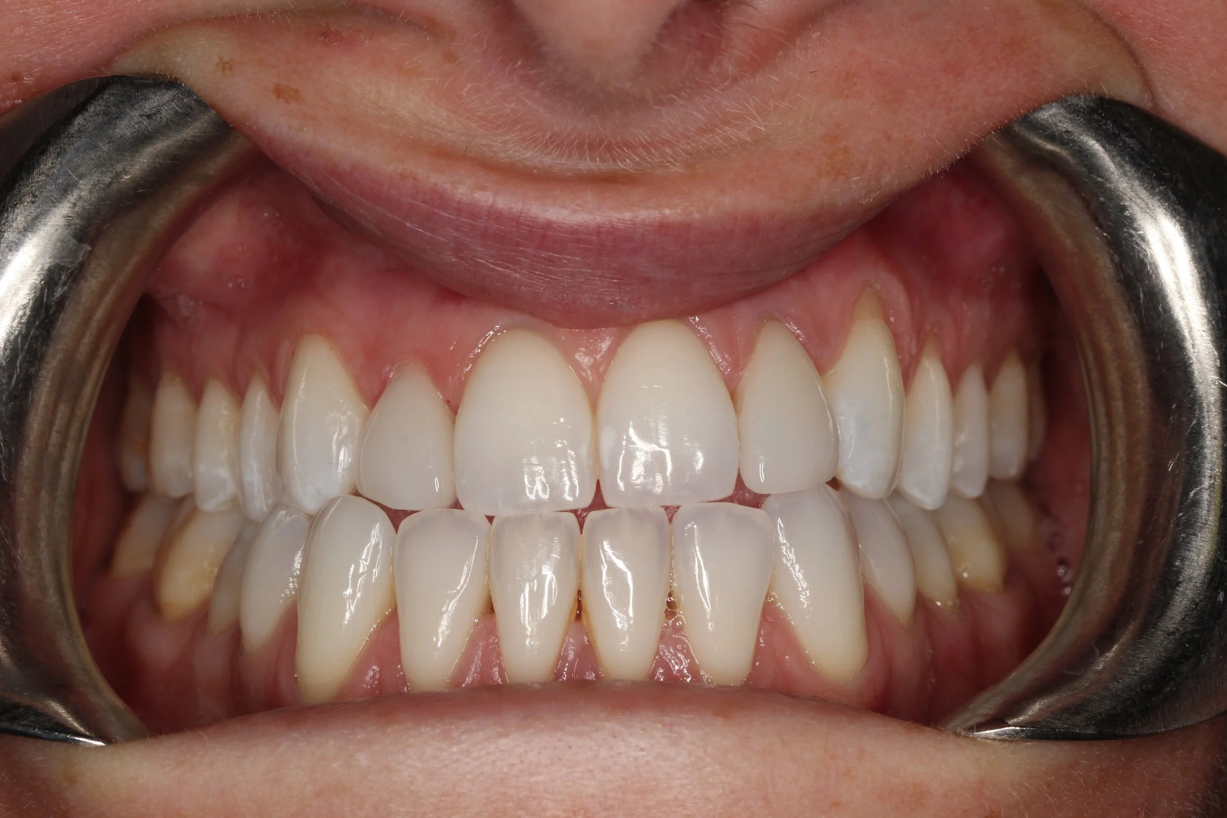
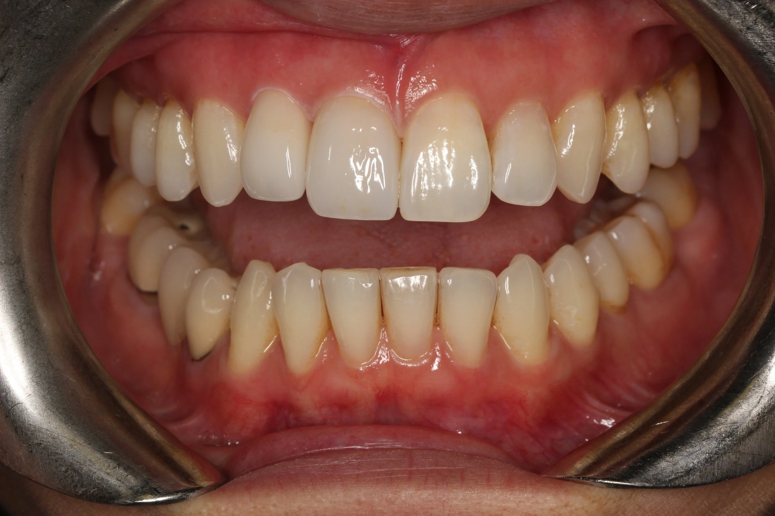
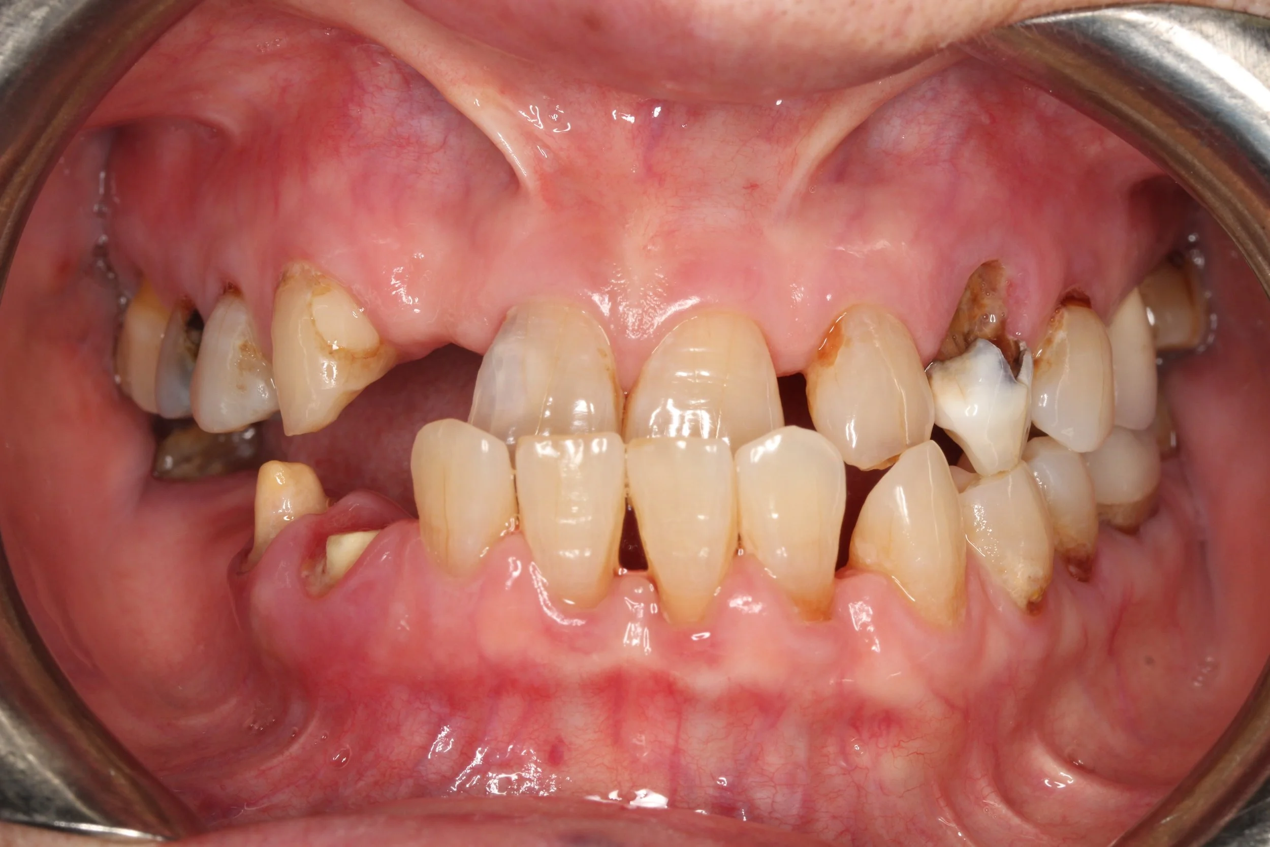
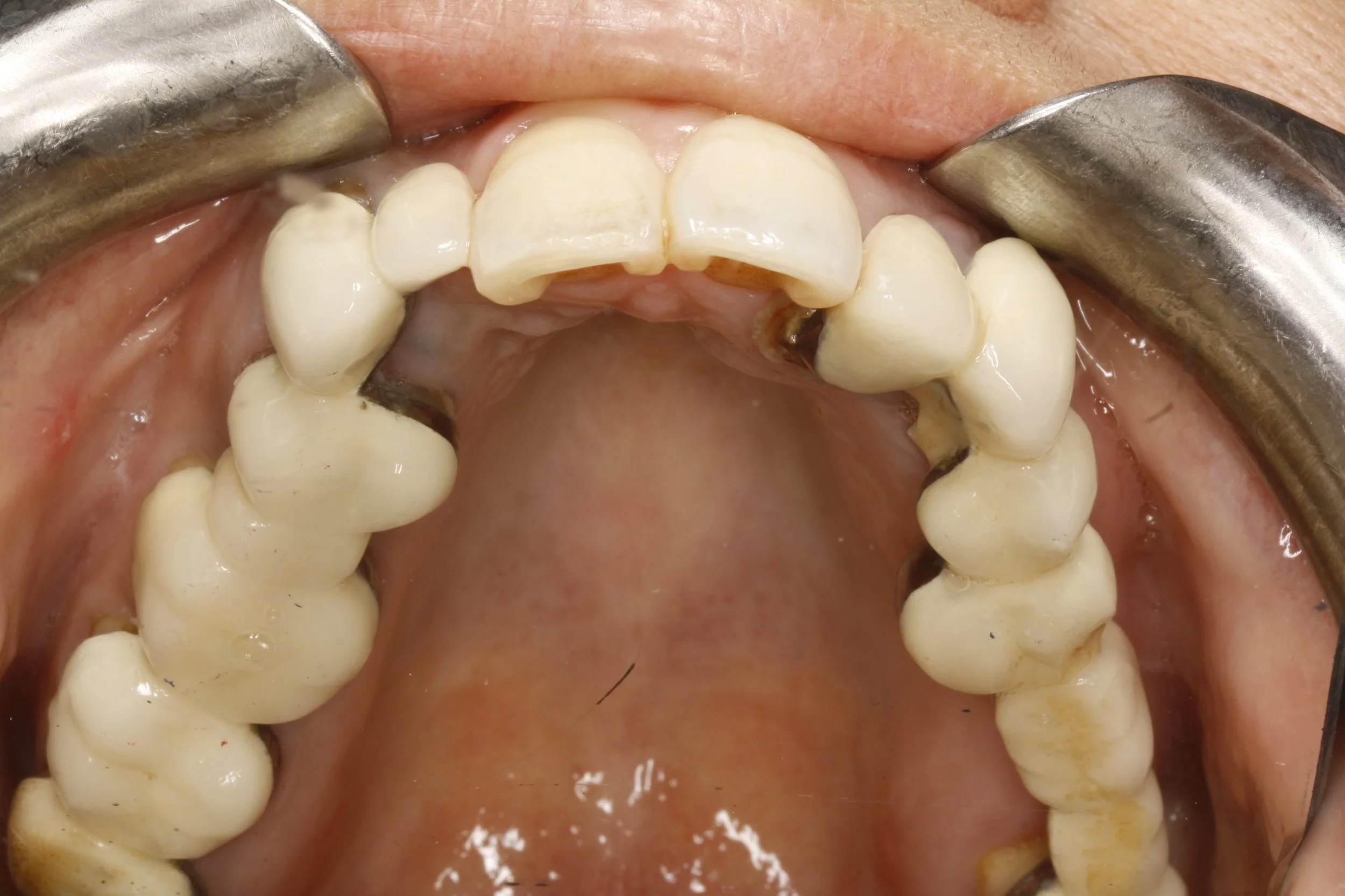
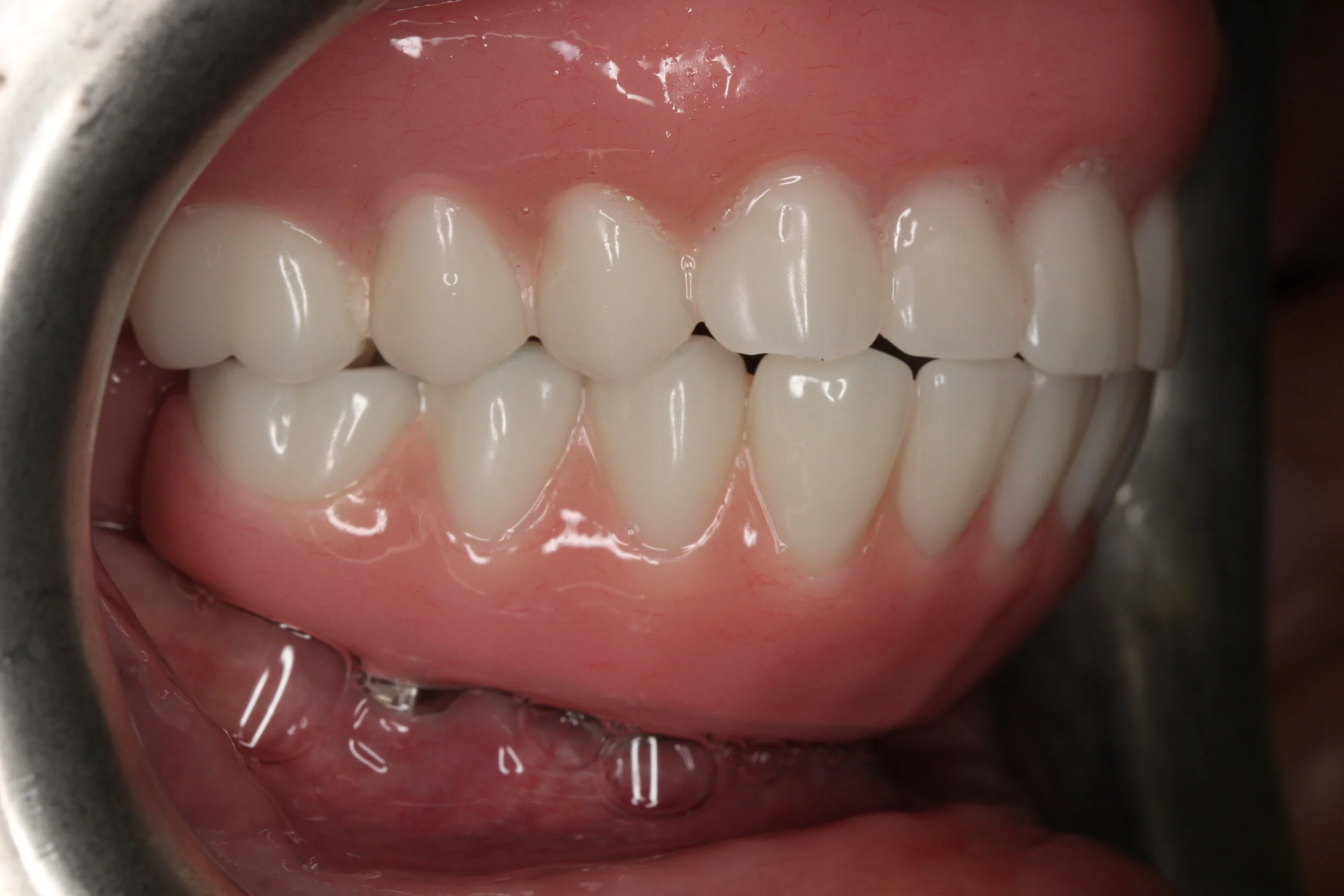
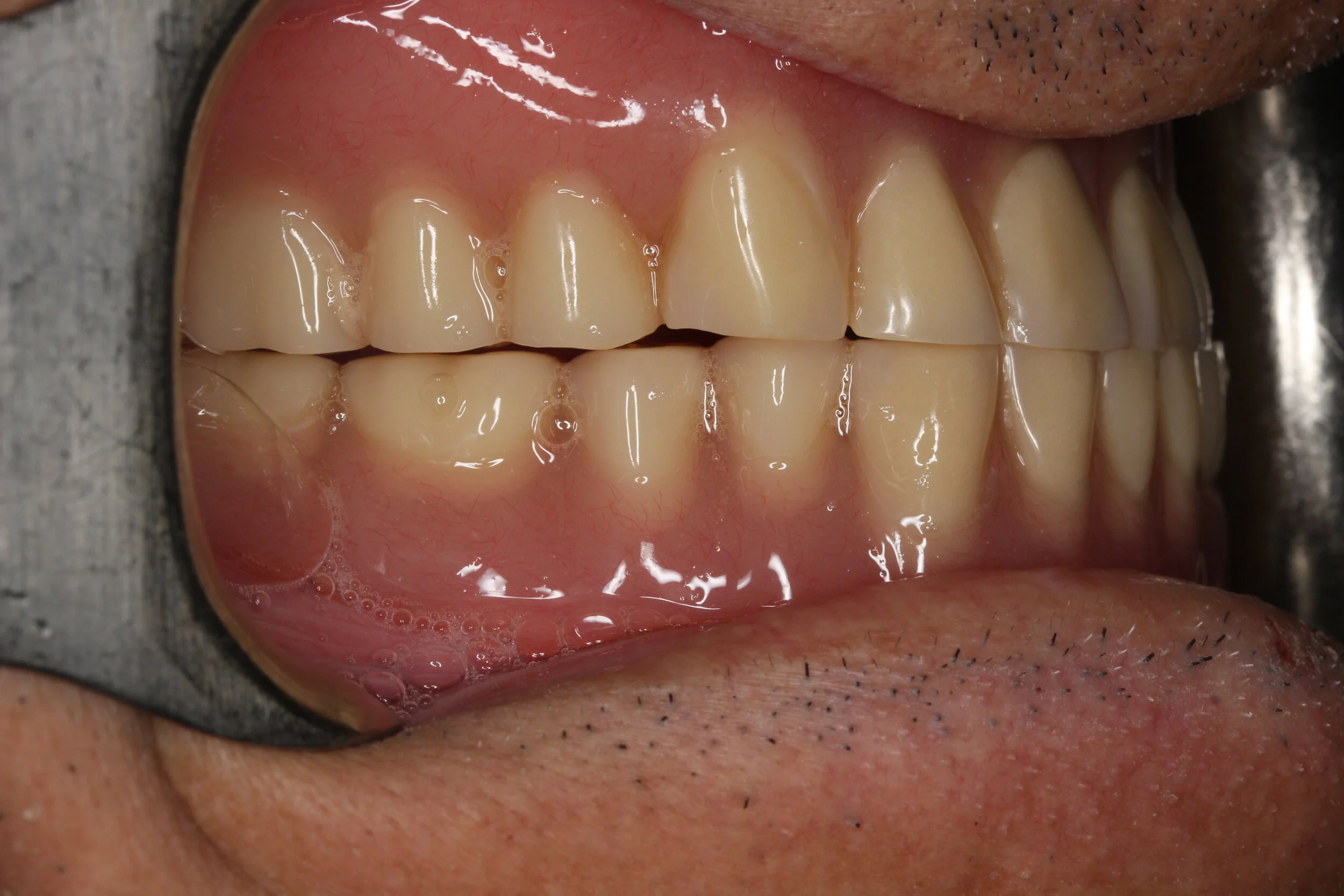
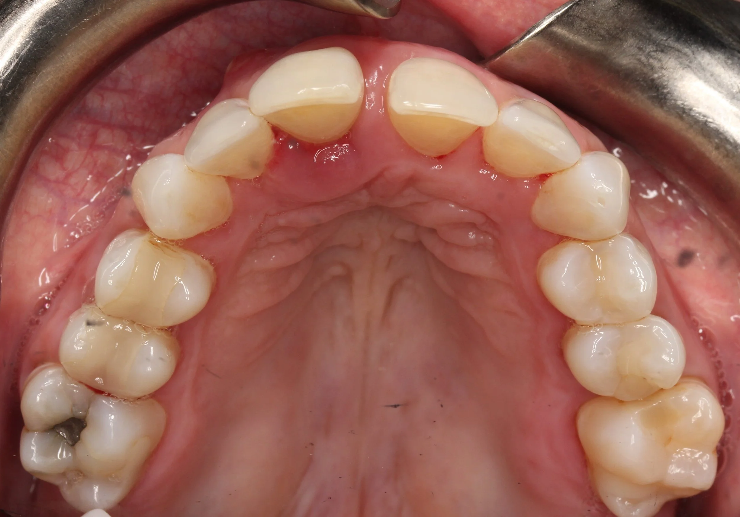
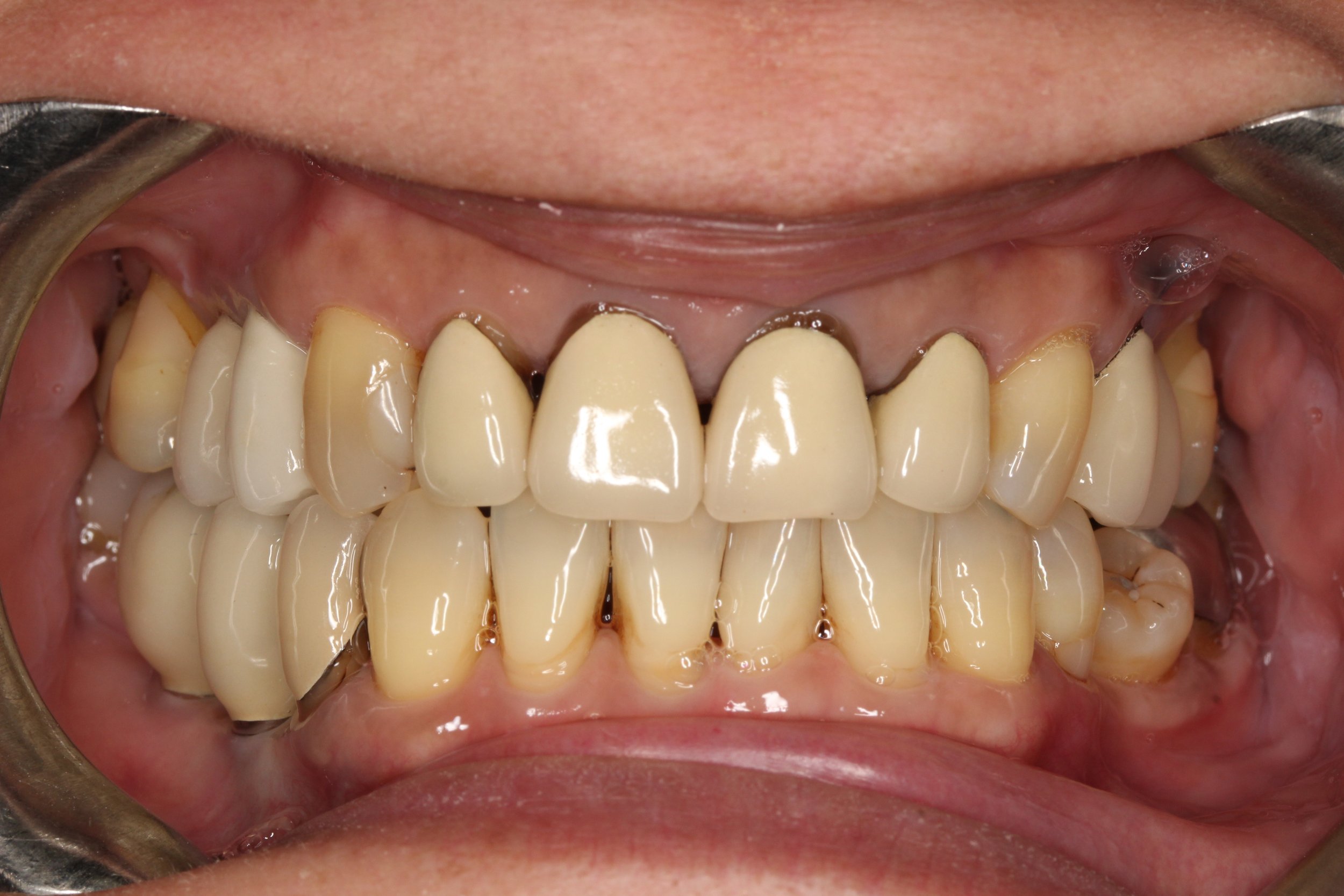
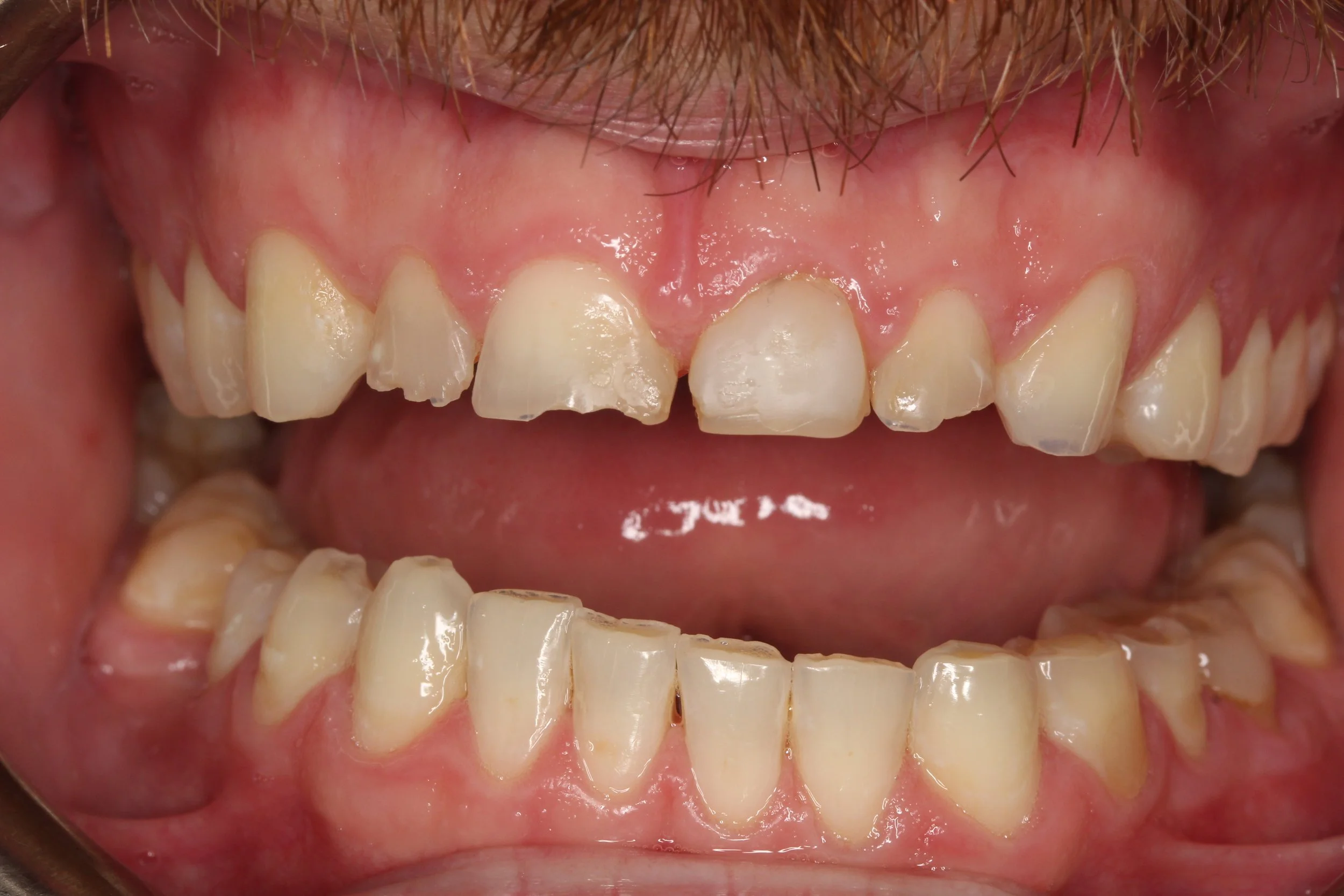
Cosmetic Restorative Cases

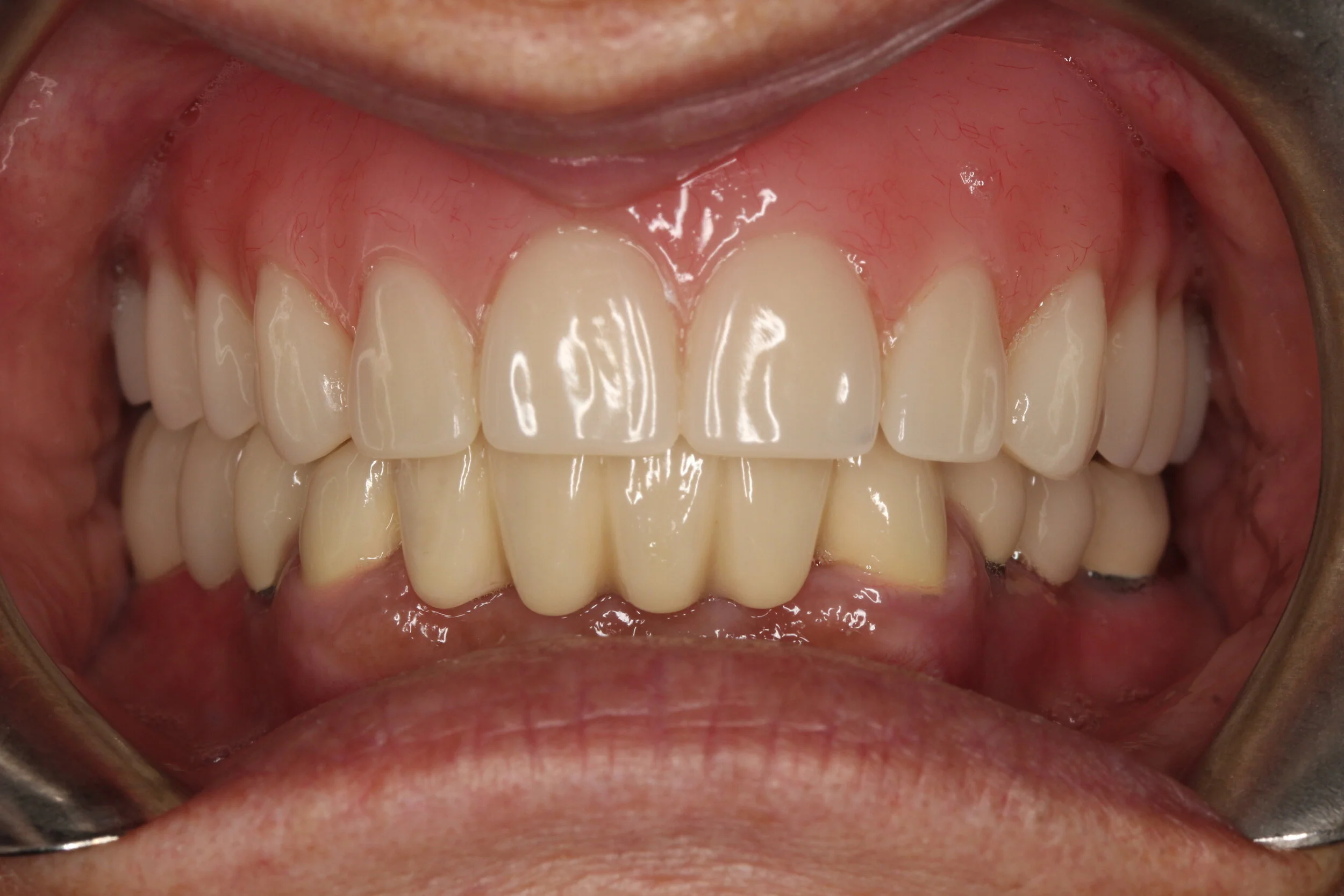
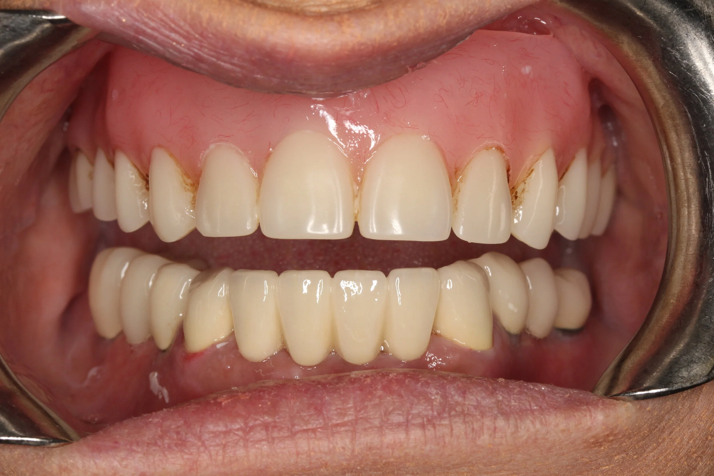
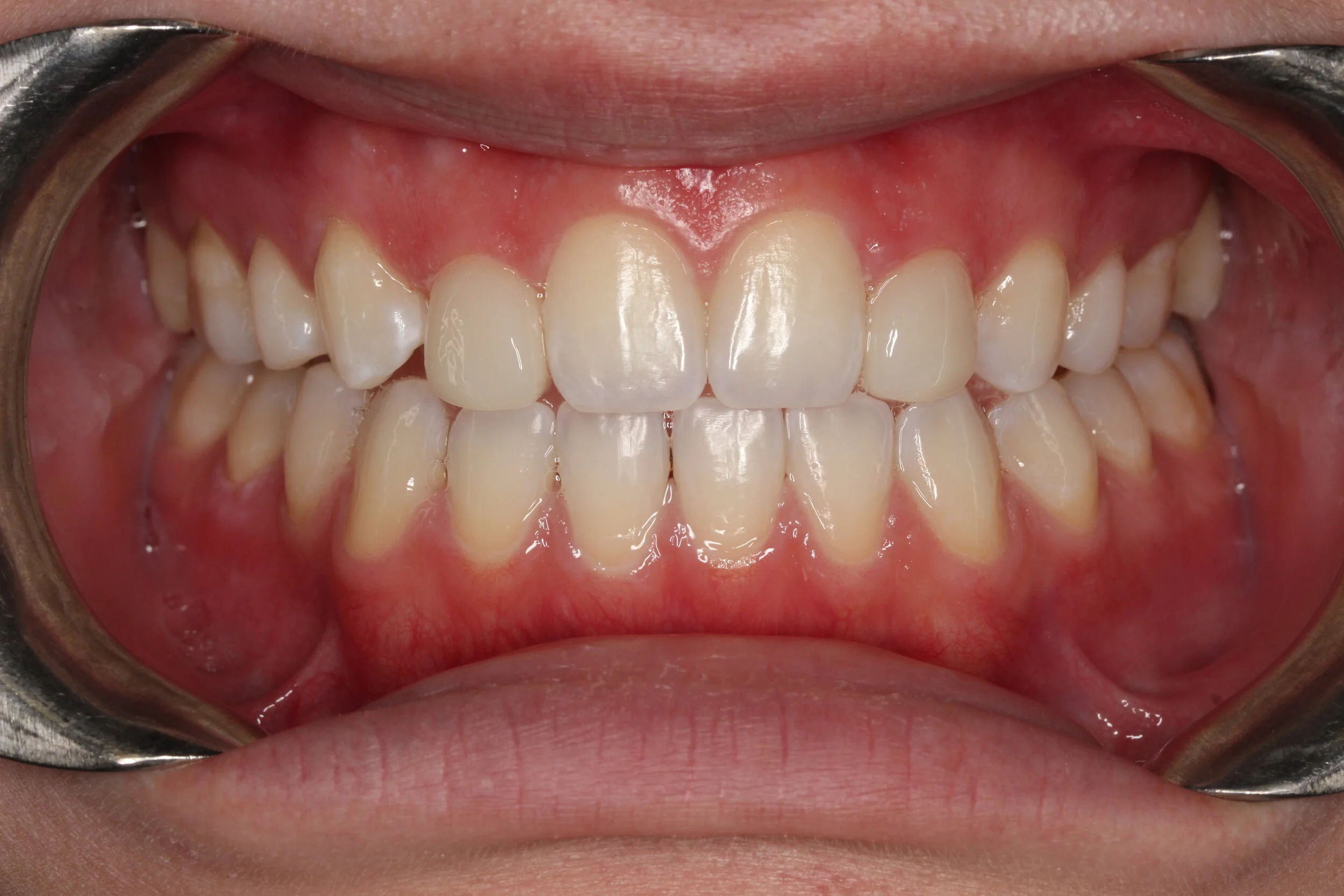
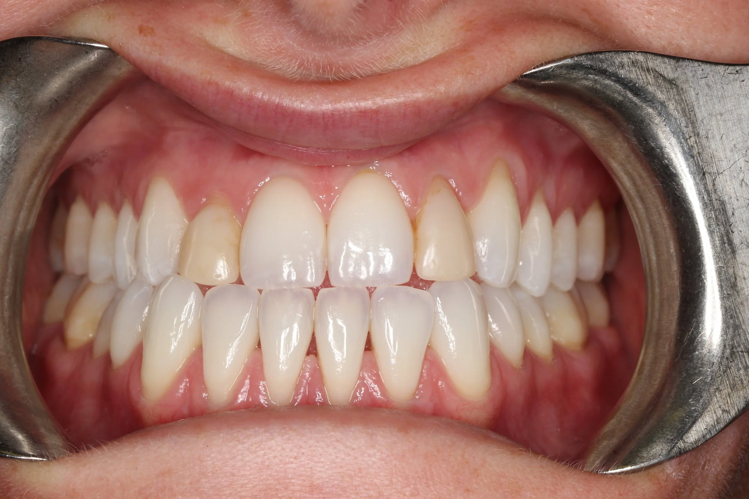
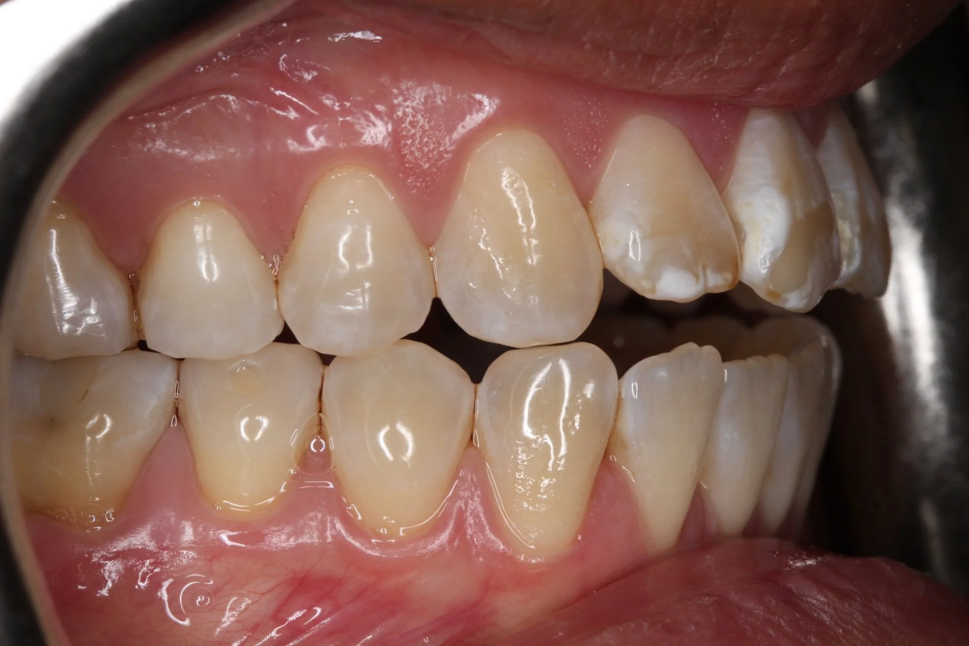
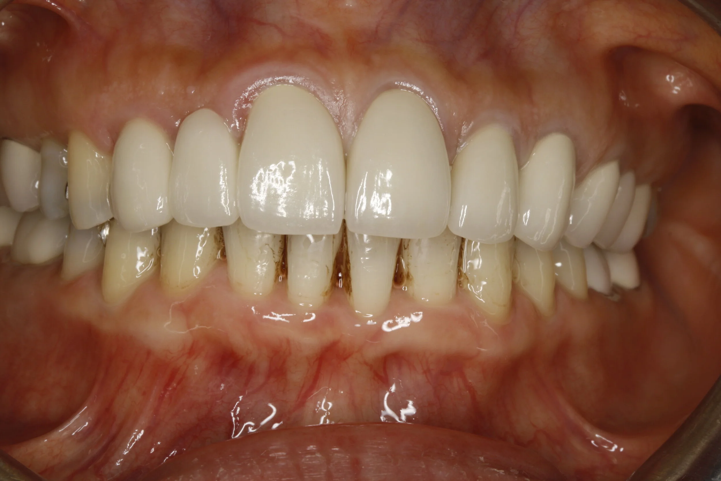
Upper front Implant supported bridge, crowns & teeth whitening

Before After

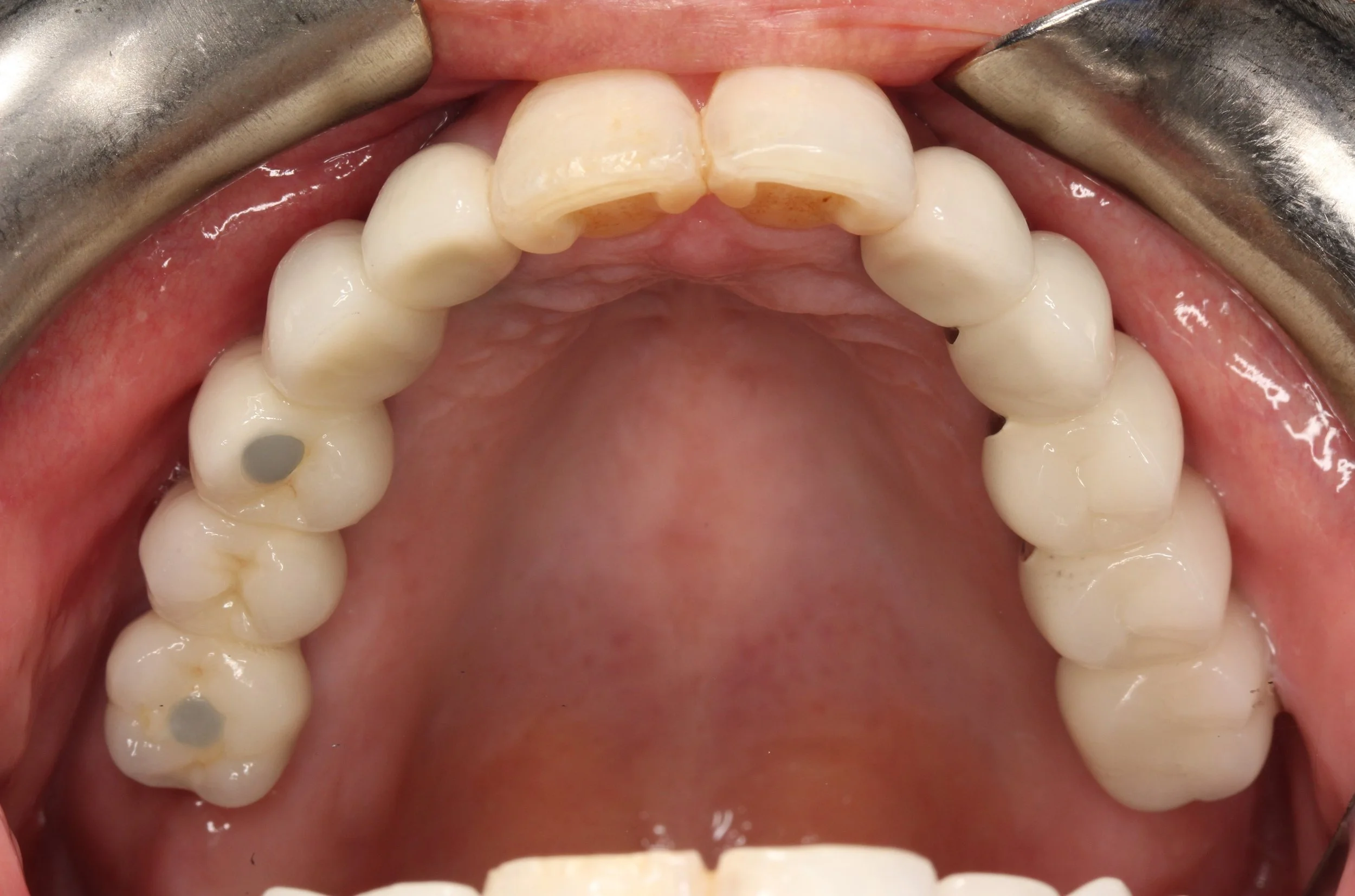
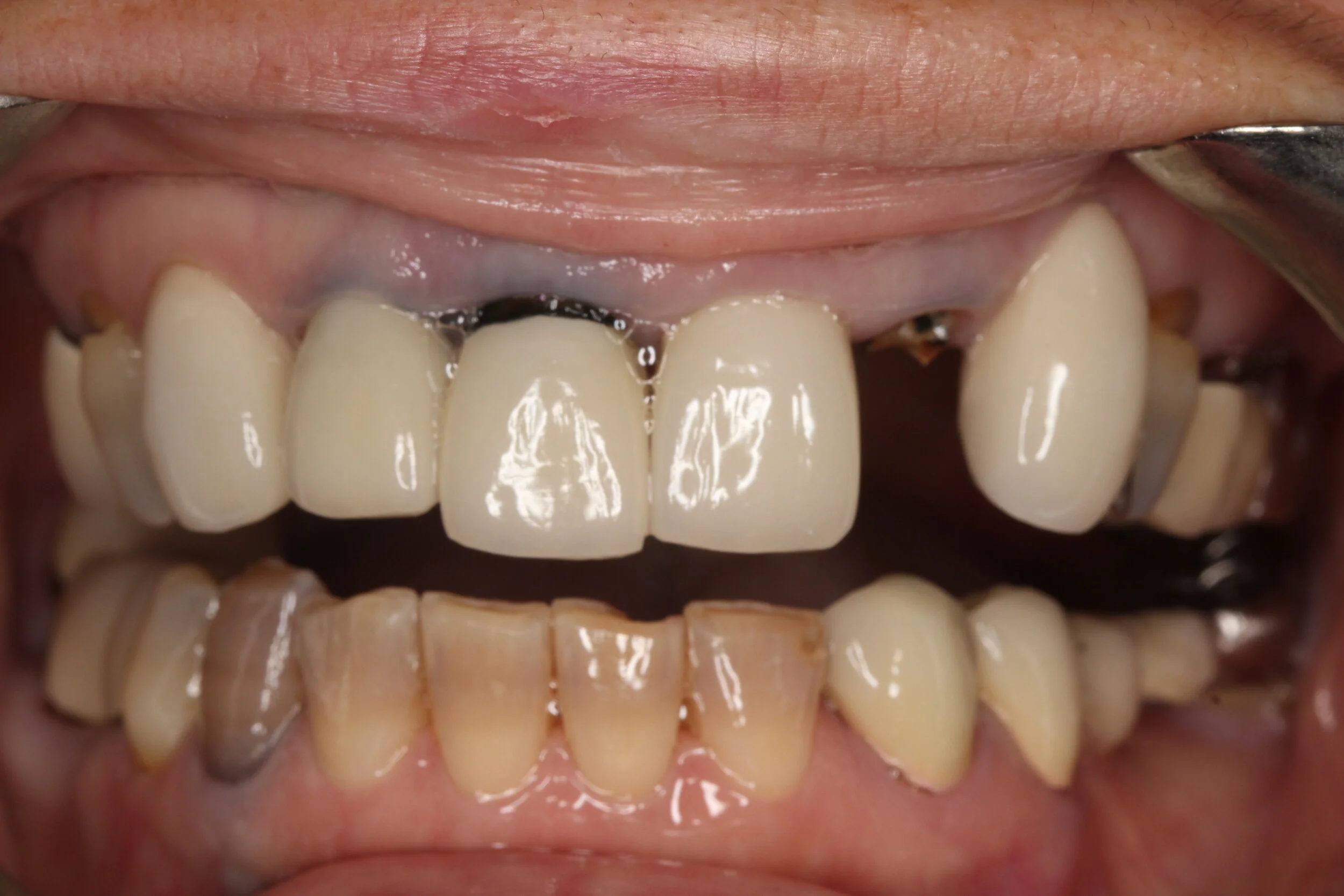
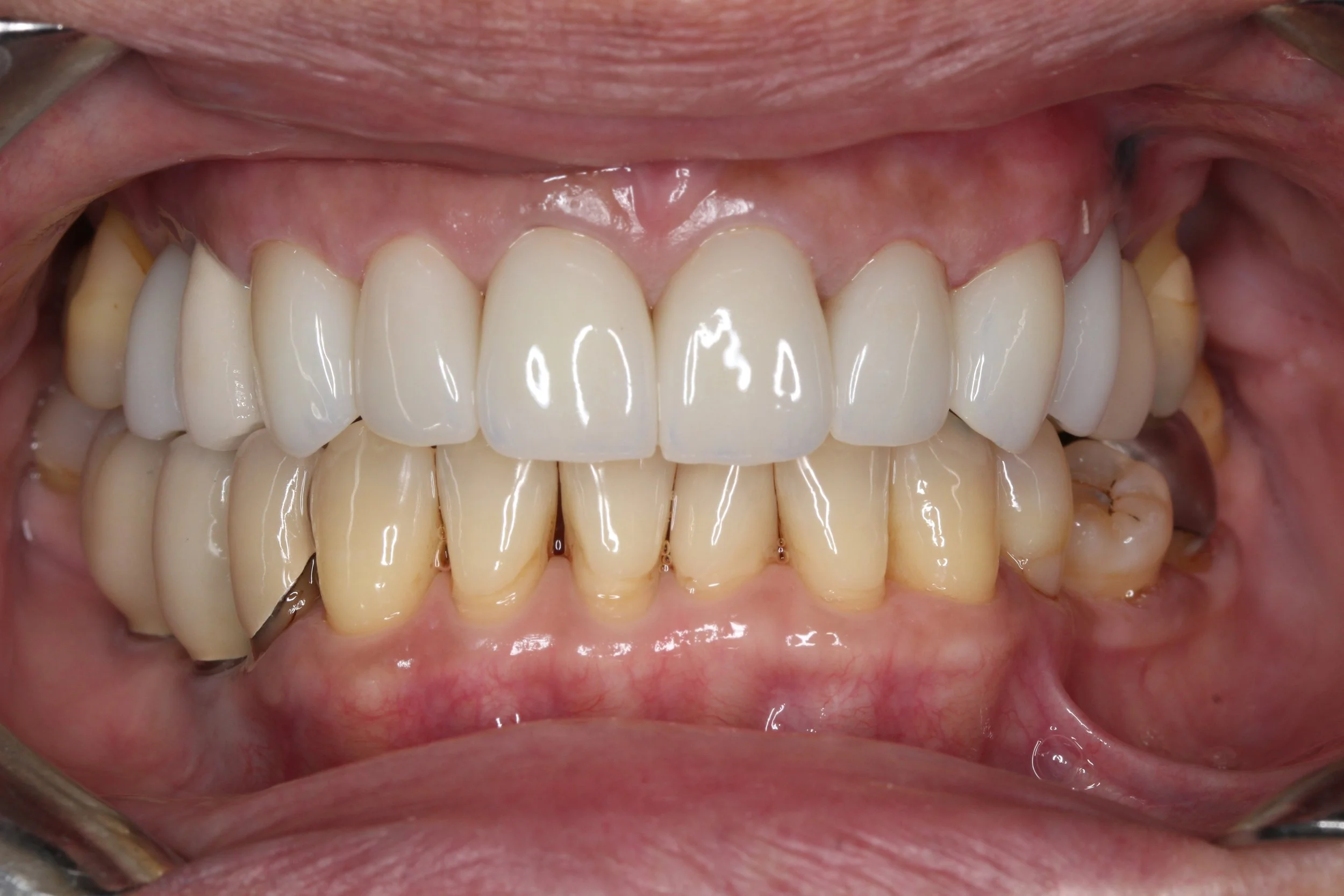
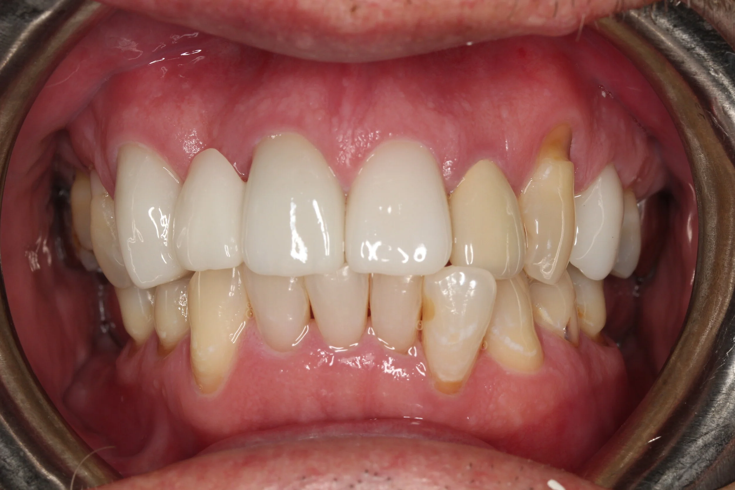
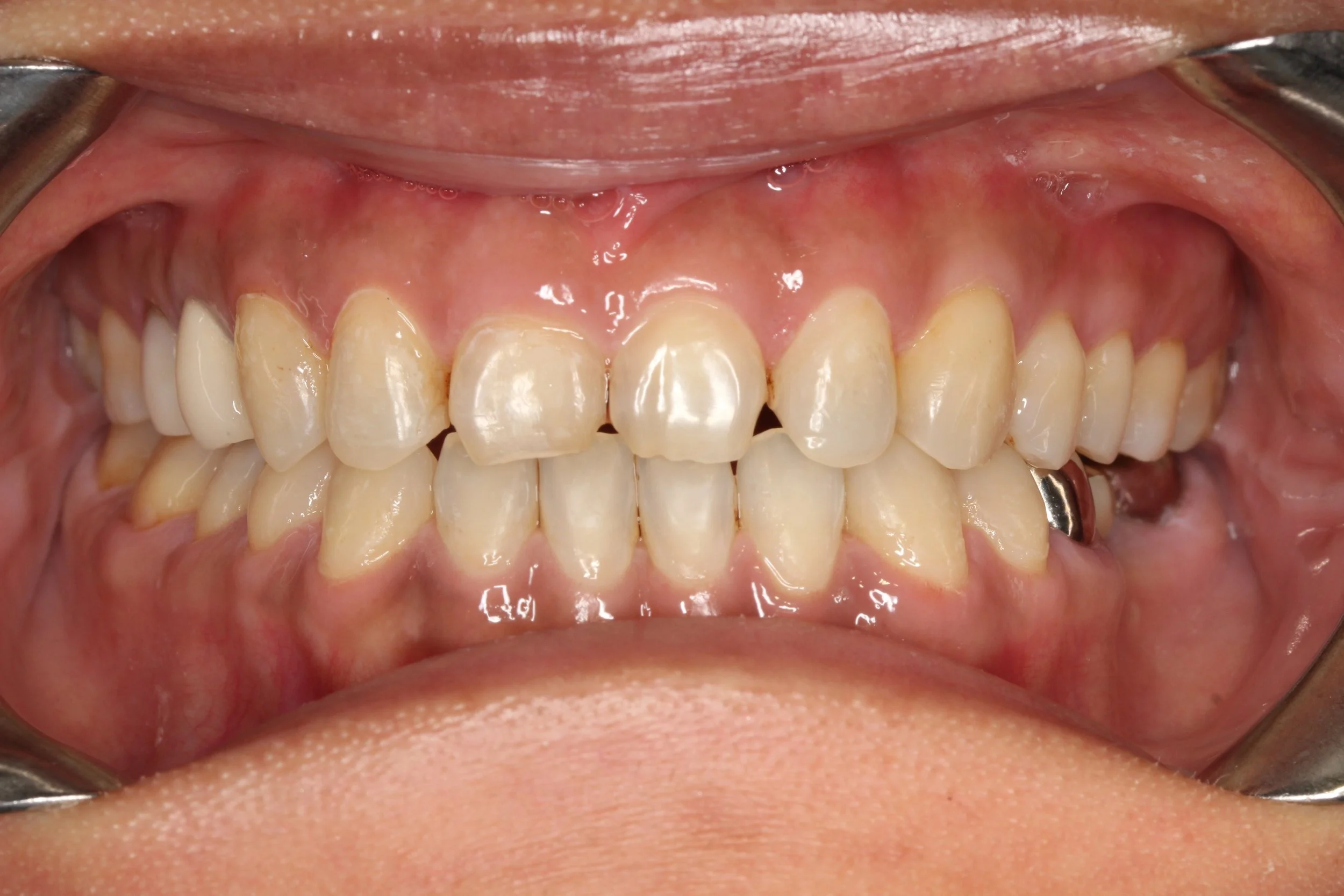
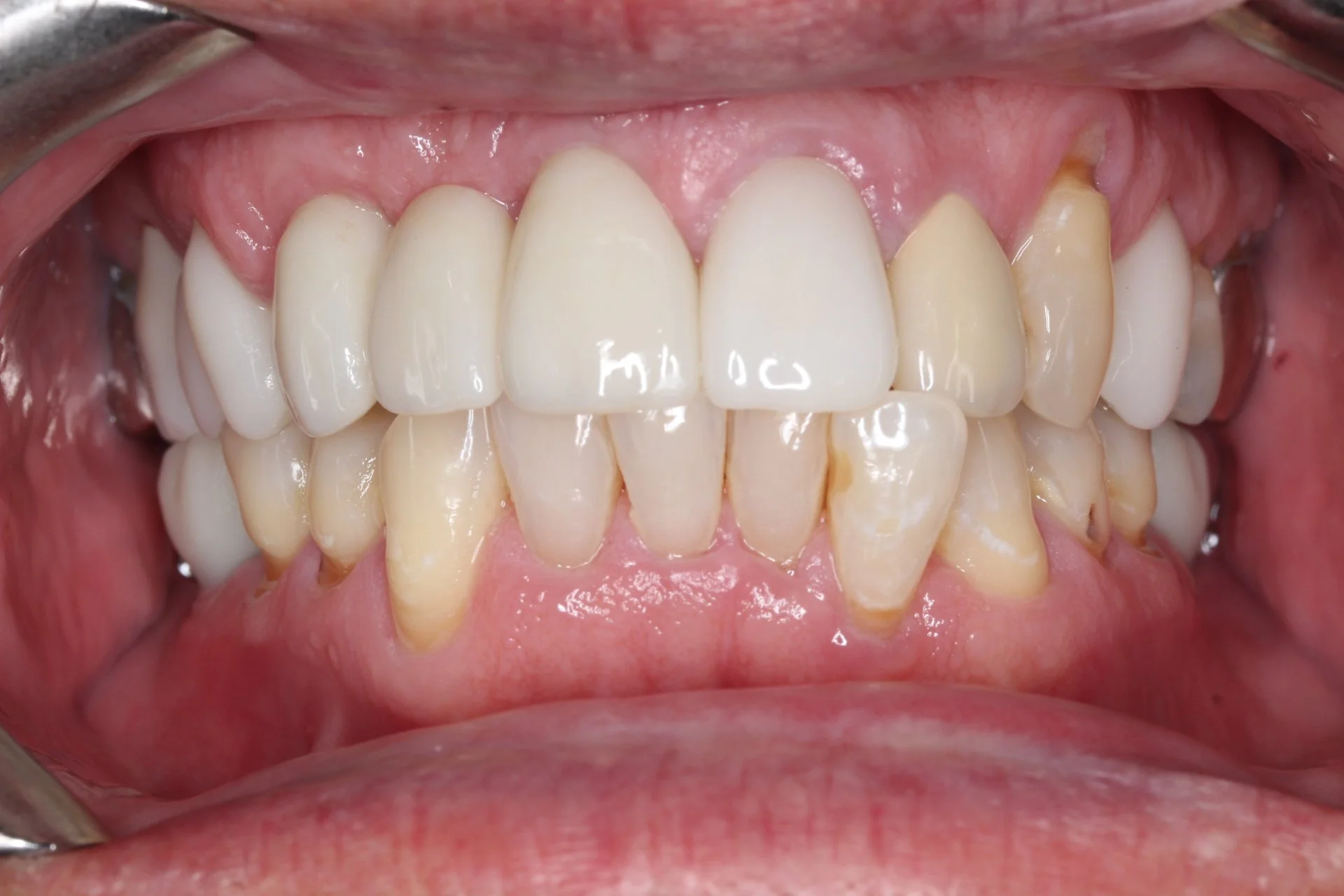
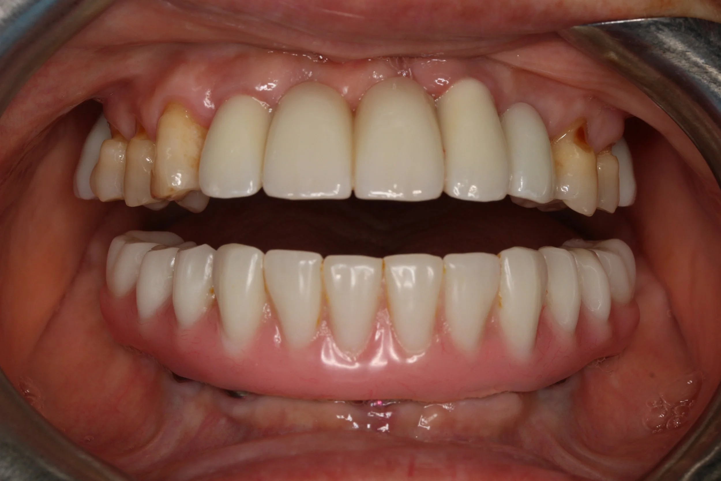
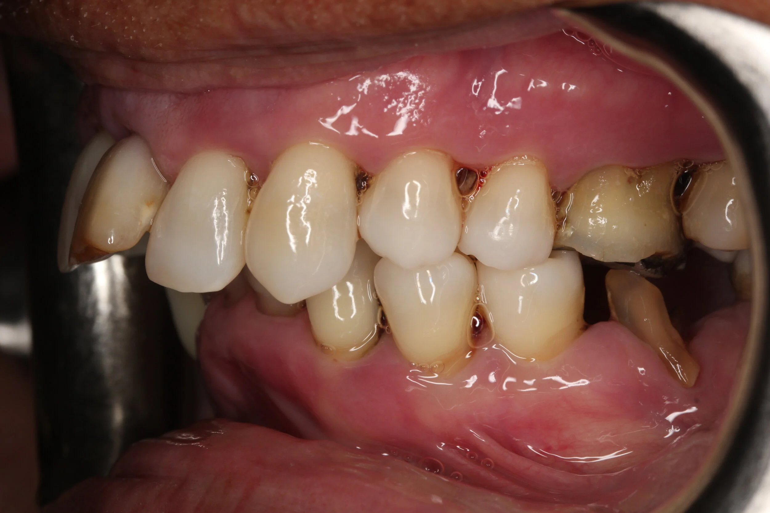
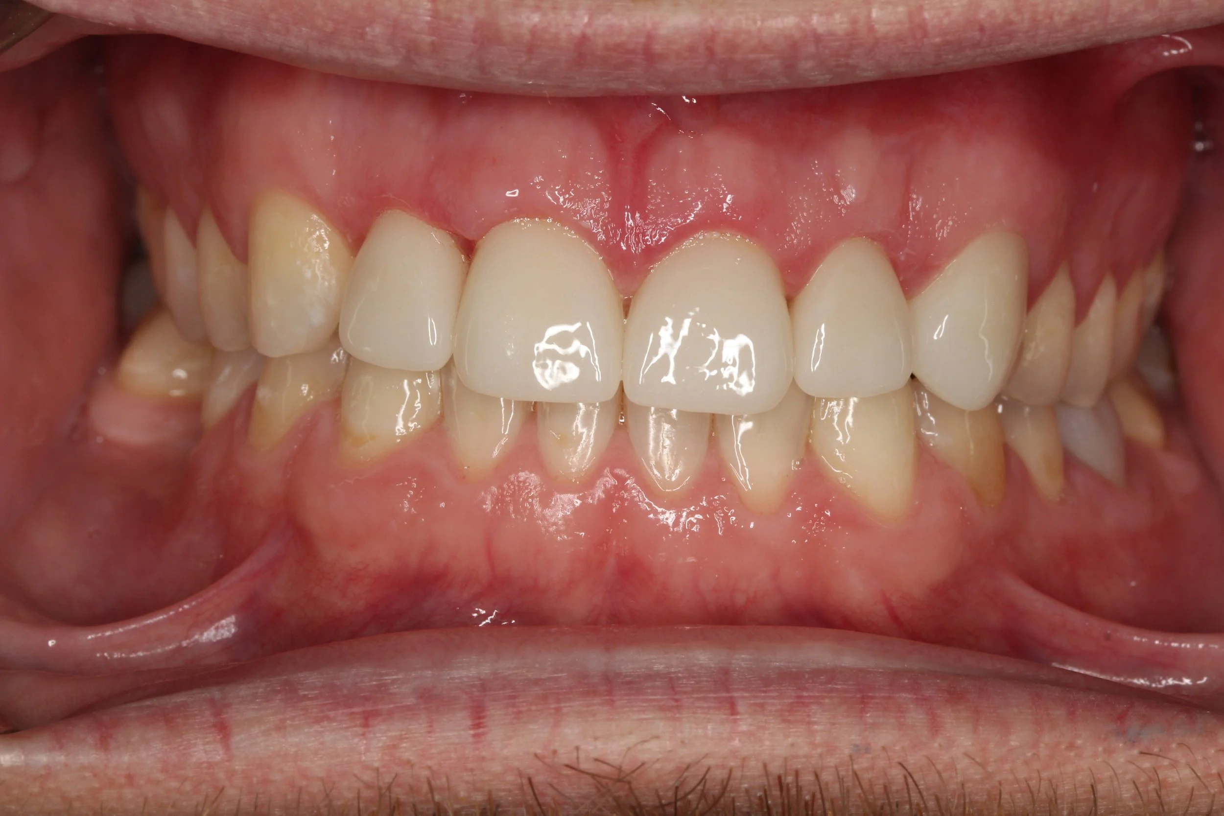
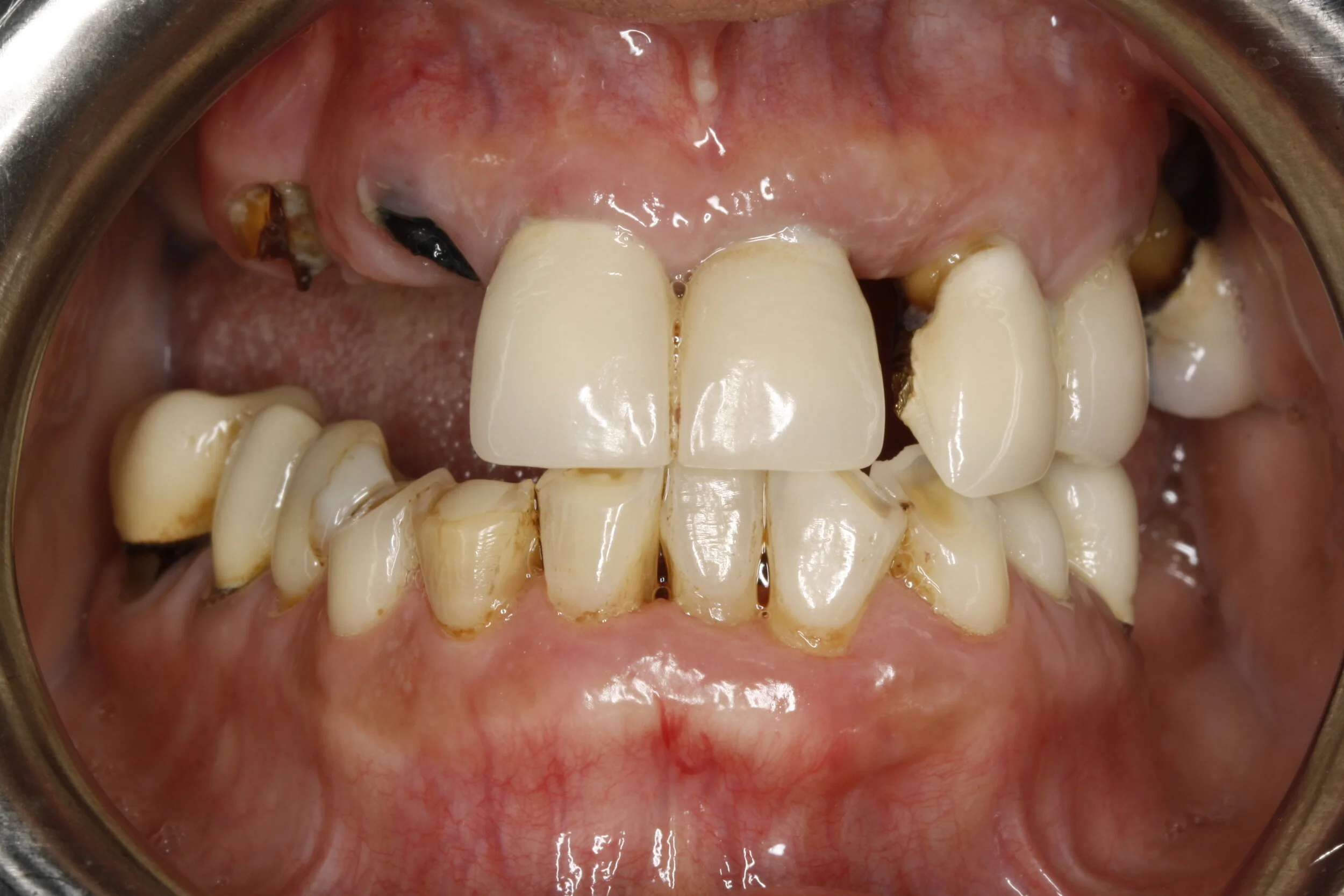
Upper & Lower Bridges

Before After

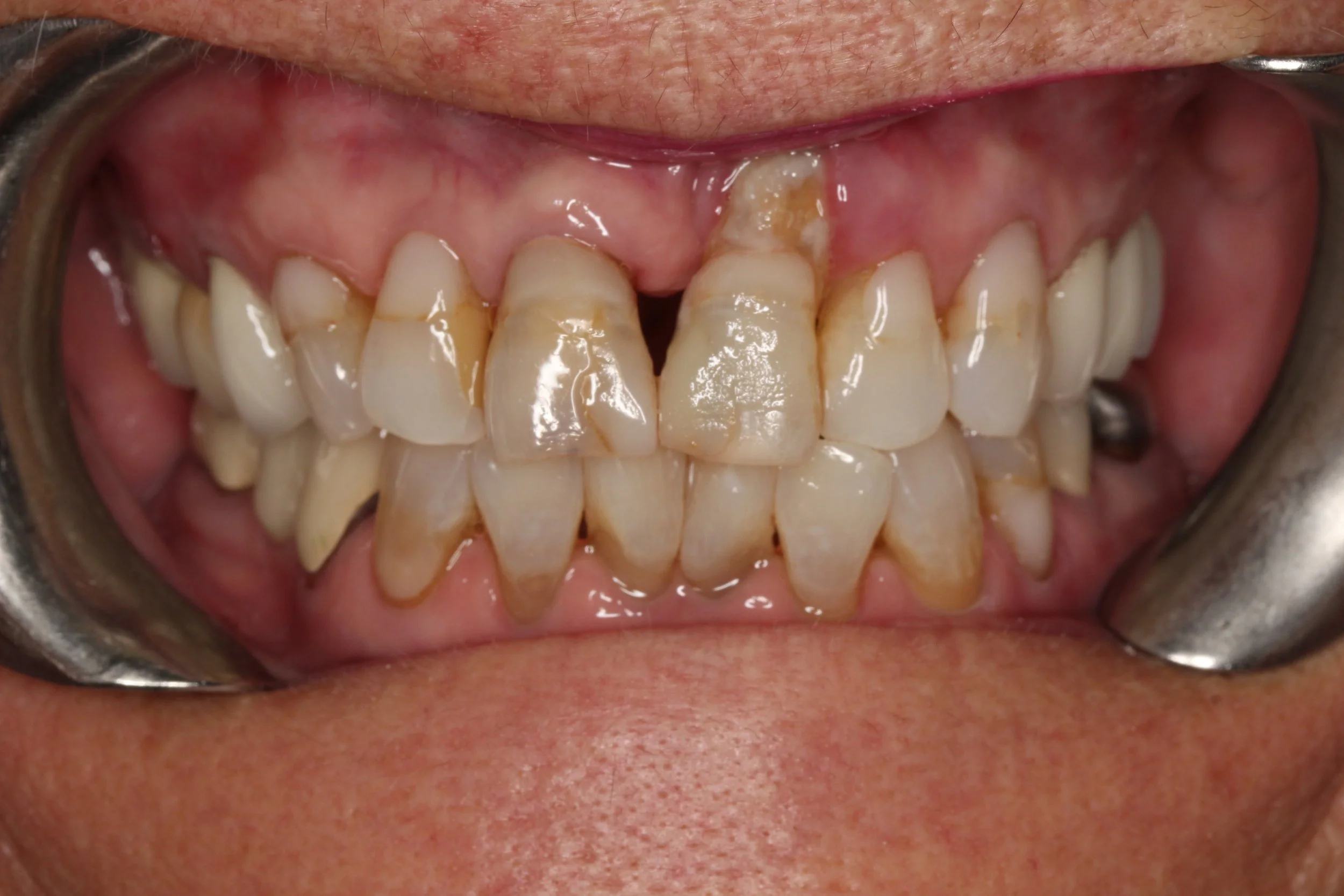
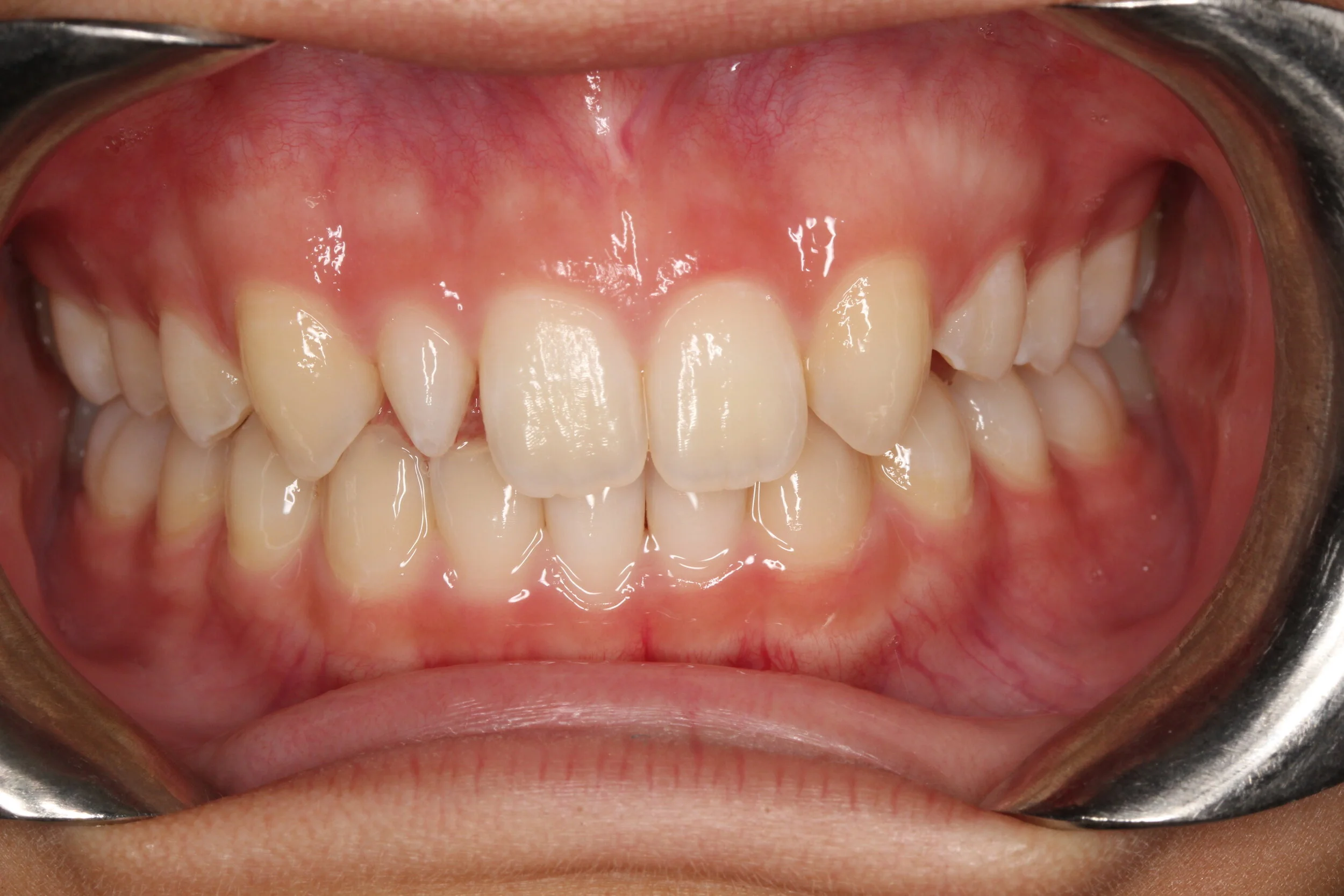
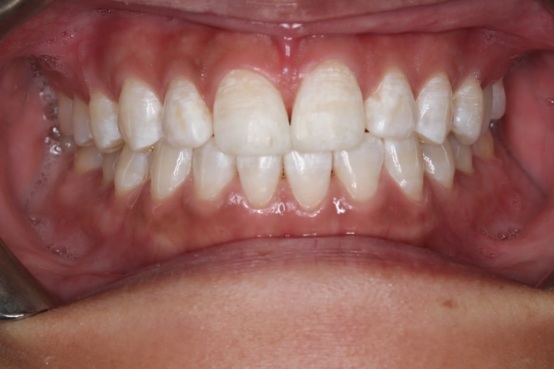
Invisalign + Upper Front Fillings & Crowns

Before After

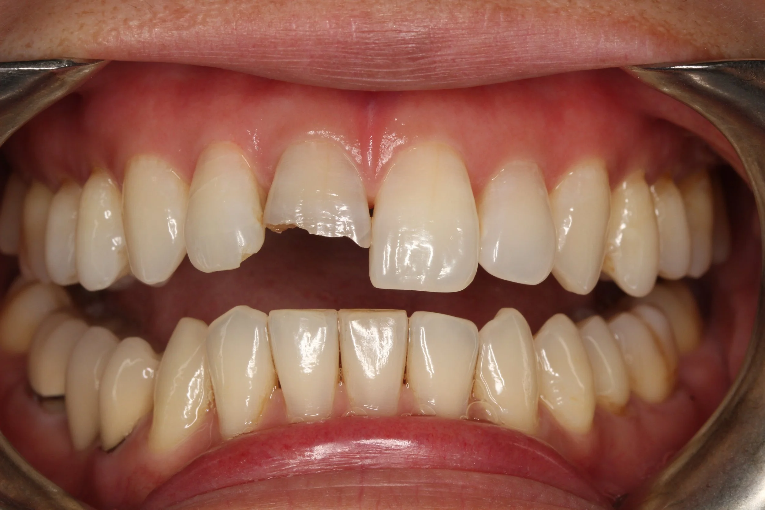
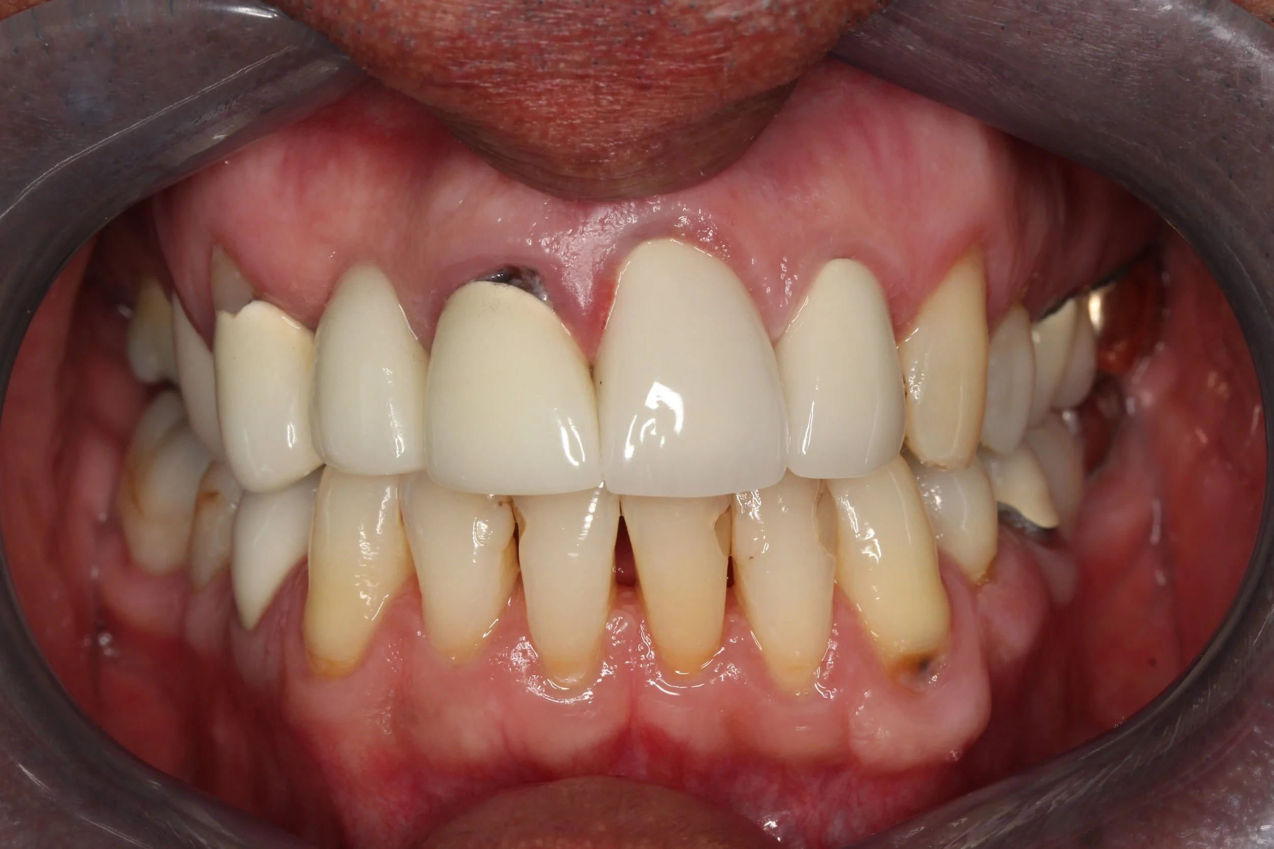
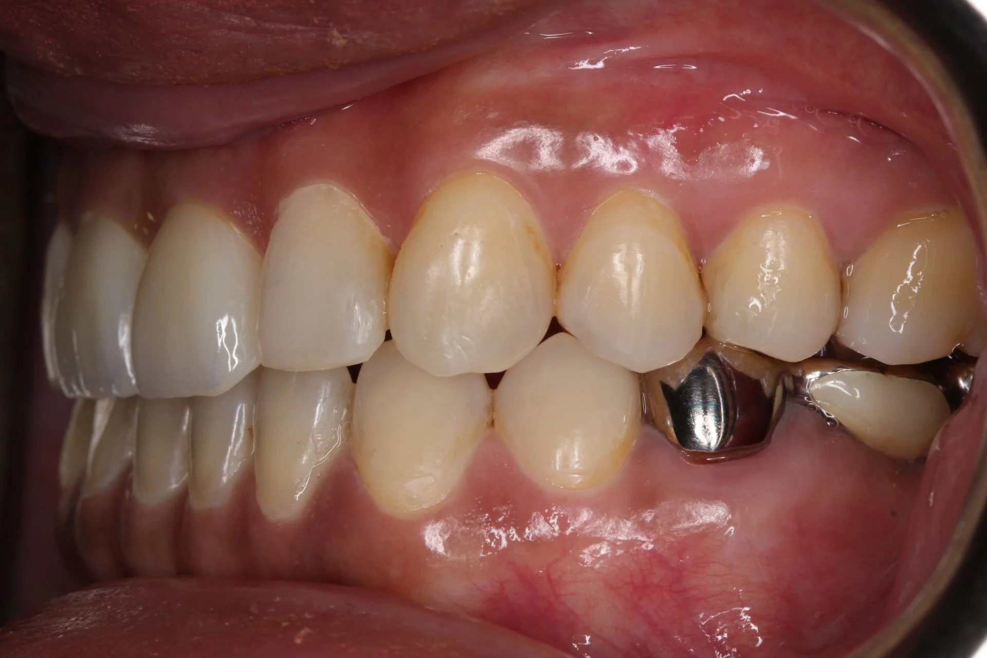
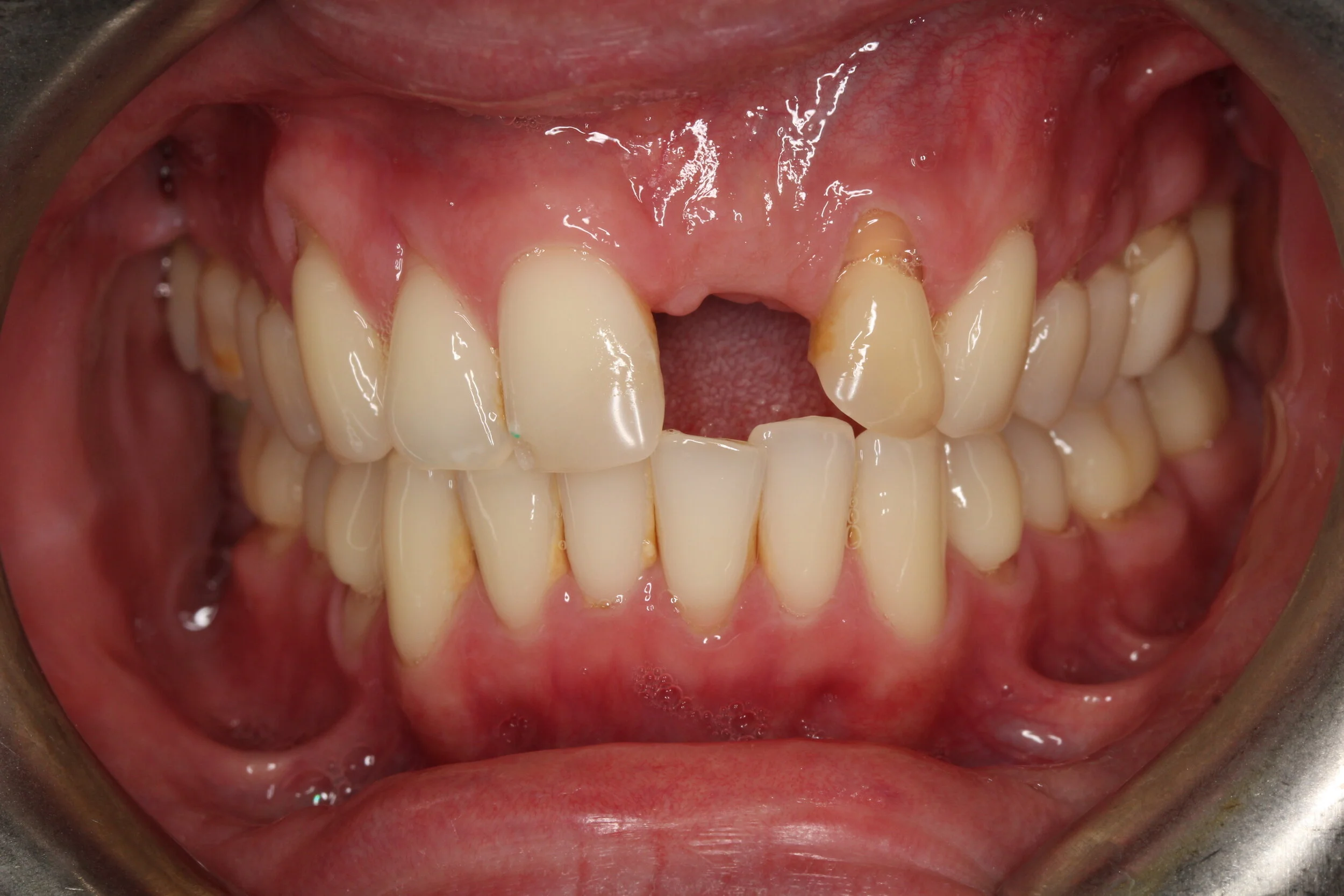
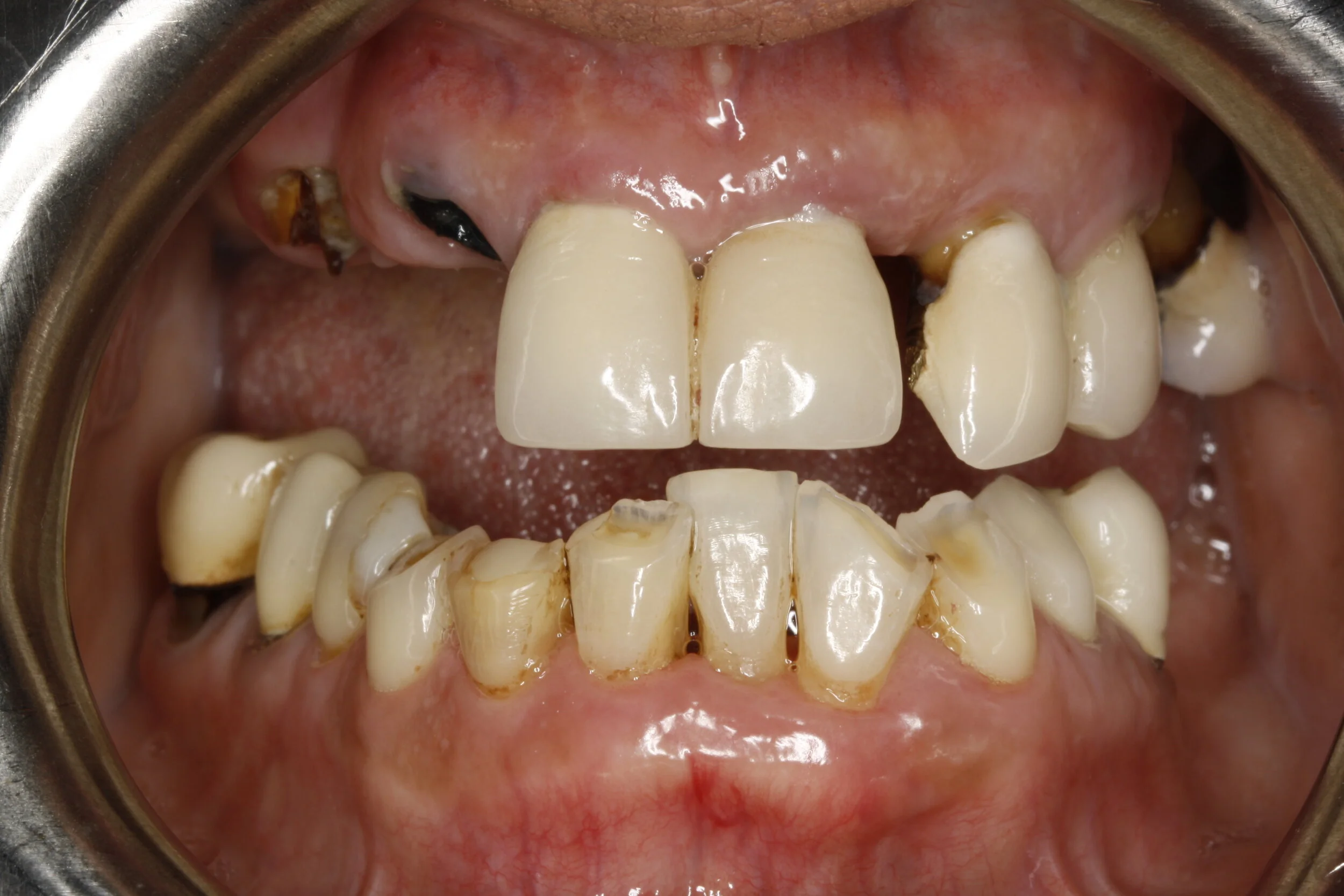
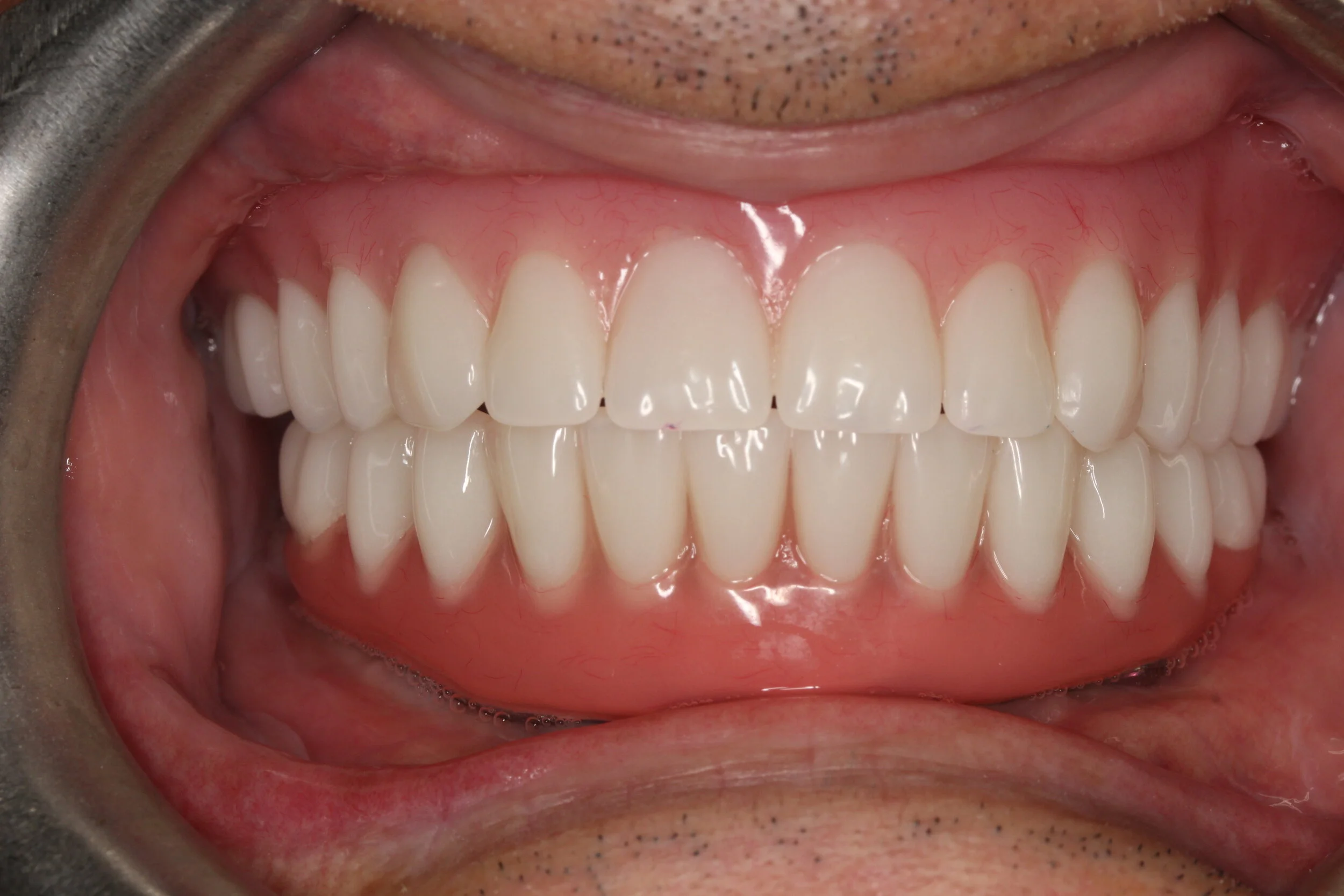
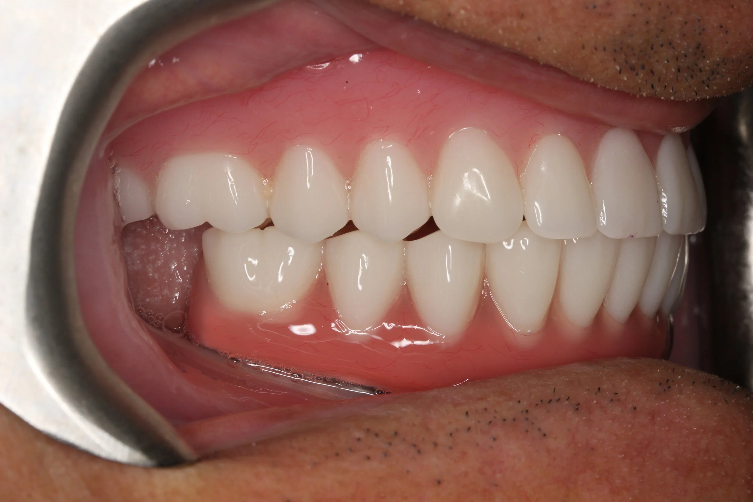
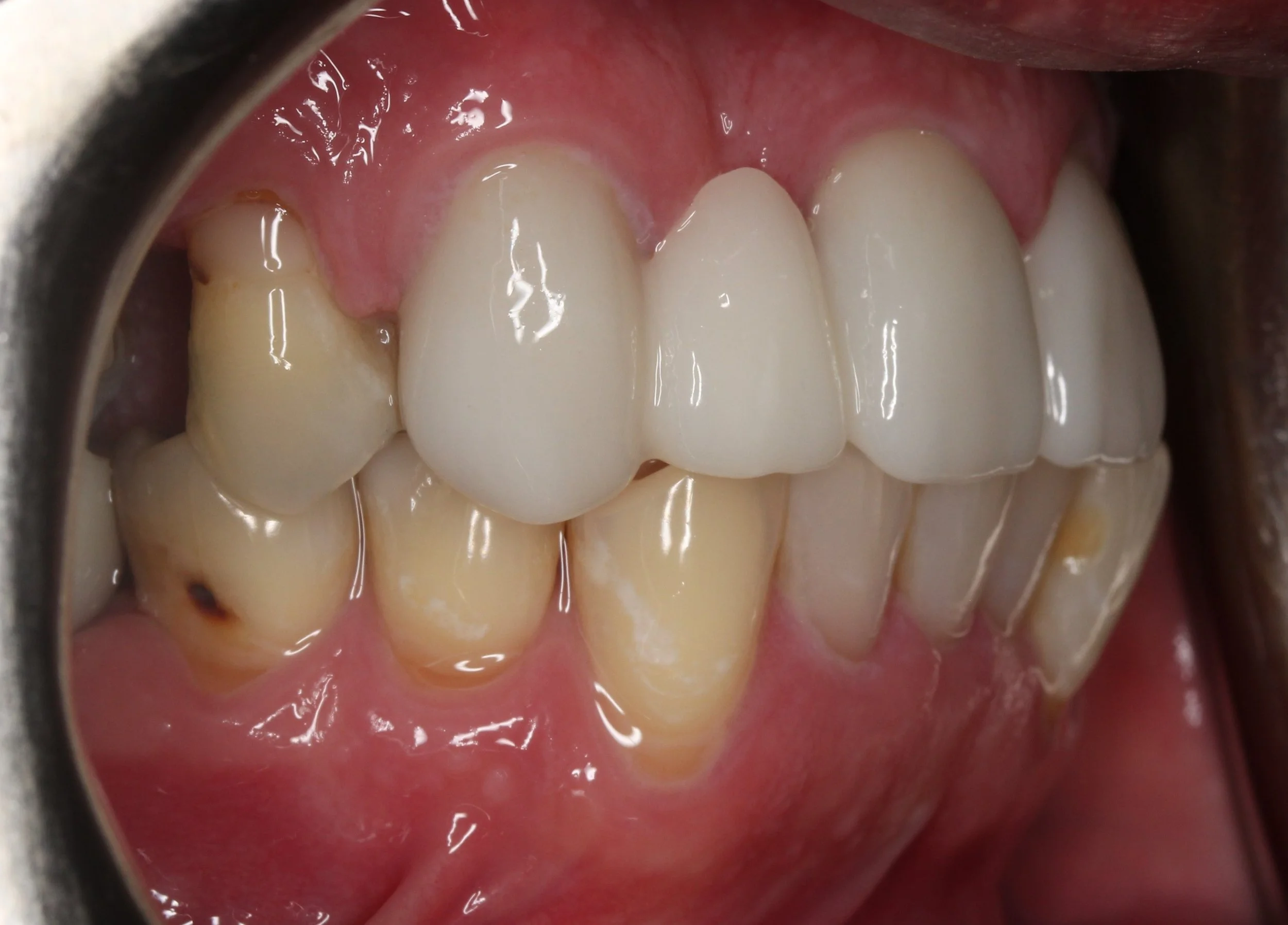
Upper Front Implant Crown

Before After

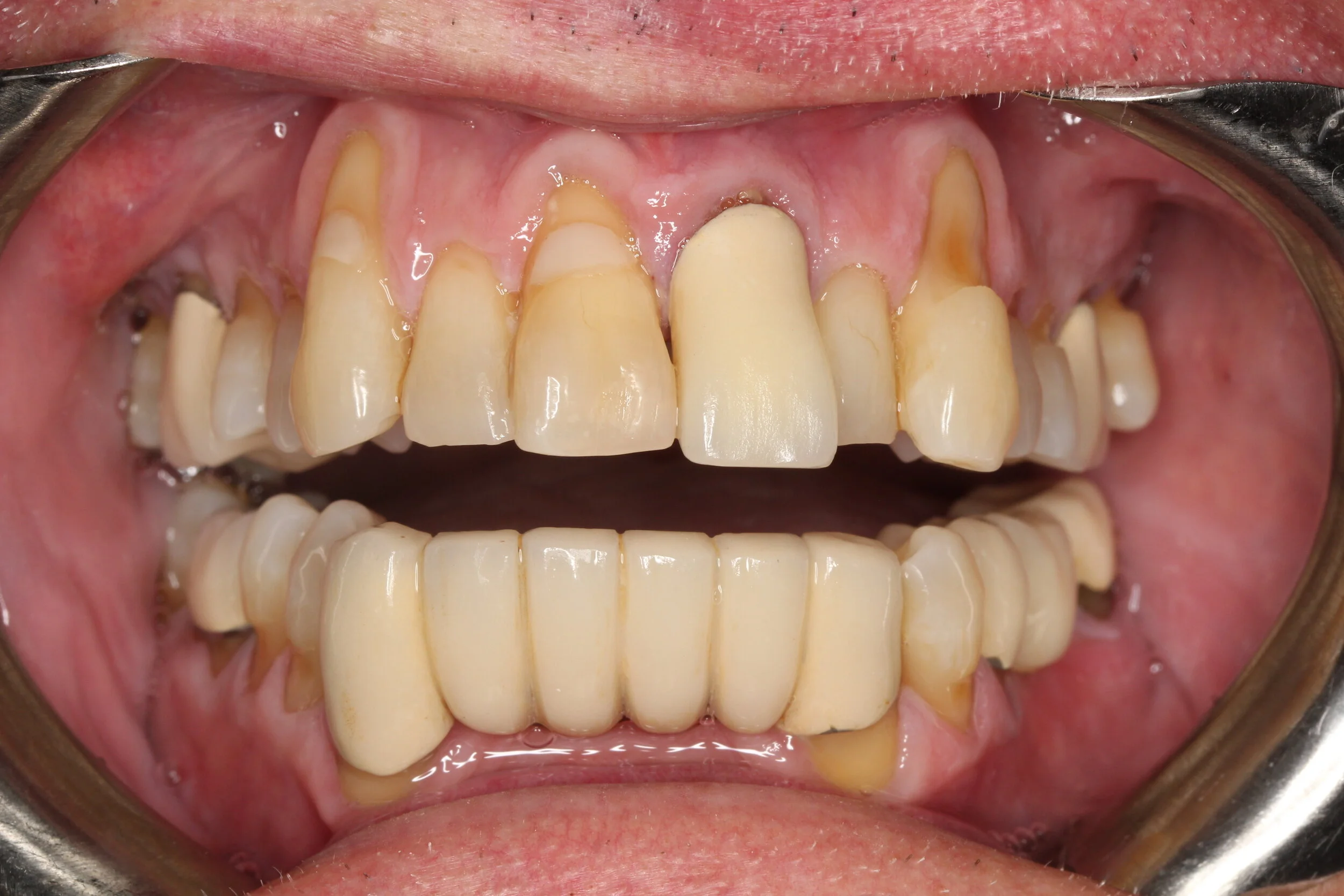
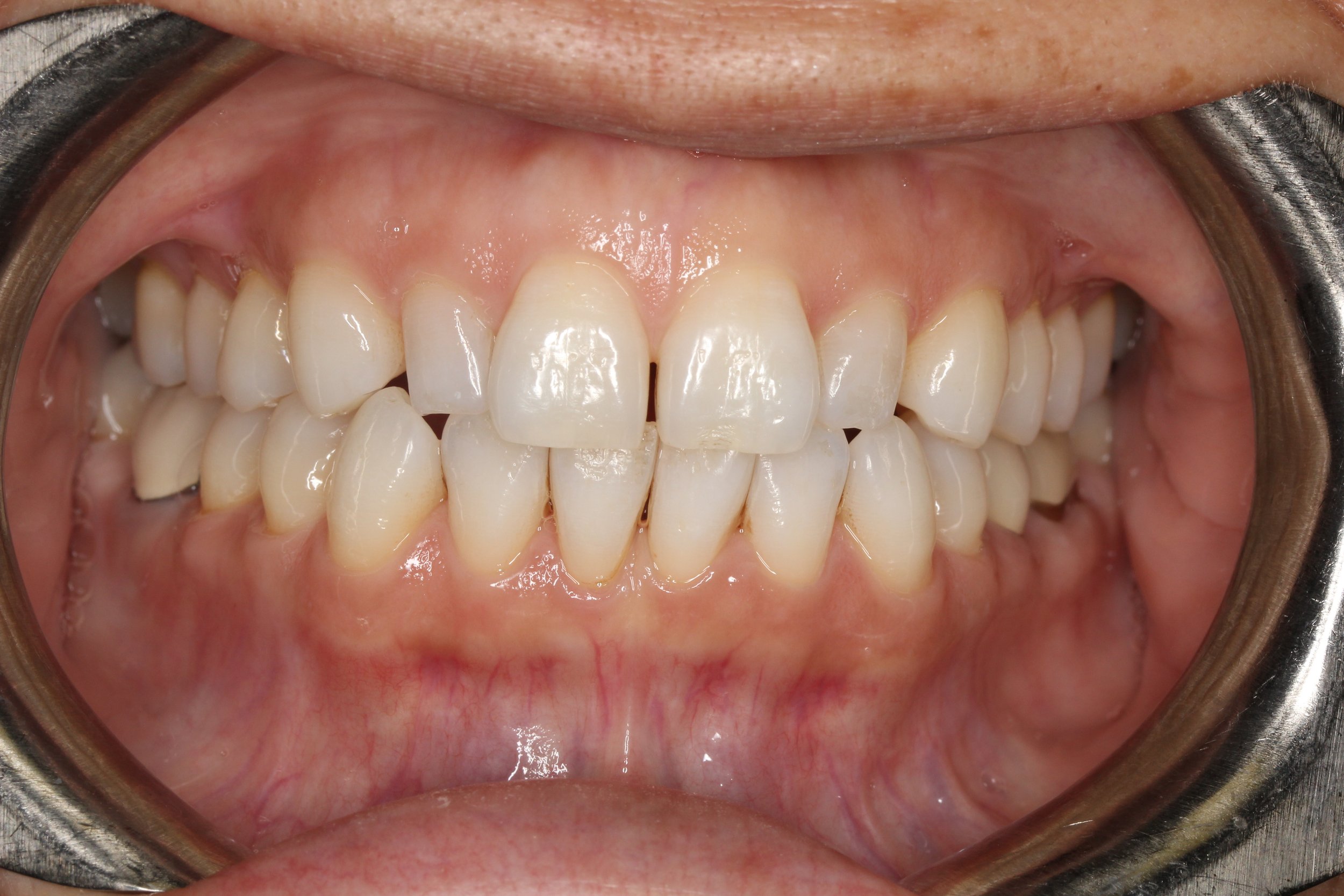
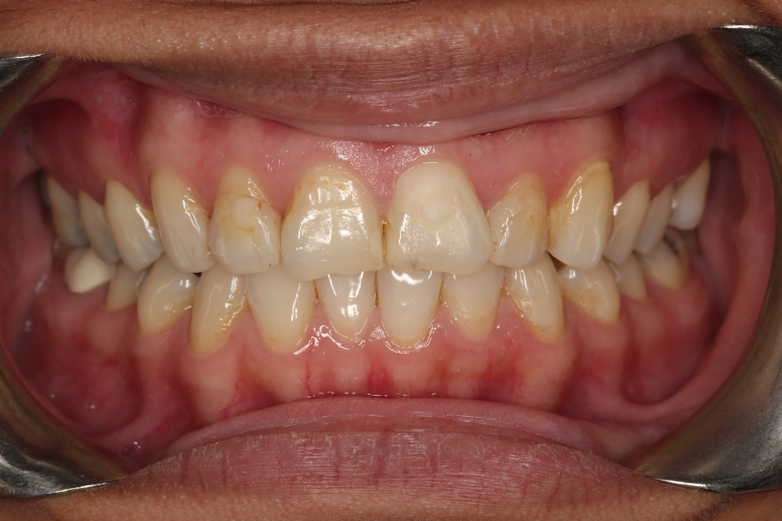
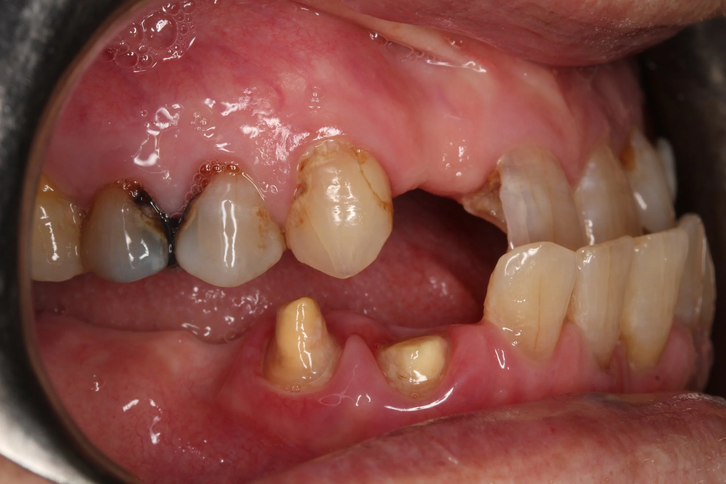
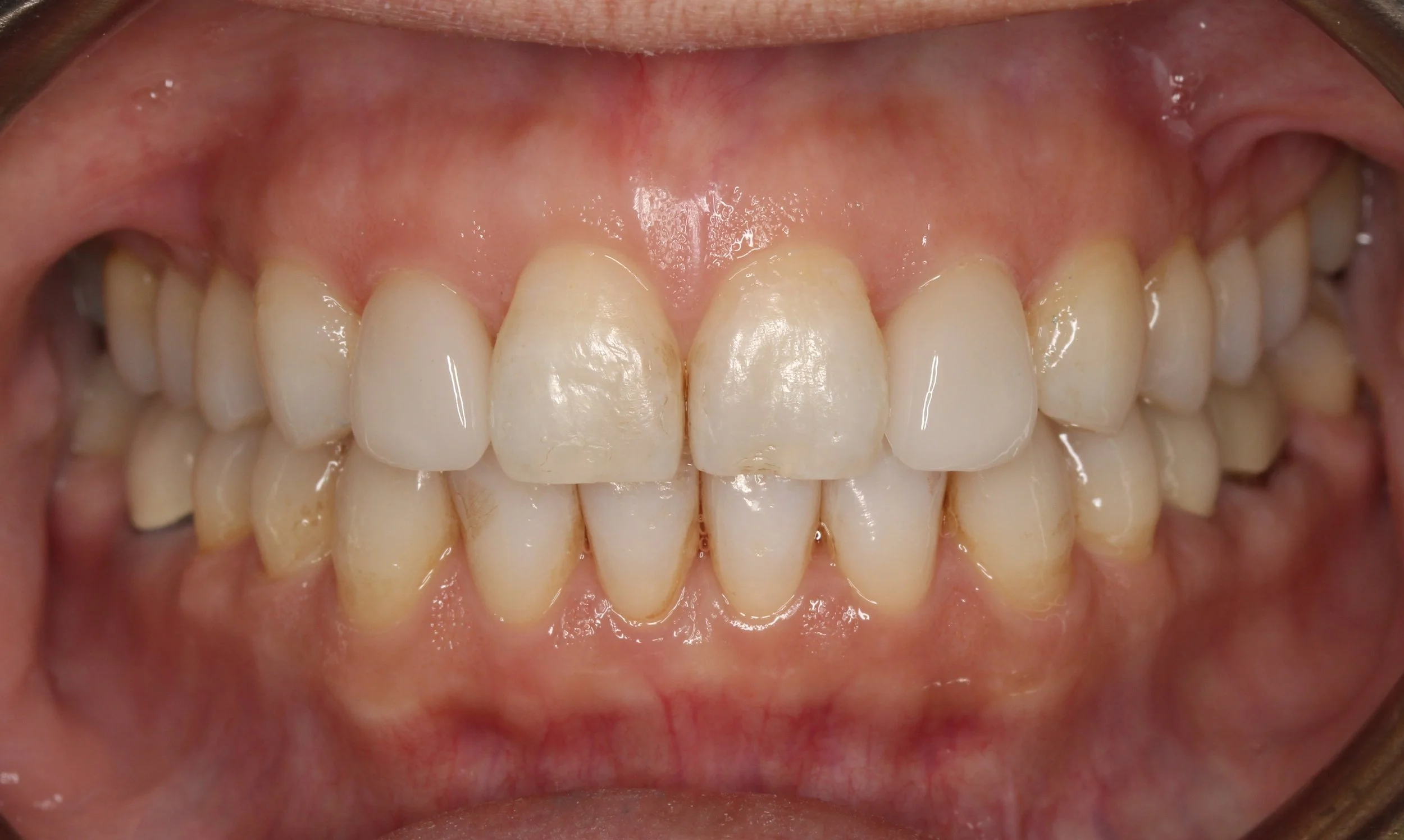
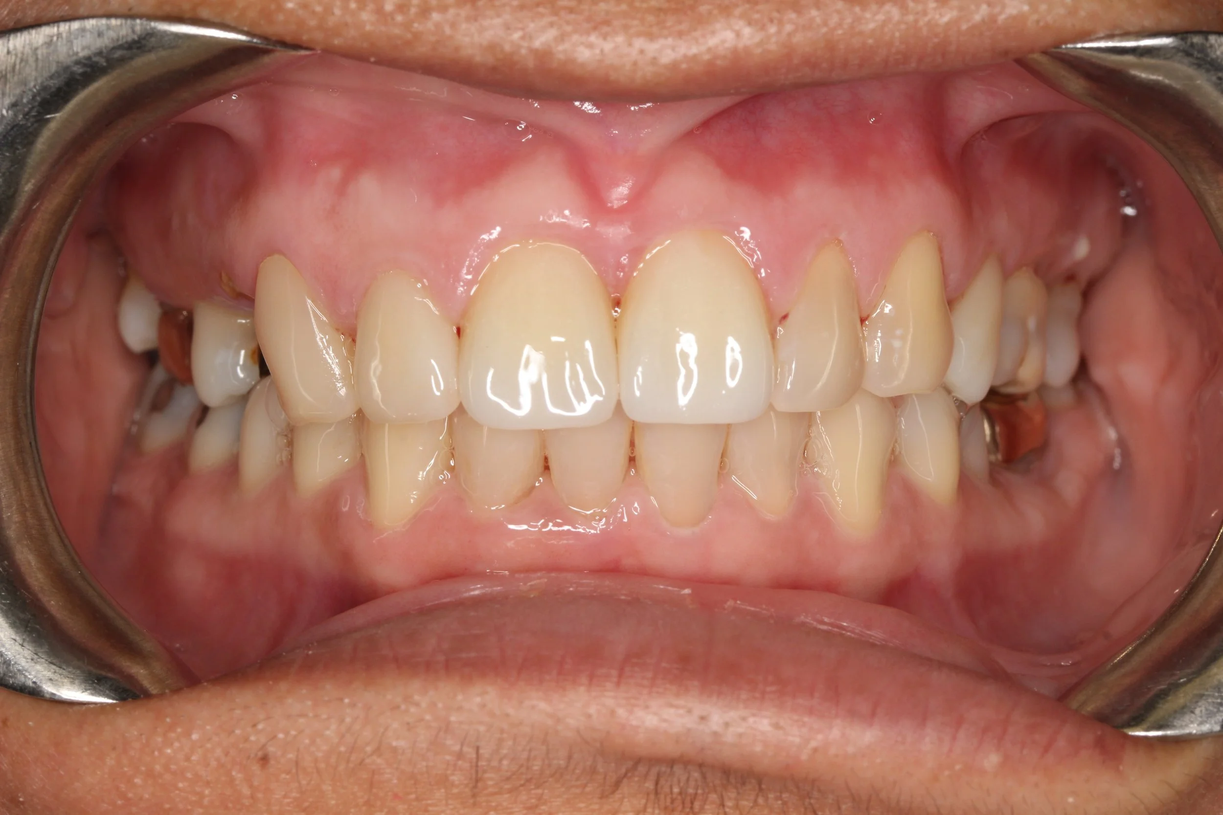
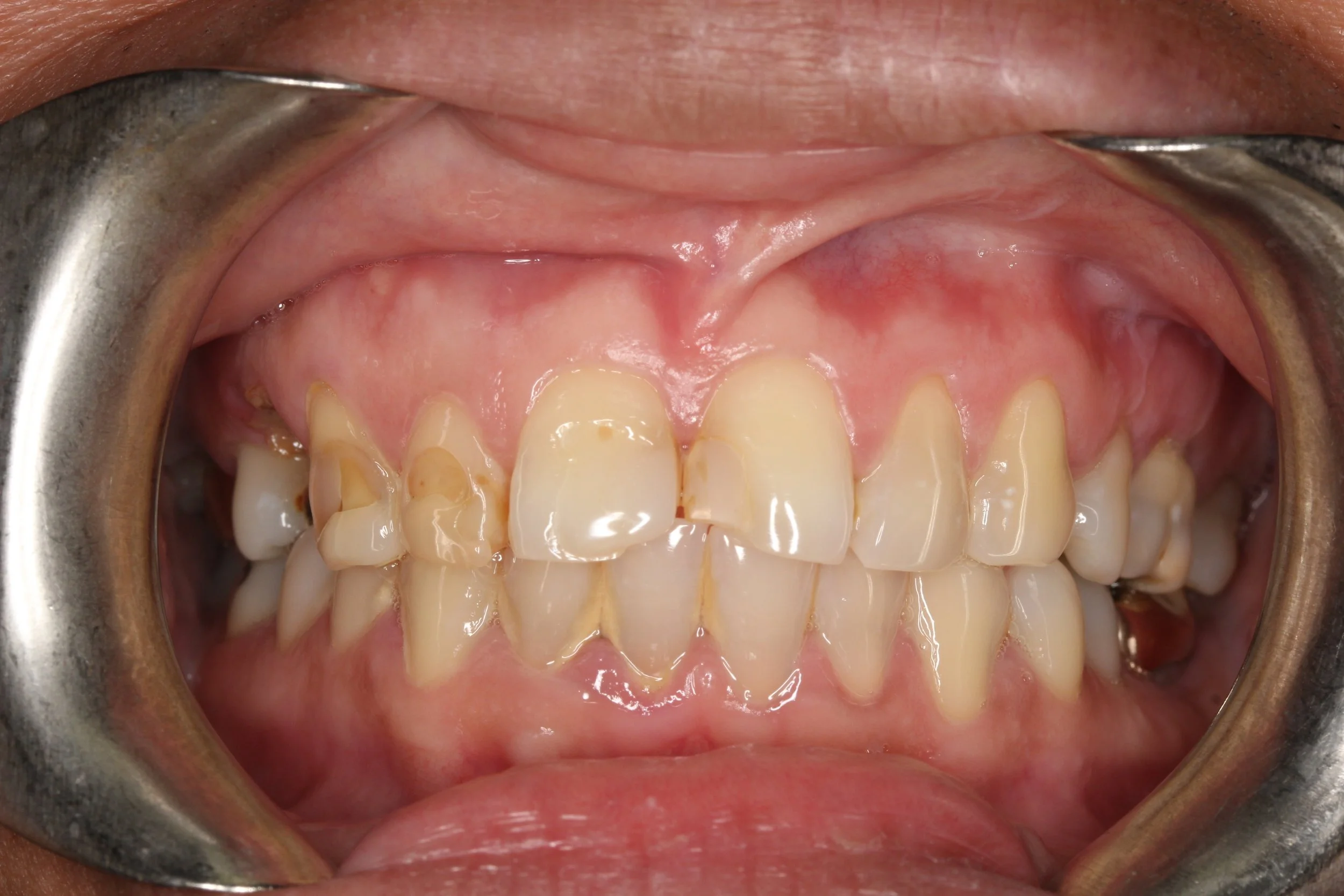
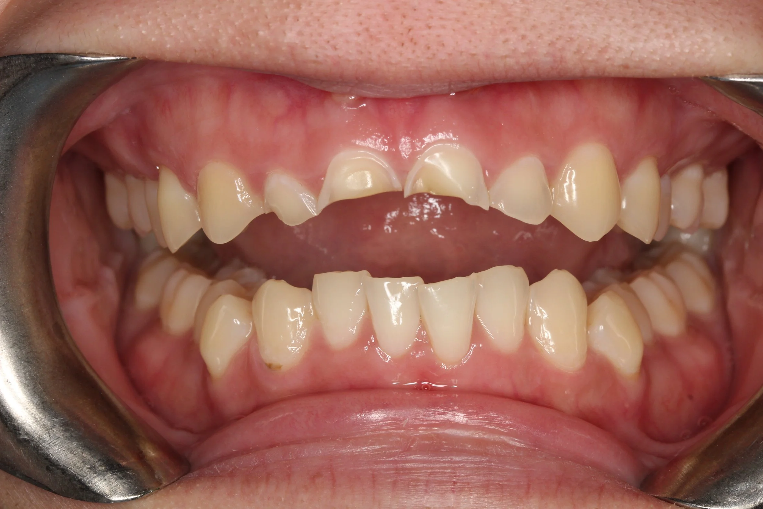
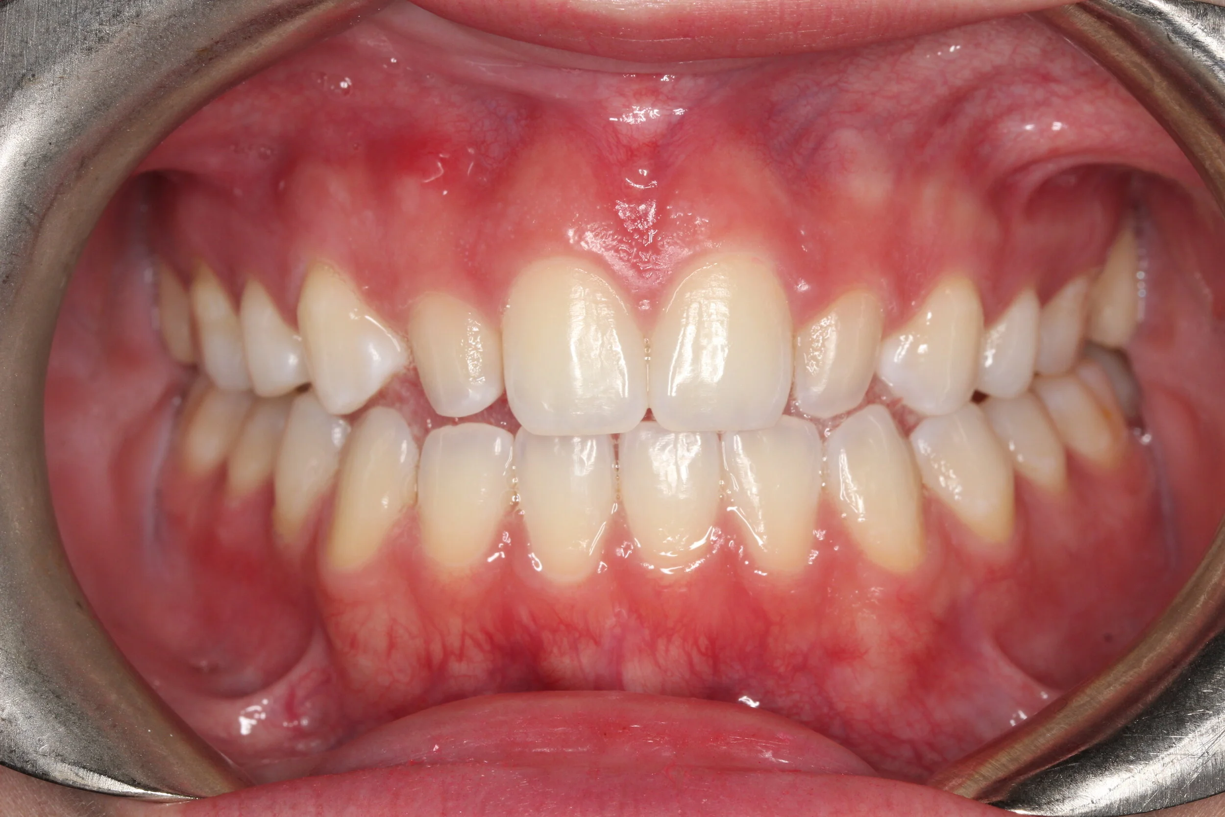
Upper Front Crowns

Before After

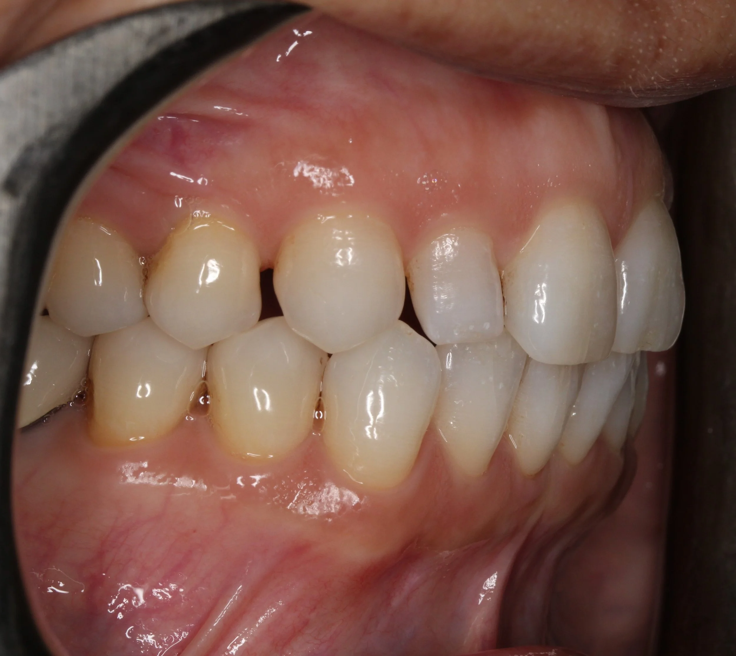
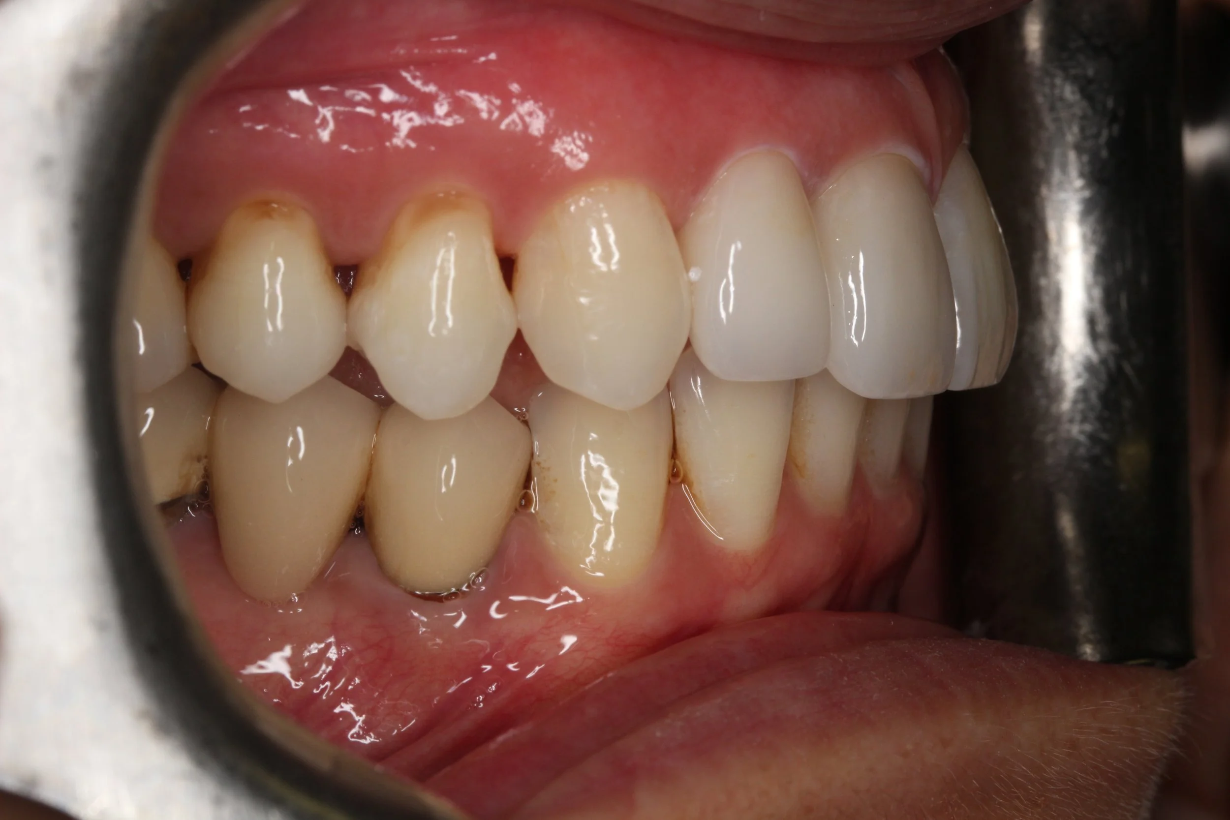
Upper Front Crowns

Before After

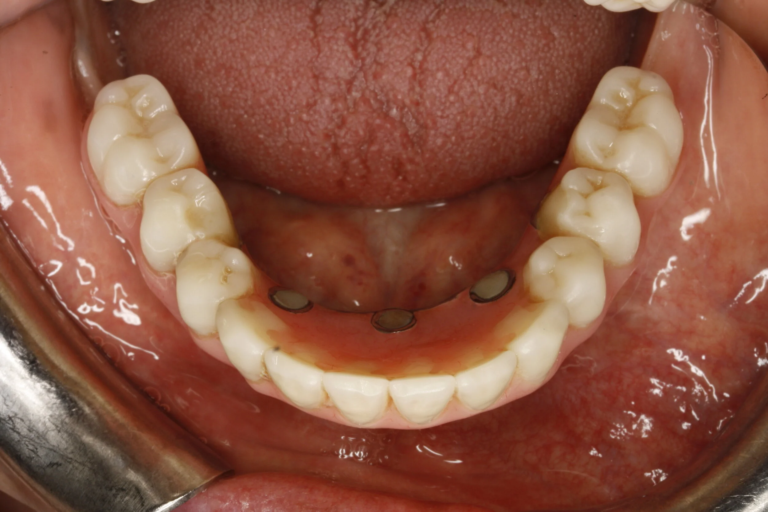
Upper Implant Supported Crowns & Bridge & Lower Implant Supported Denture

Before After

Upper Front Crowns

Before After

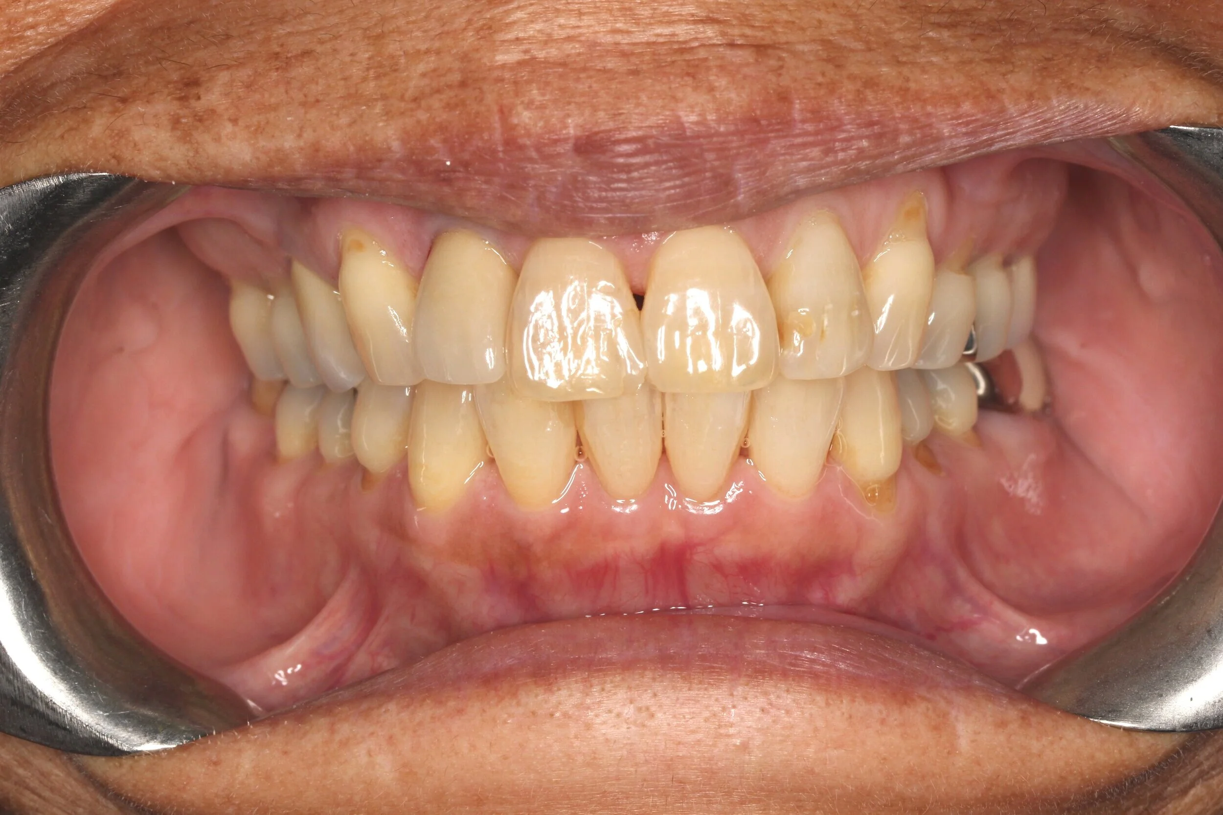
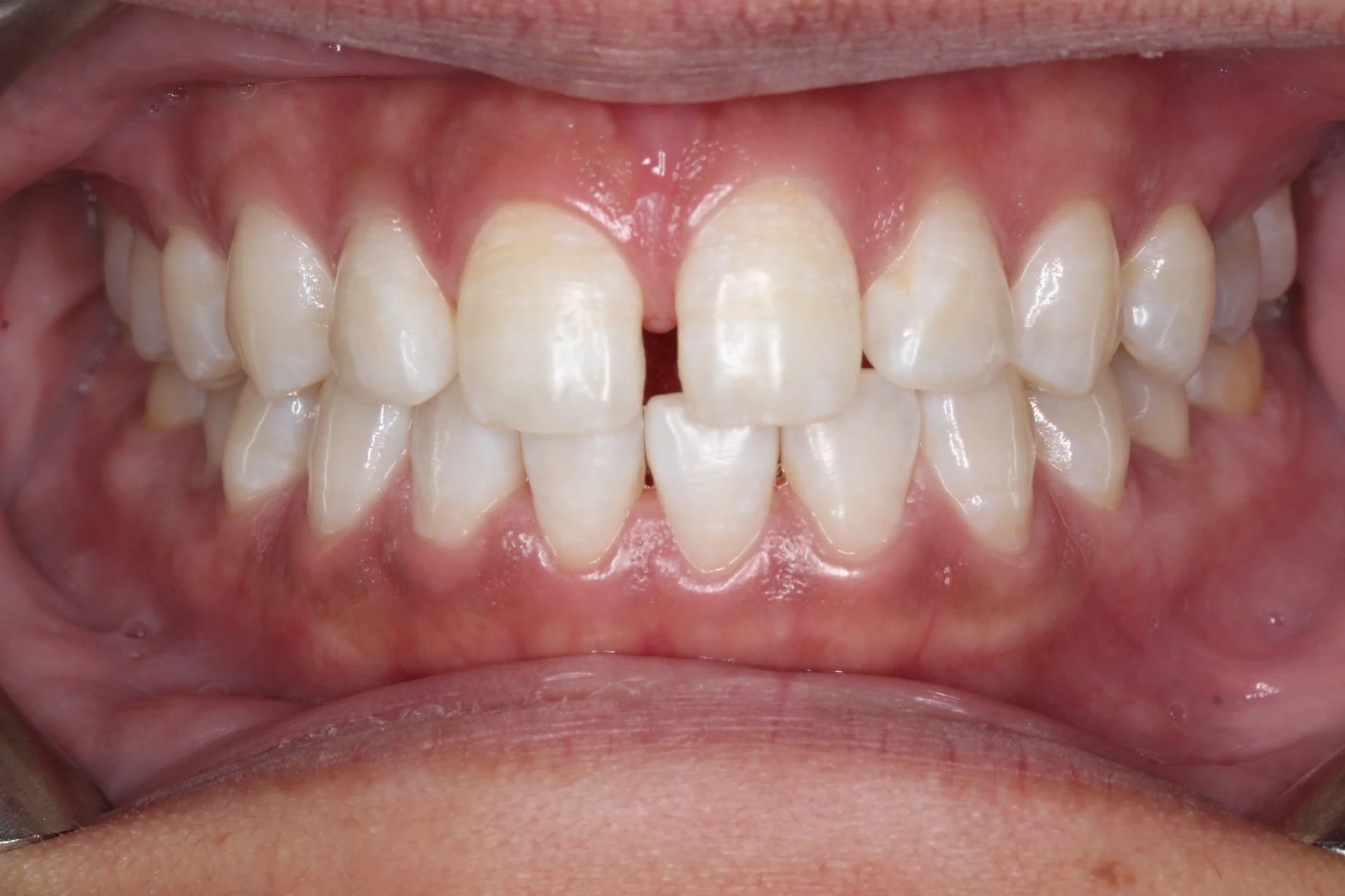
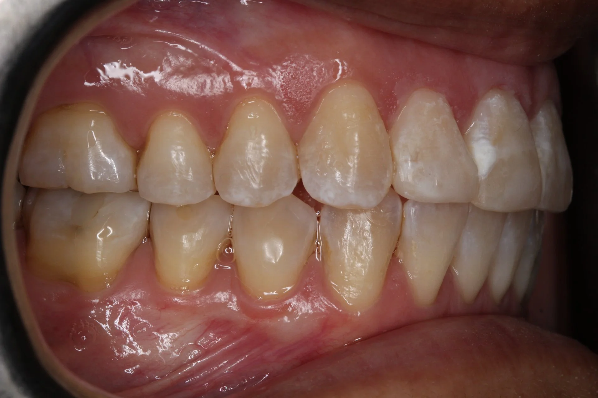
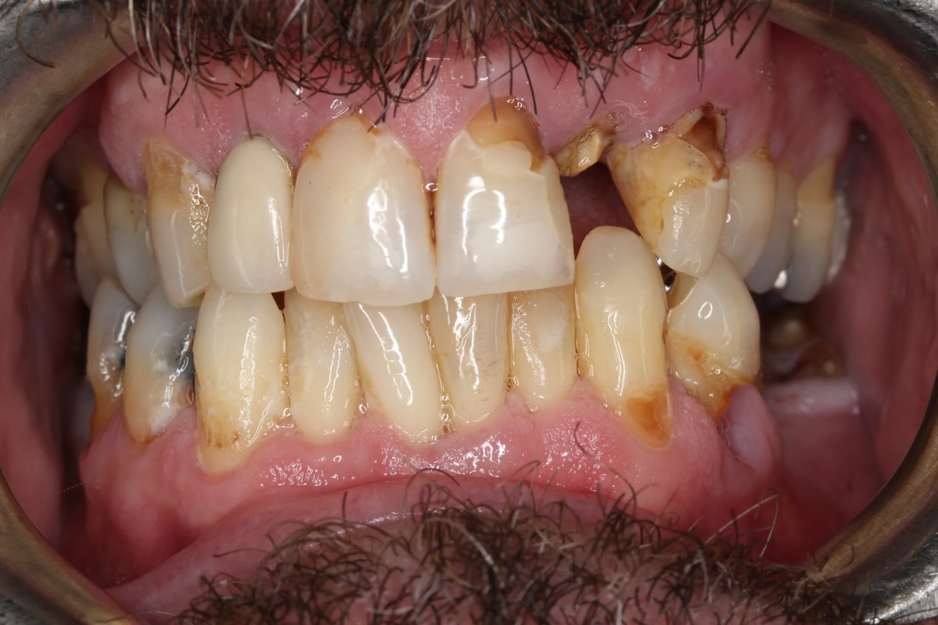
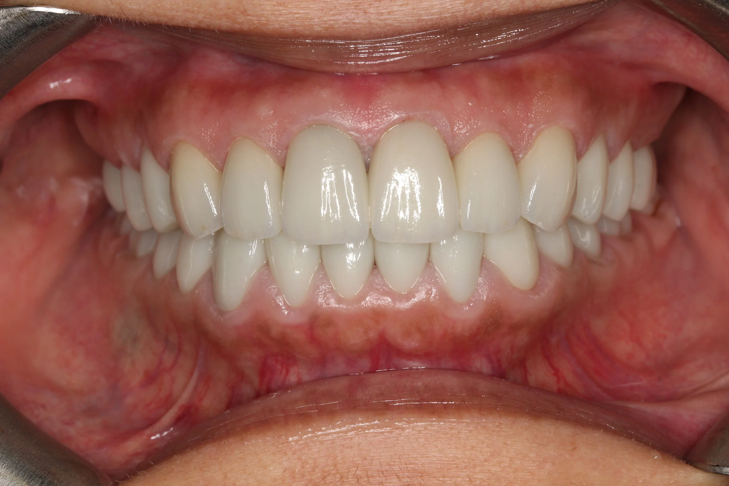
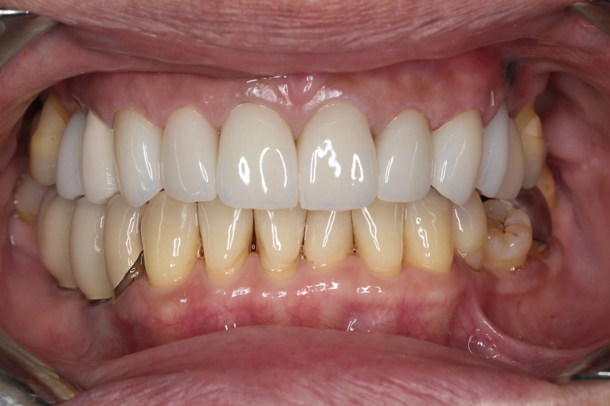
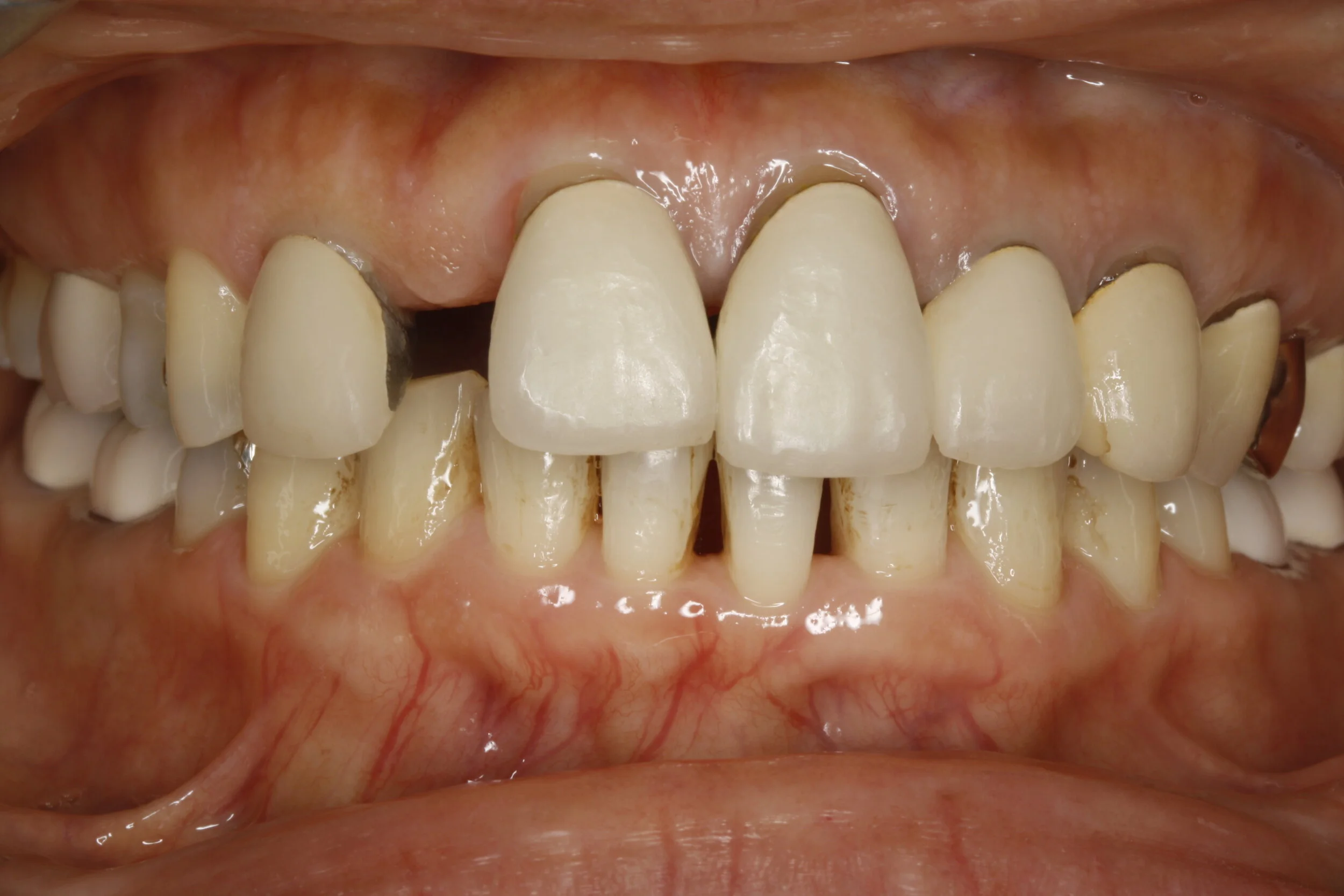
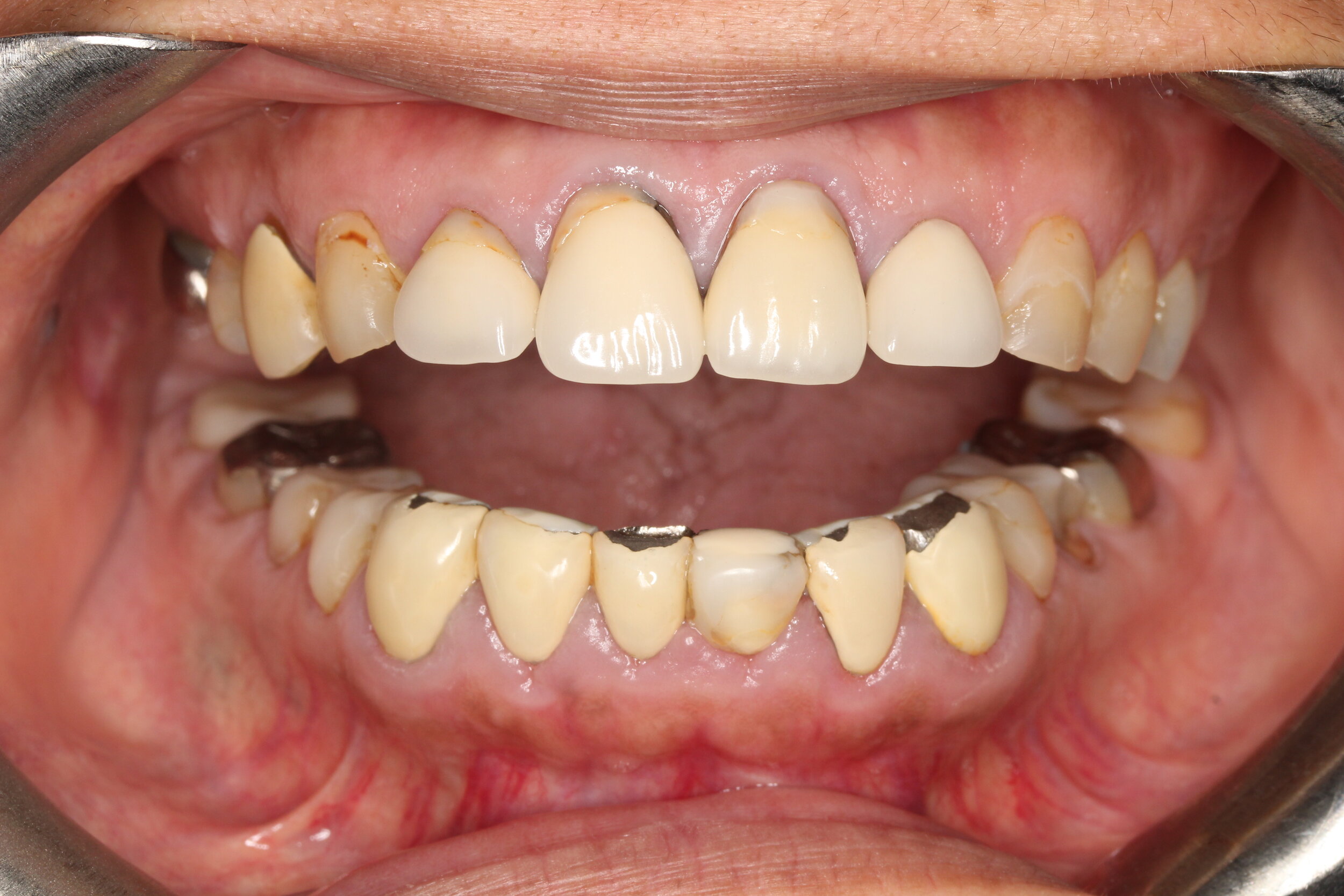
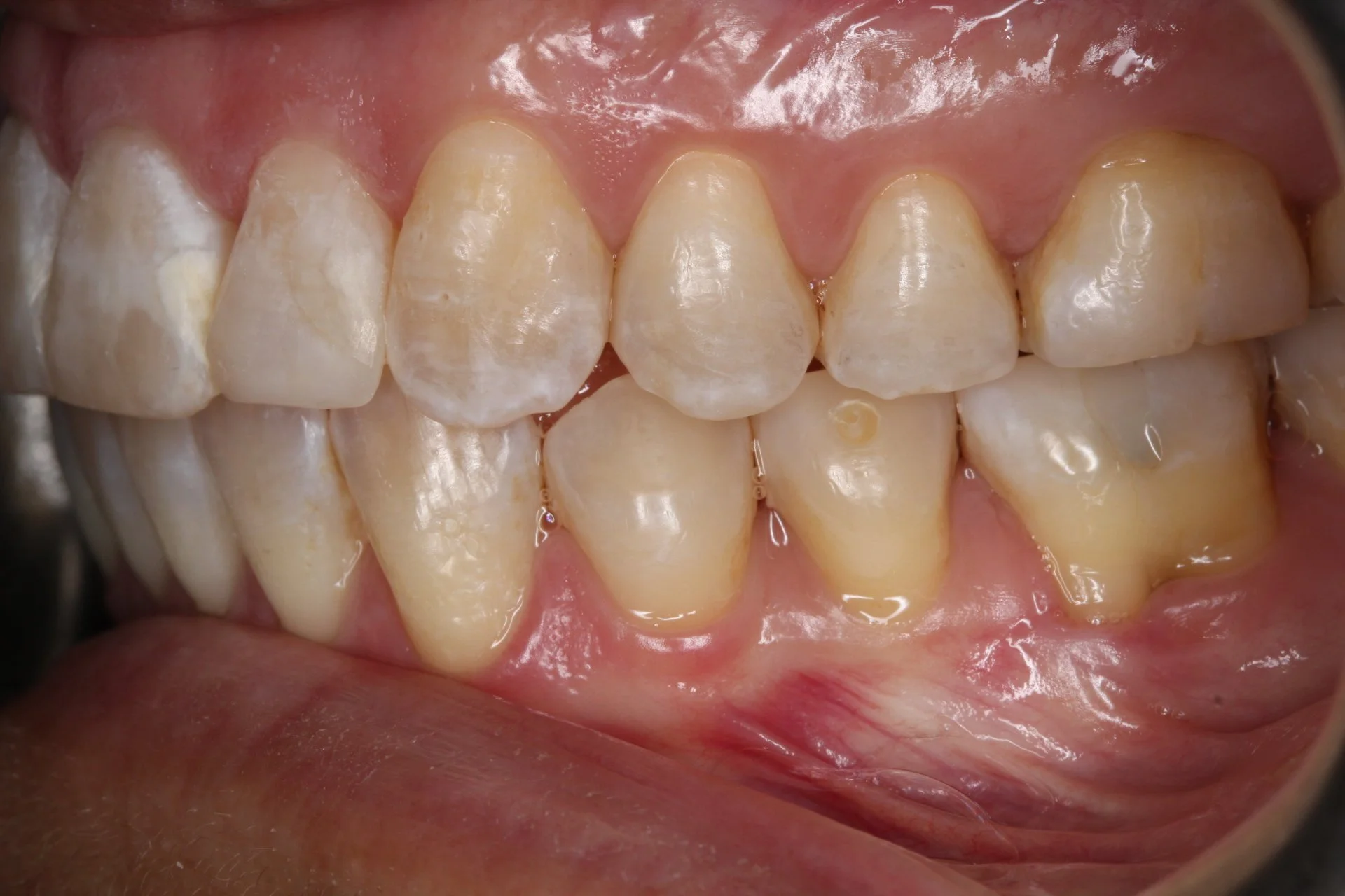
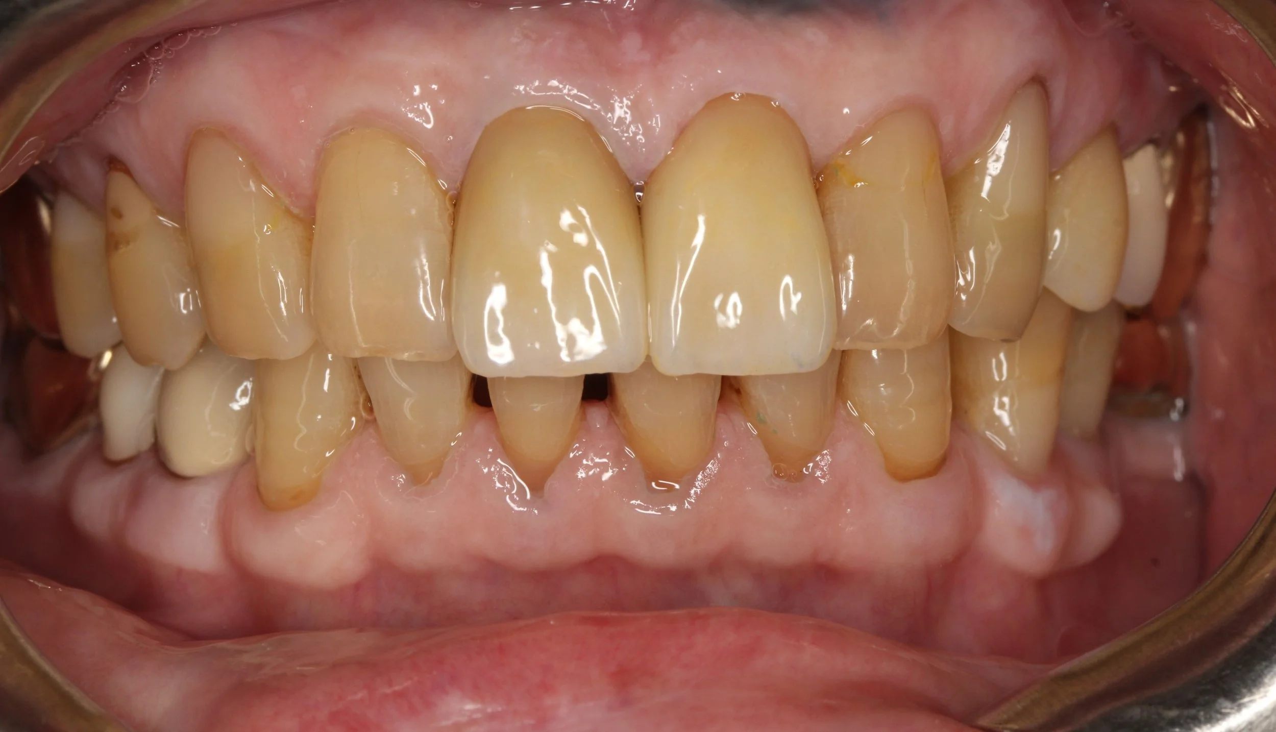
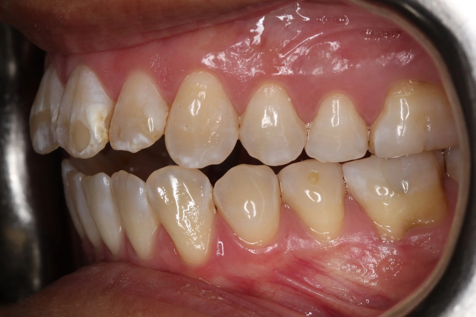
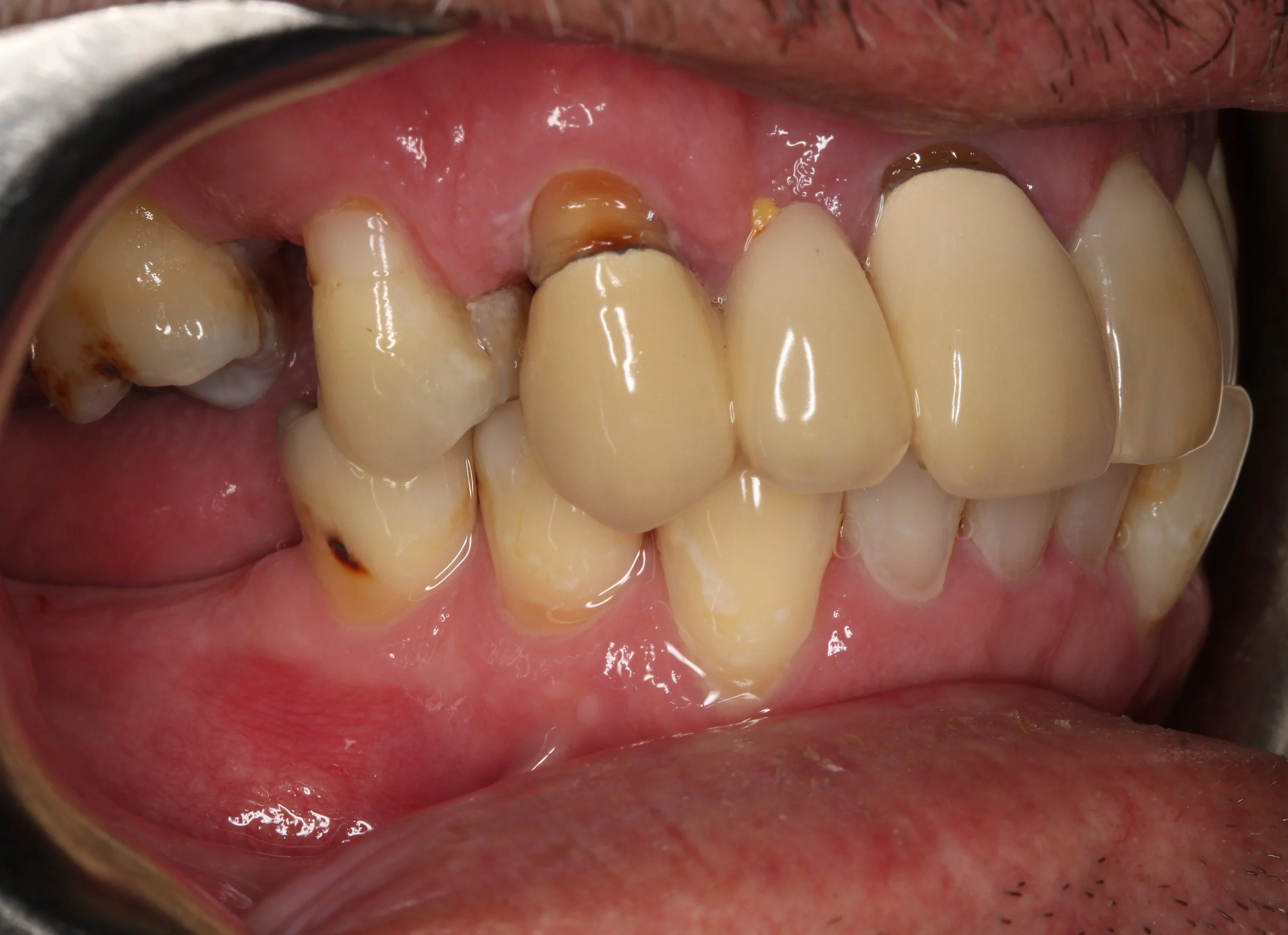
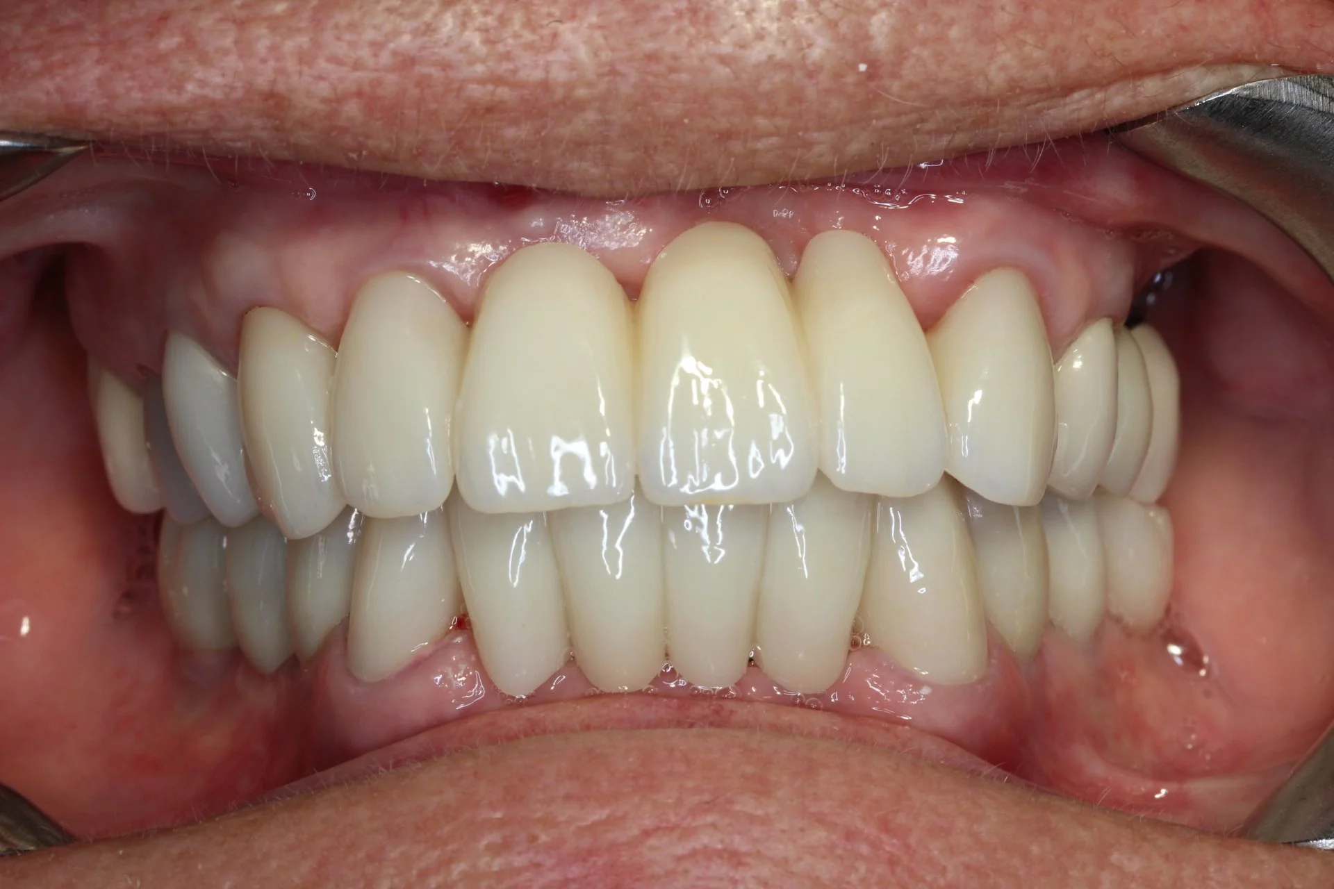
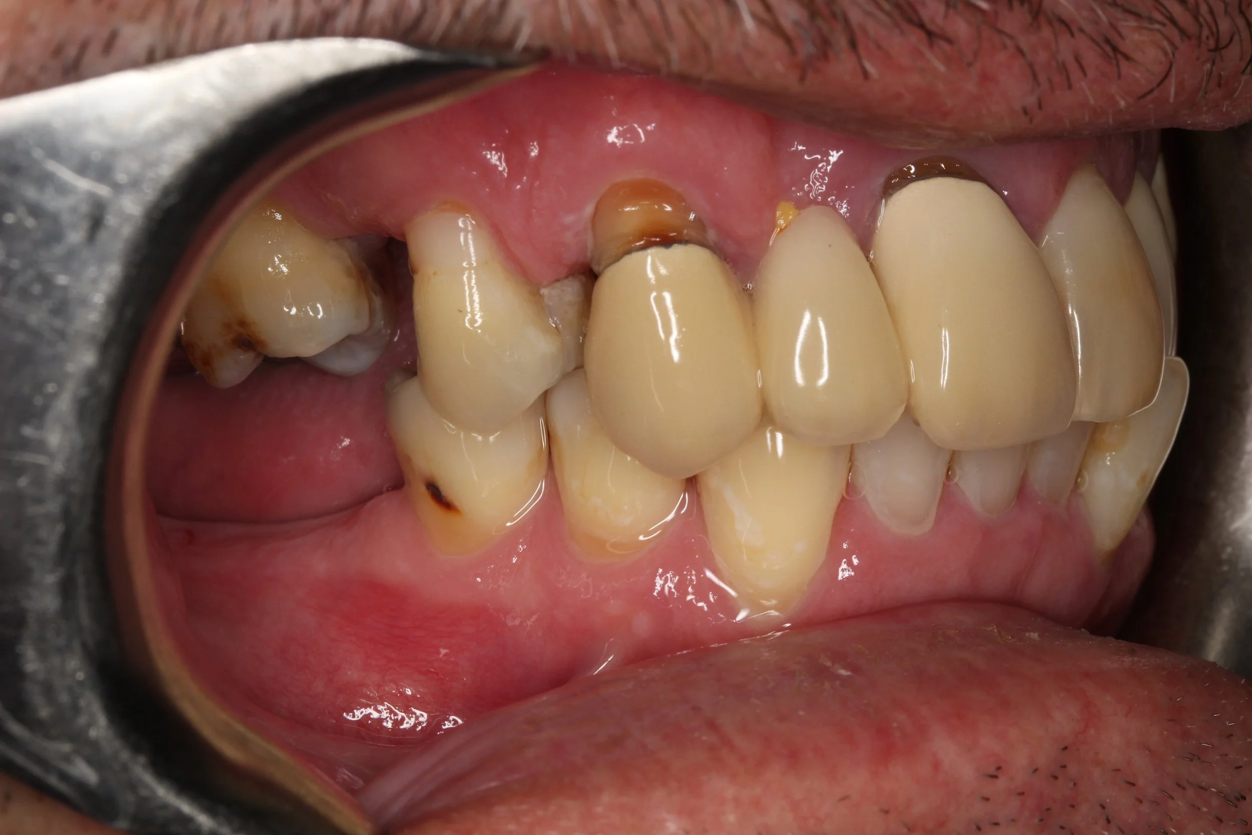
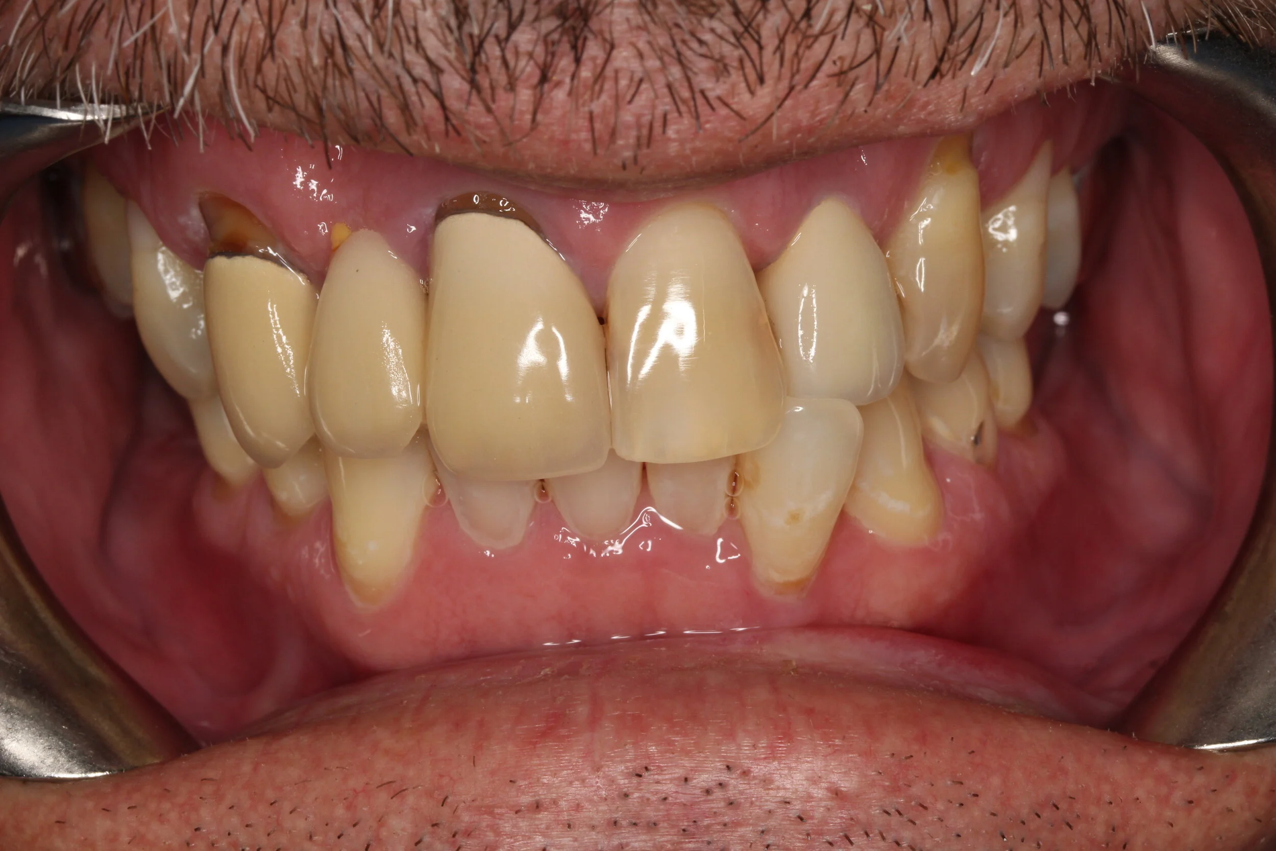
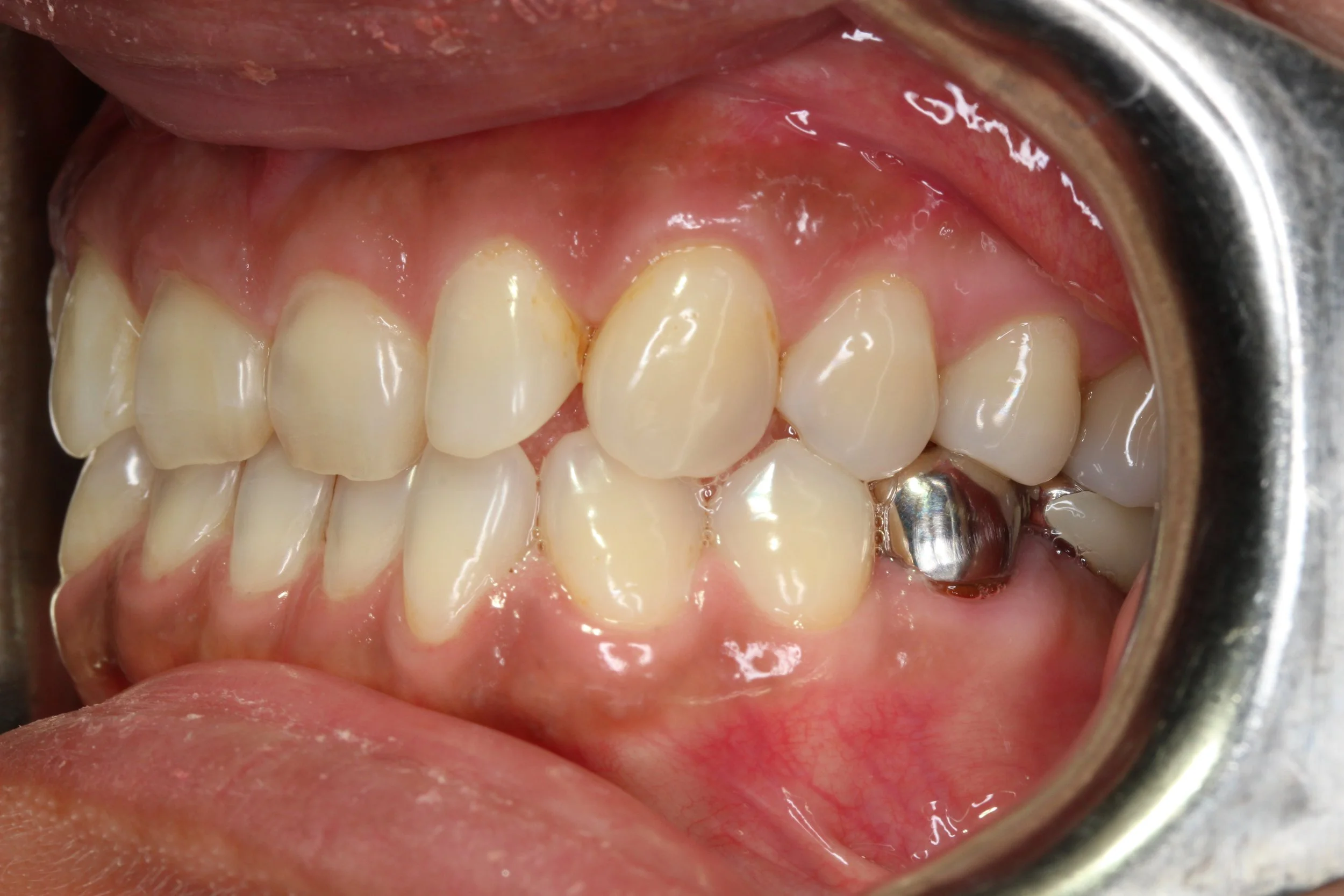
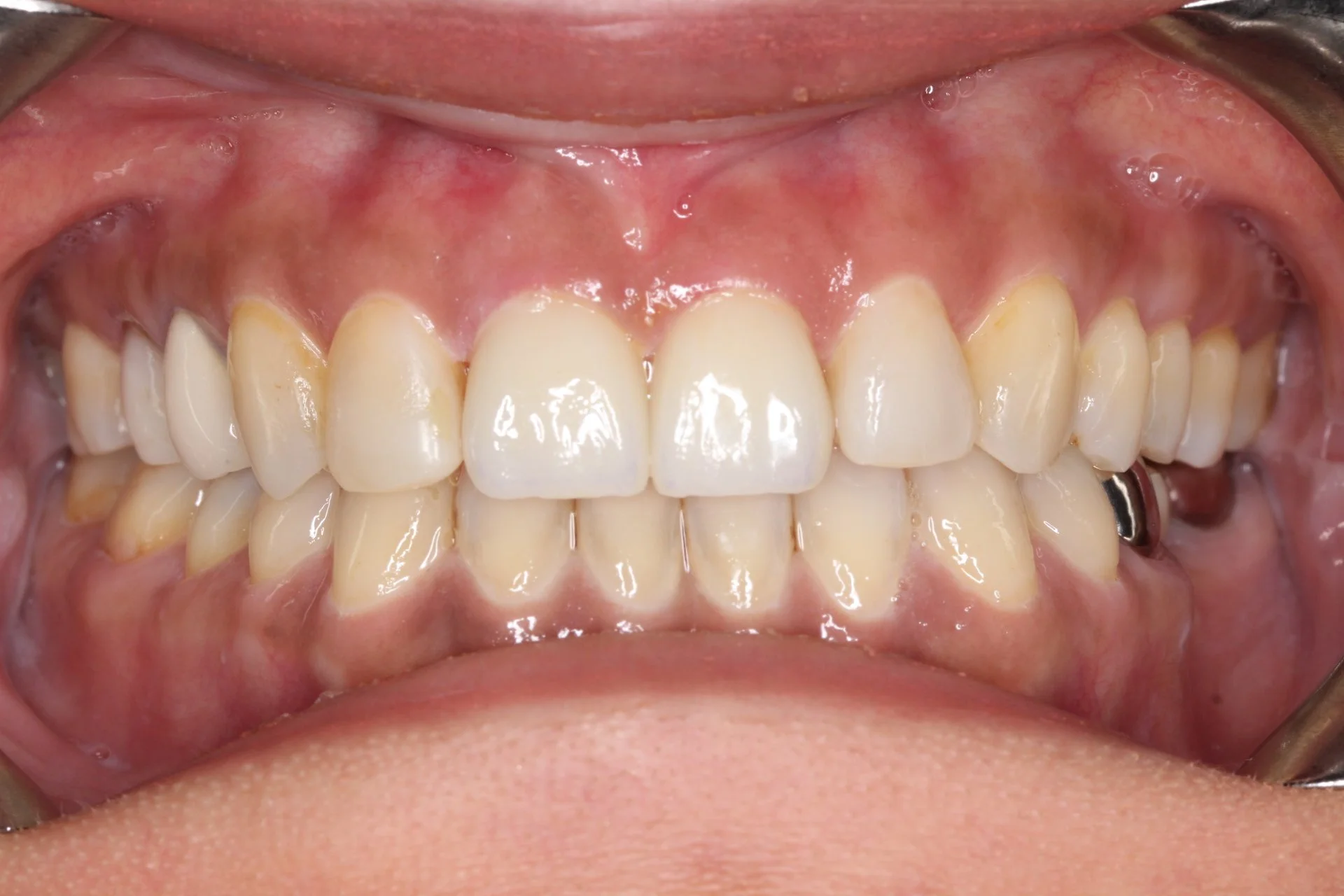
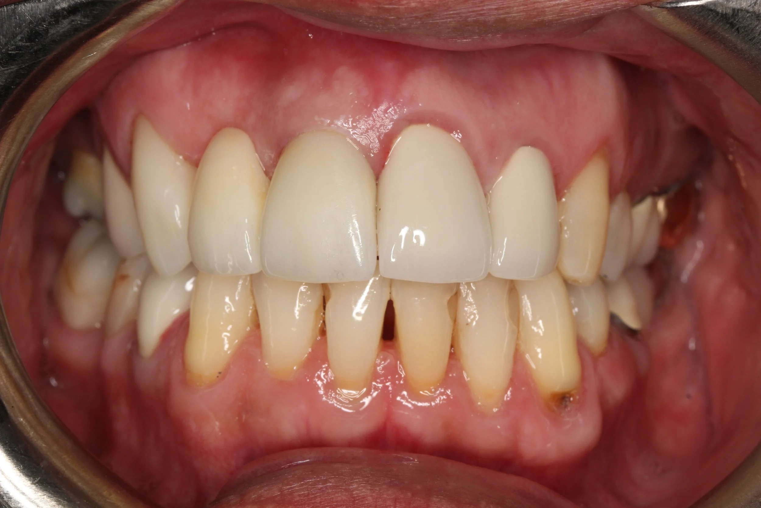
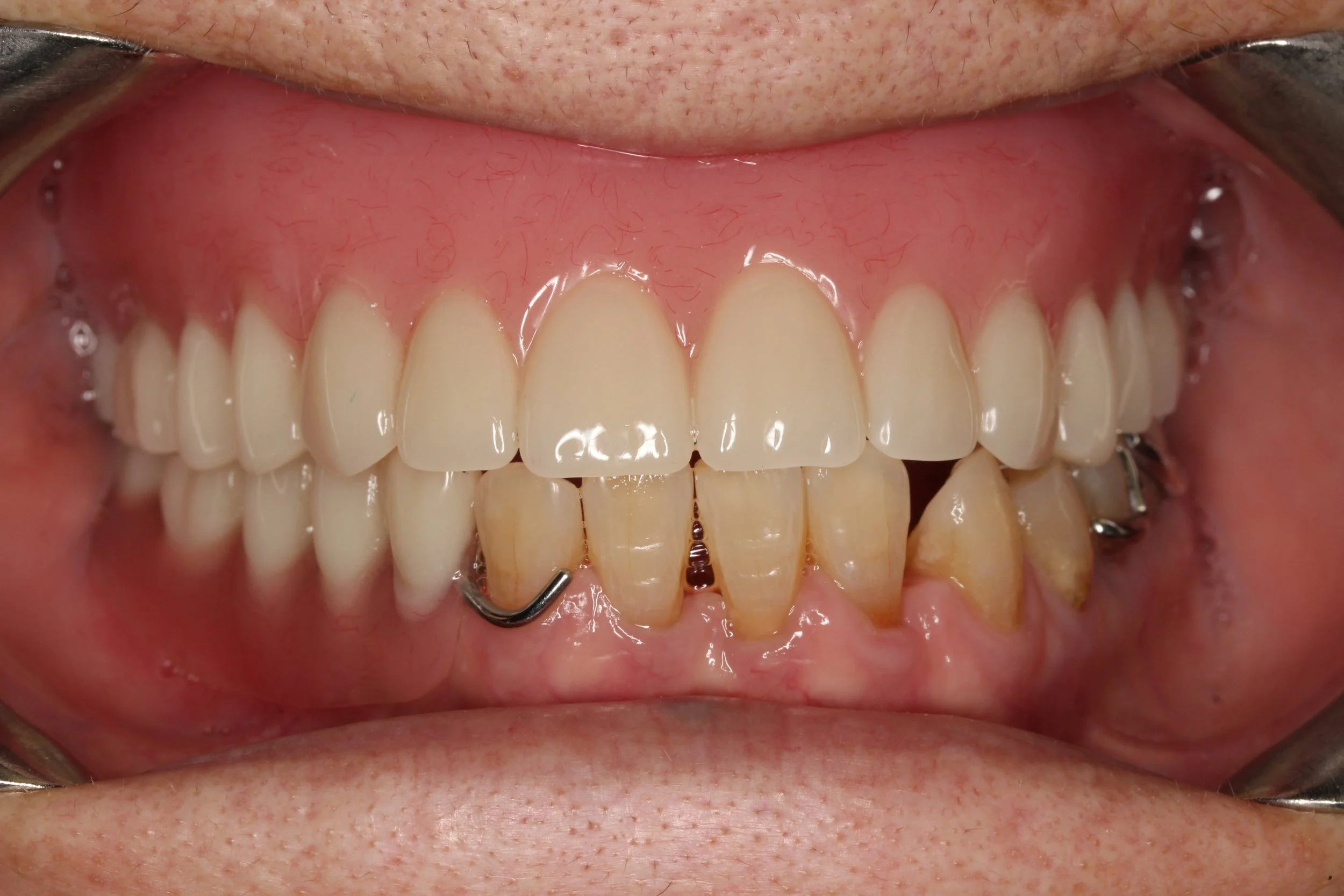
Upper Front Crowns & Gum Disease Treatment

Before After

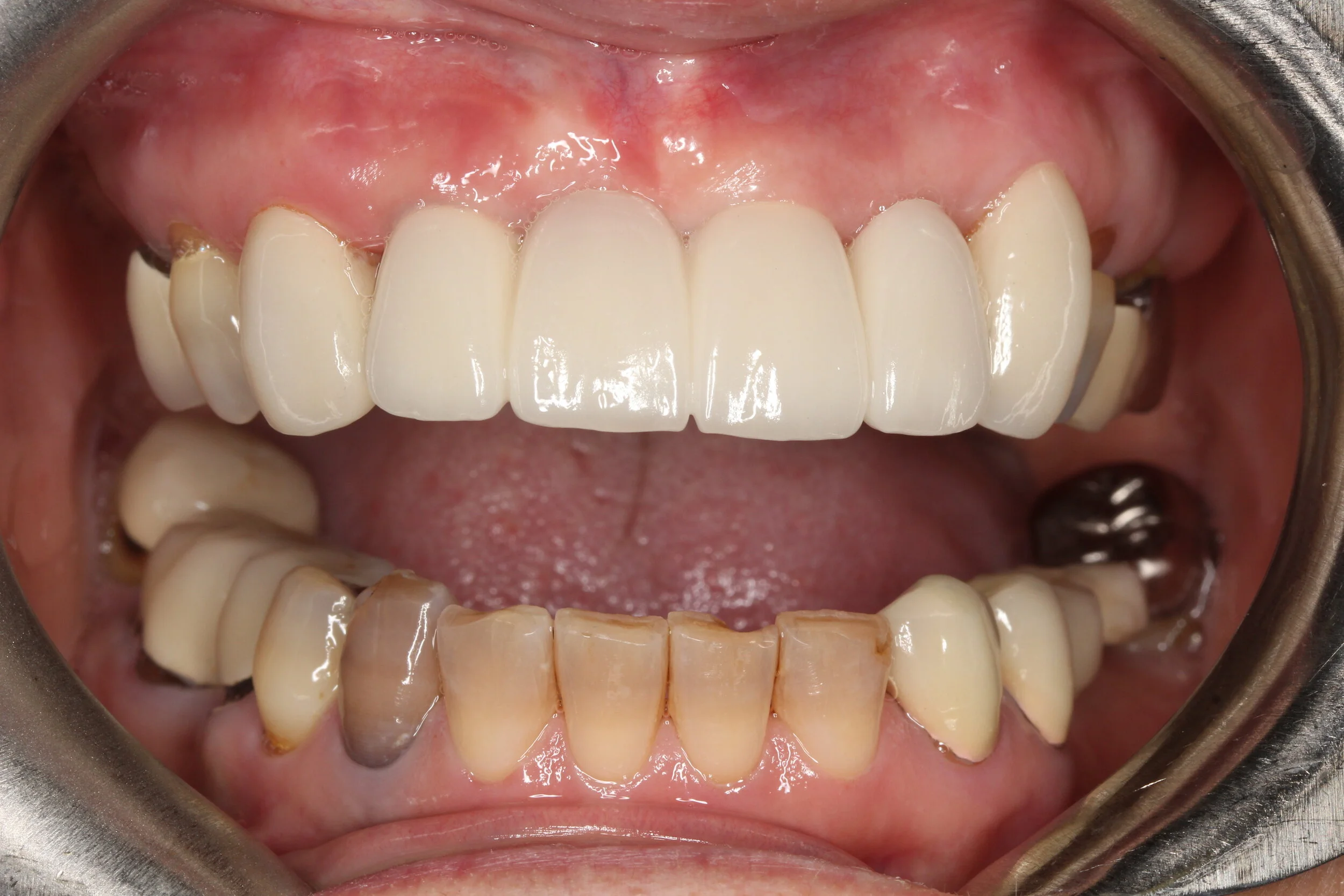
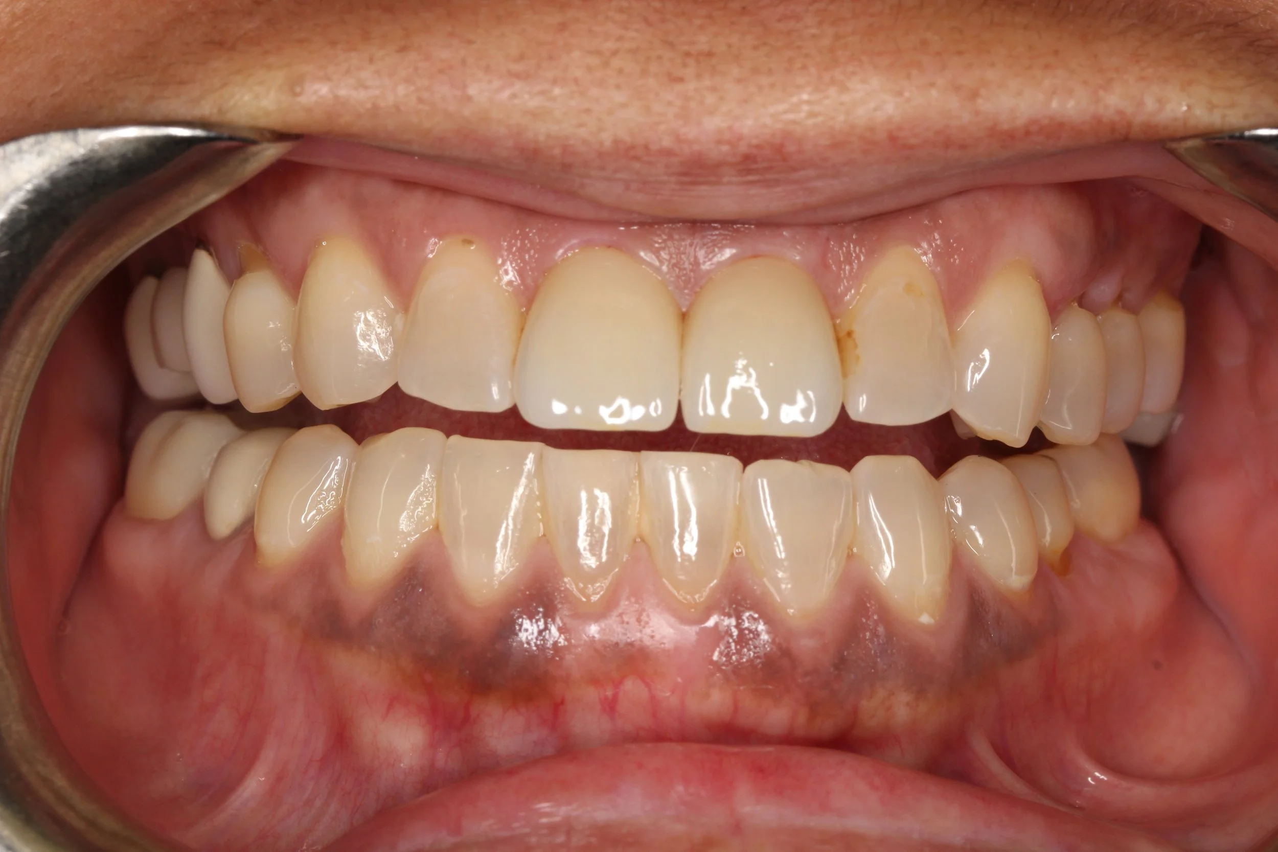
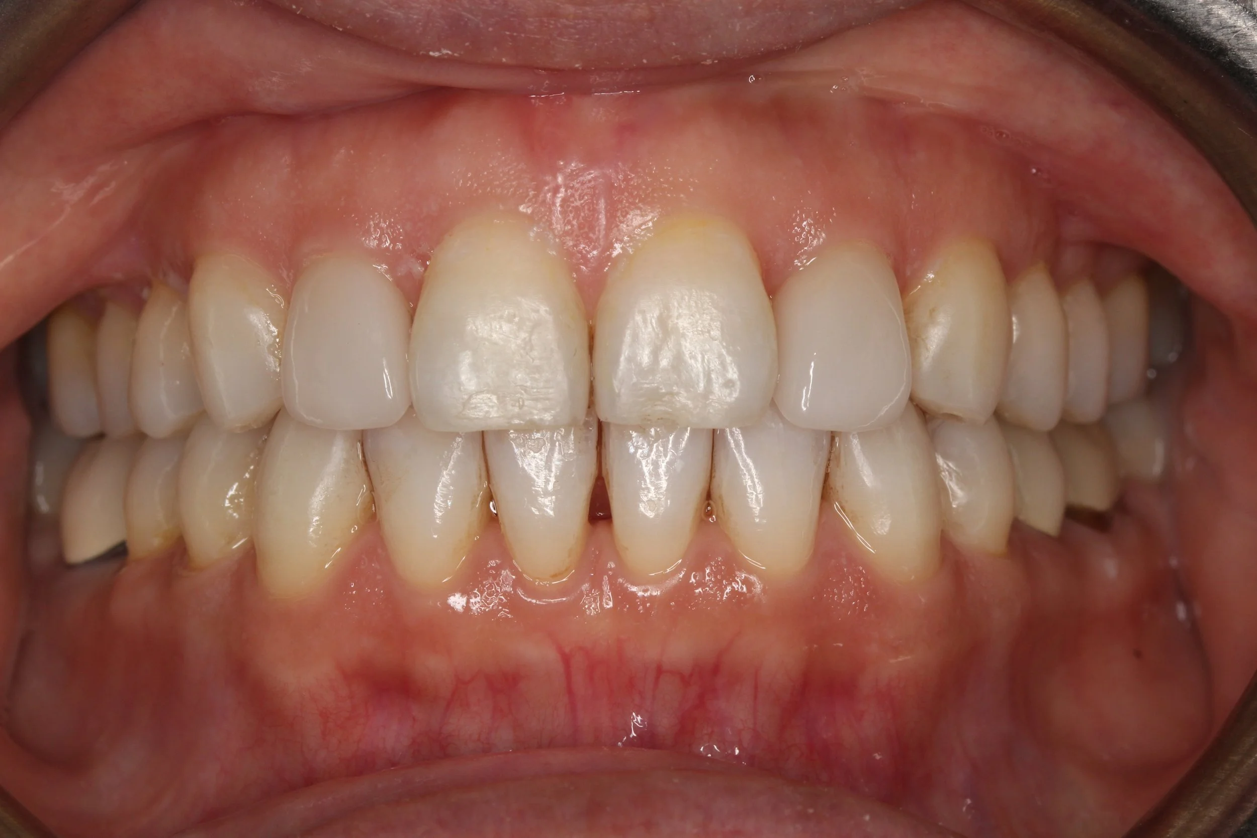
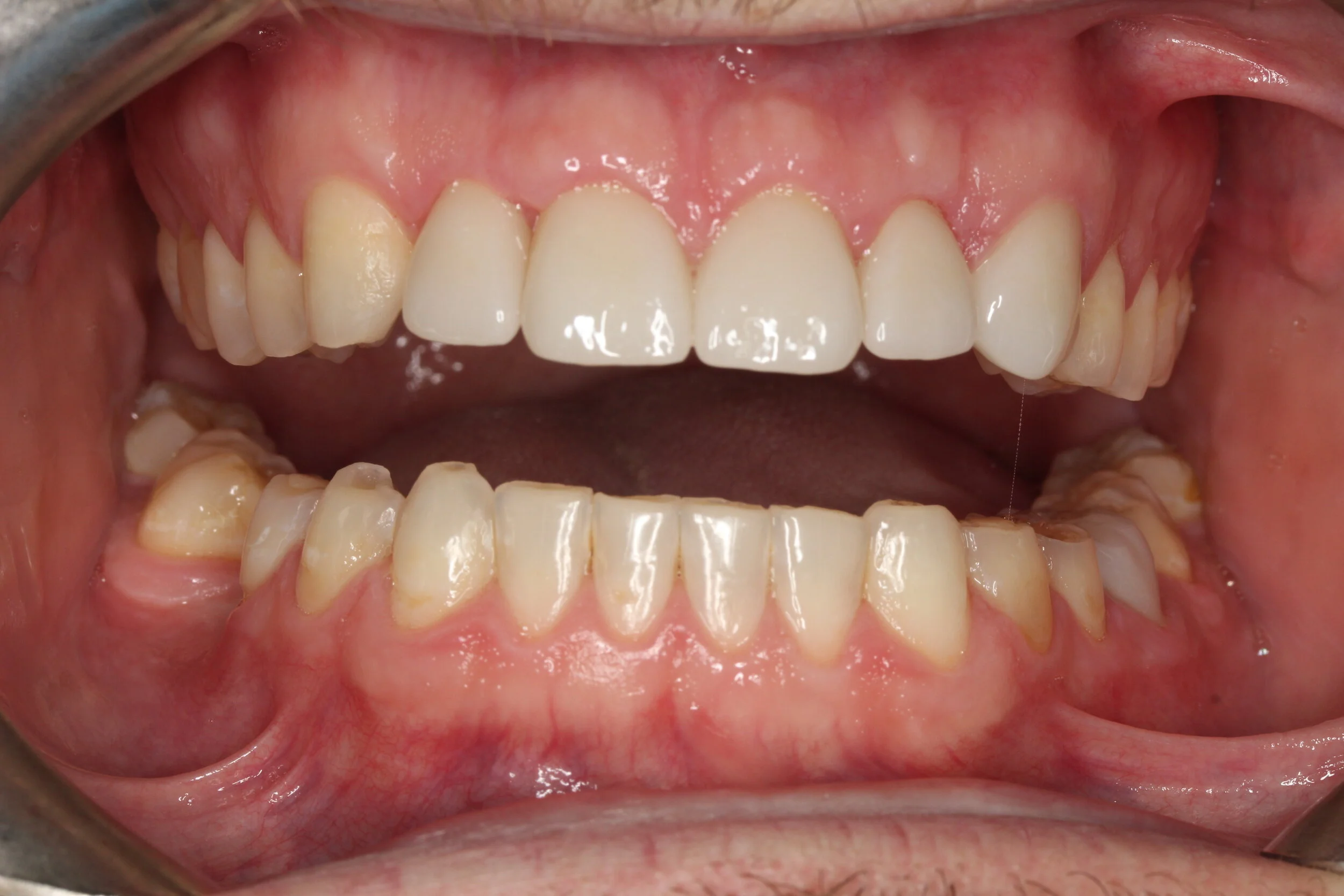
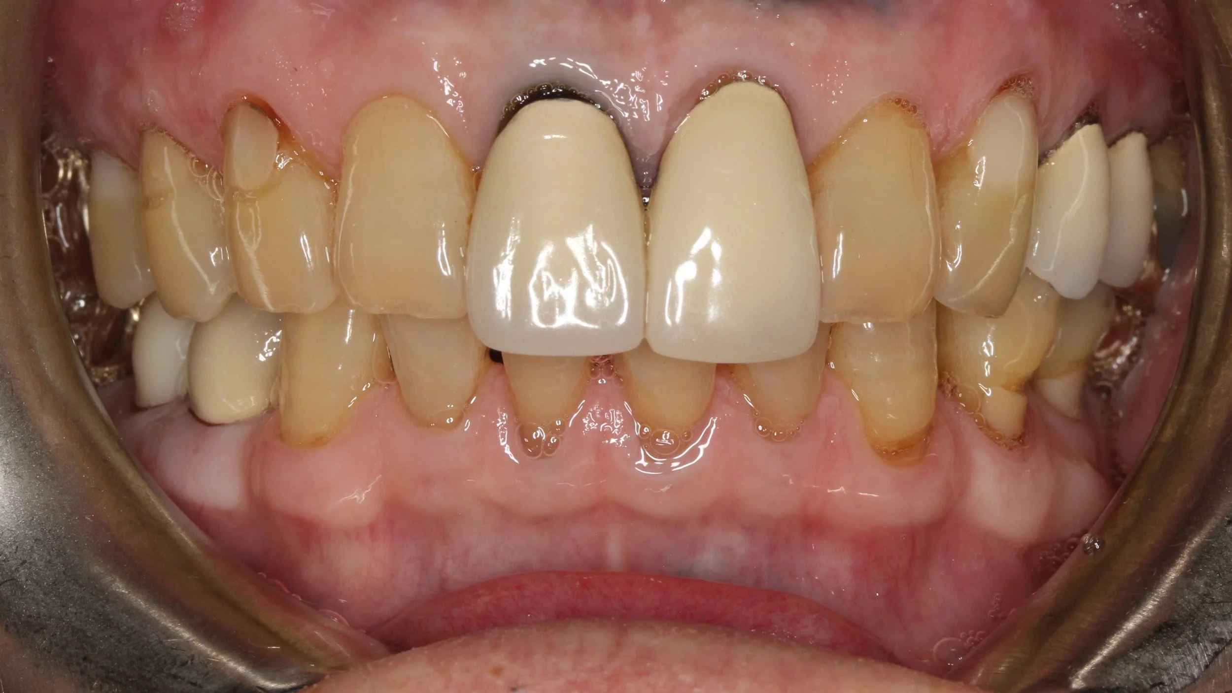
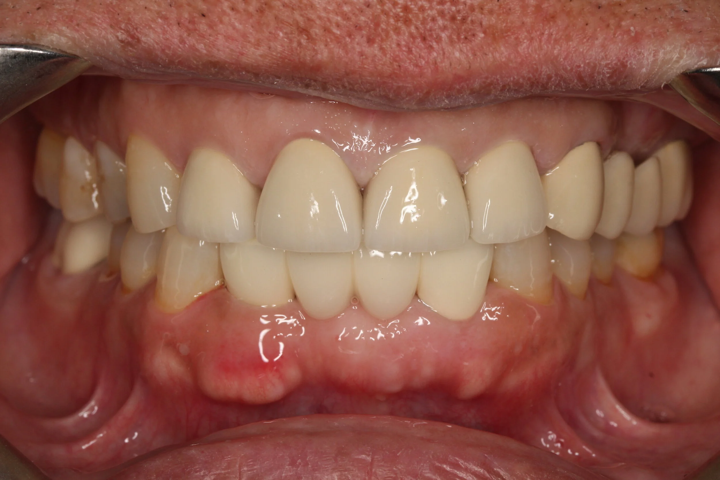
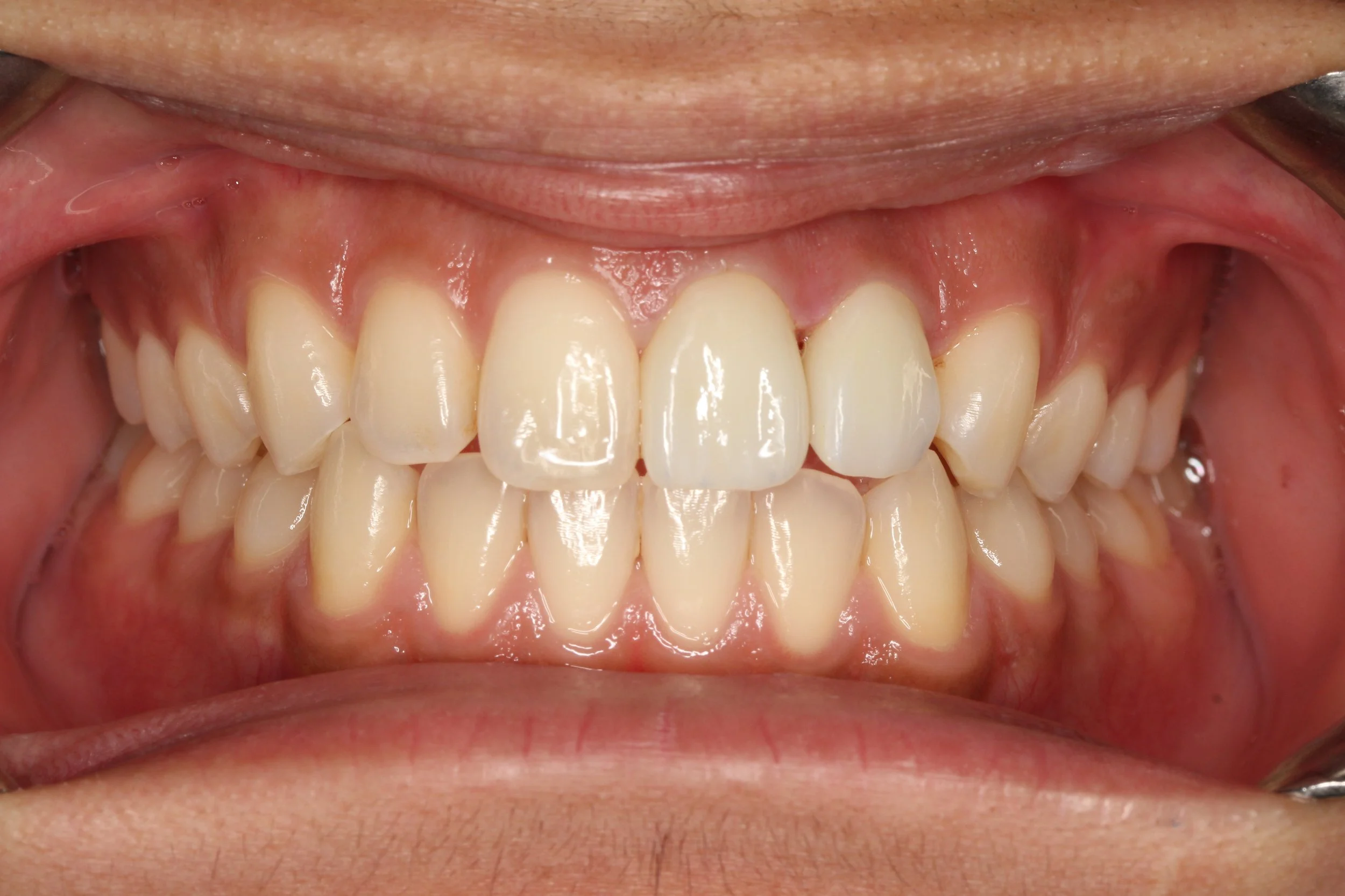
Upper Front Crowns

Before After

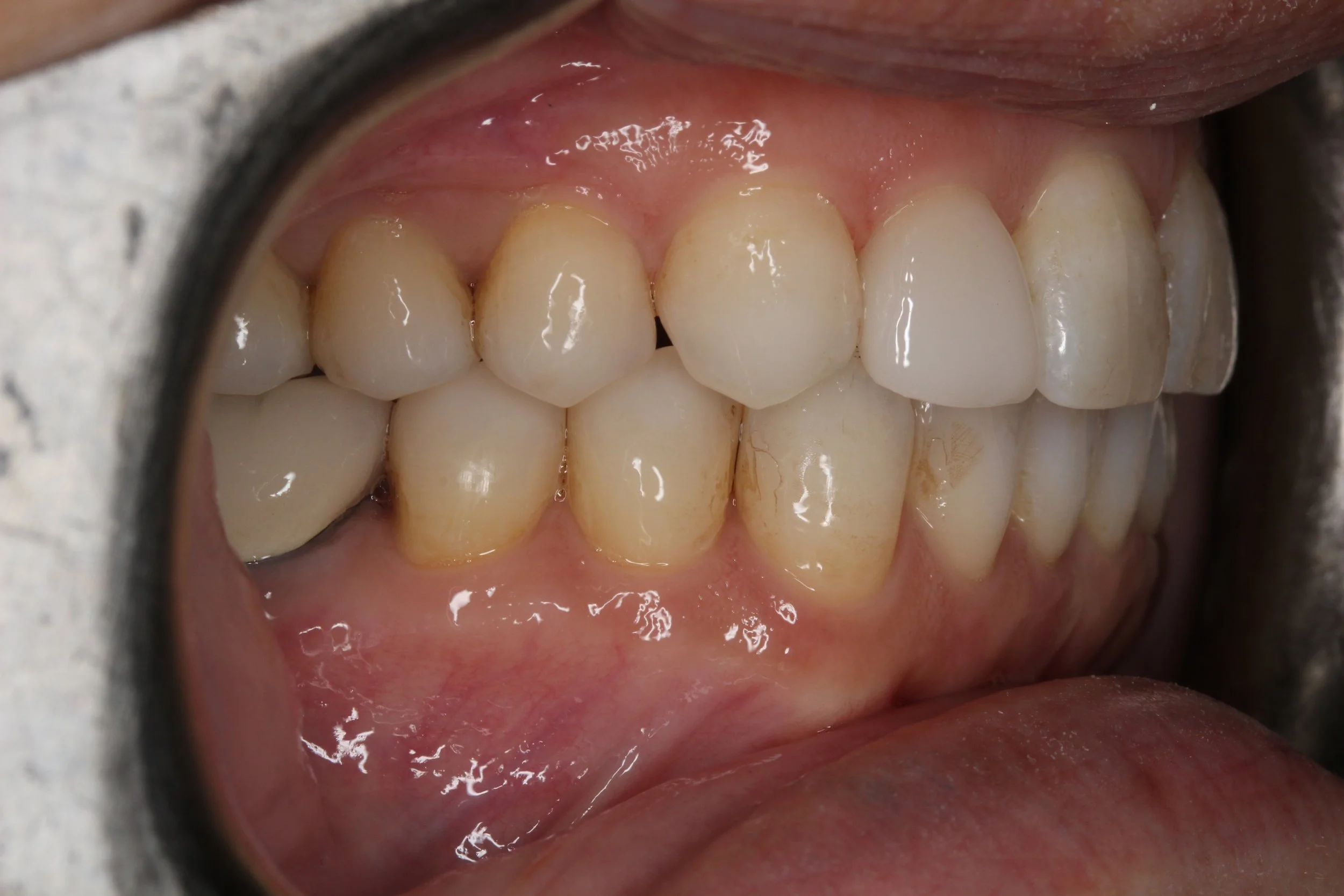
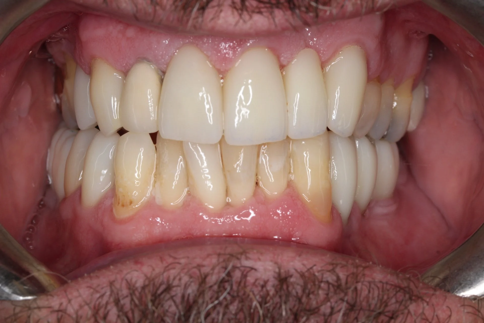
Before After

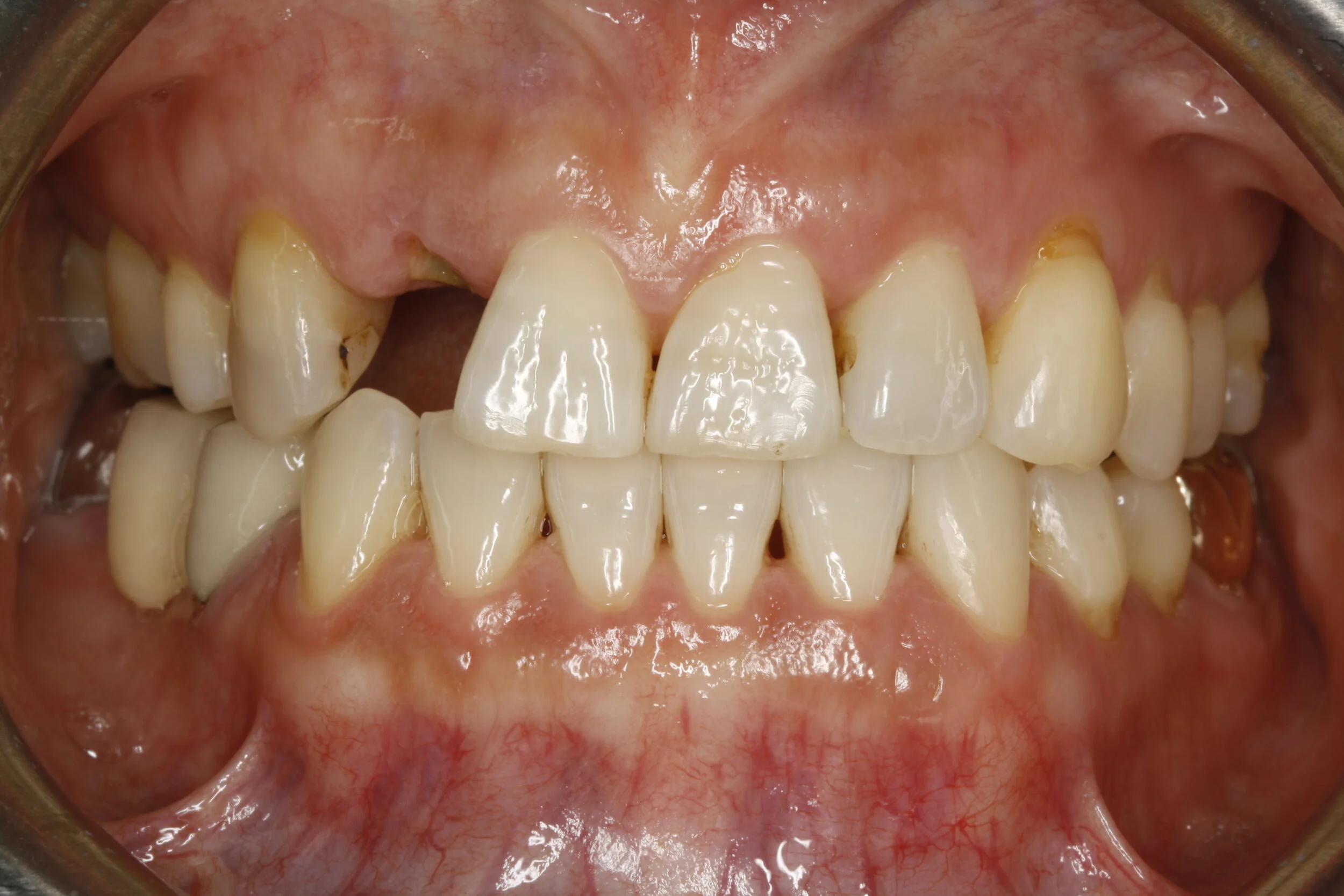
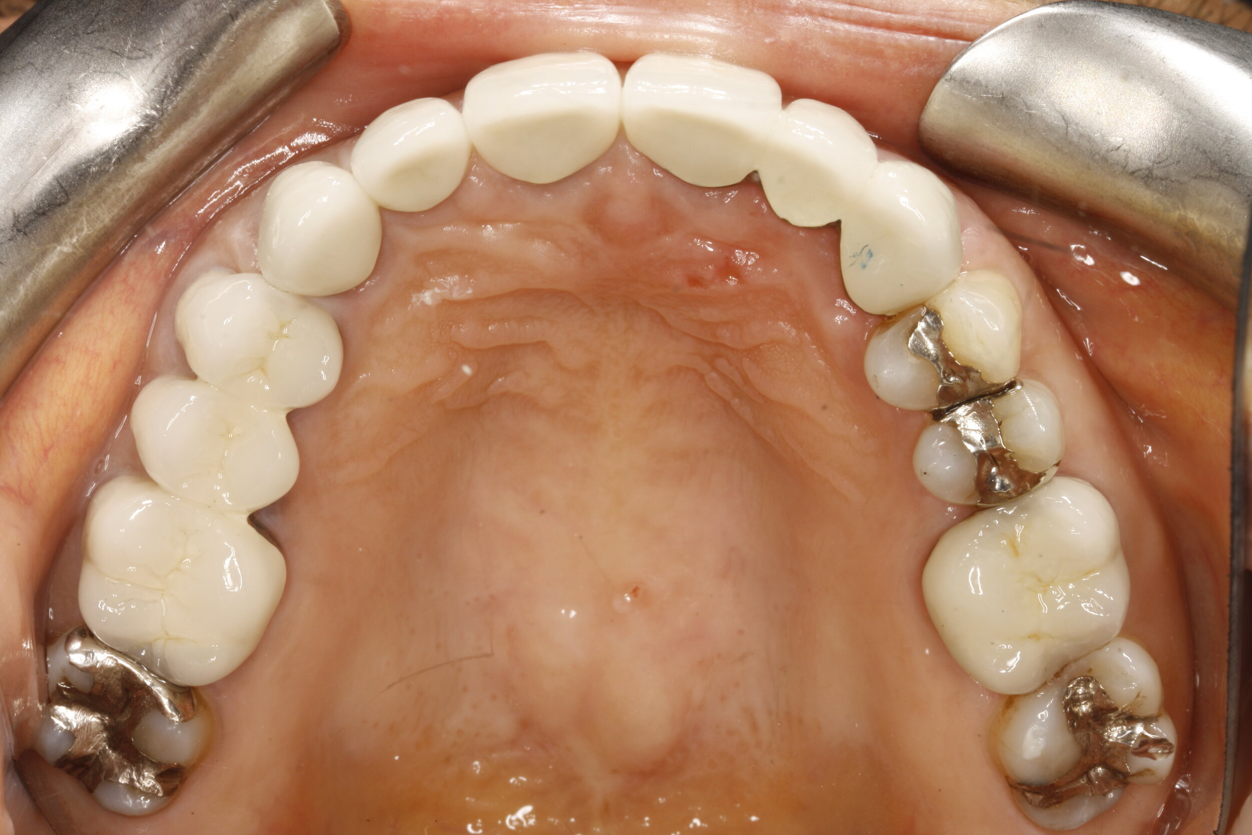
Upper Complete Denture & Lower Partial Denture

Before After

Implant Supported Bridge

Before After

Upper Front Bridge

Upper Front Veneer

Before After

Upper Front Crowns

Before After

Front Tooth Veneer

Before After

Upper Front Crowns

Before After

Upper Front Crowns

Before After

Upper Full Denture & Lower Implant Supported Denture

Before After

Implant Supported Crown

Before After

Upper Full Denture, Lower Implant Supported Bridges and Front Lower Bridge

Before After

_MG_8373.JPG
IMG_6917.JPG

Orthodontic Treatment & Anterior Implants

Before After

_MG_9023.JPG
IMG_4440.JPG

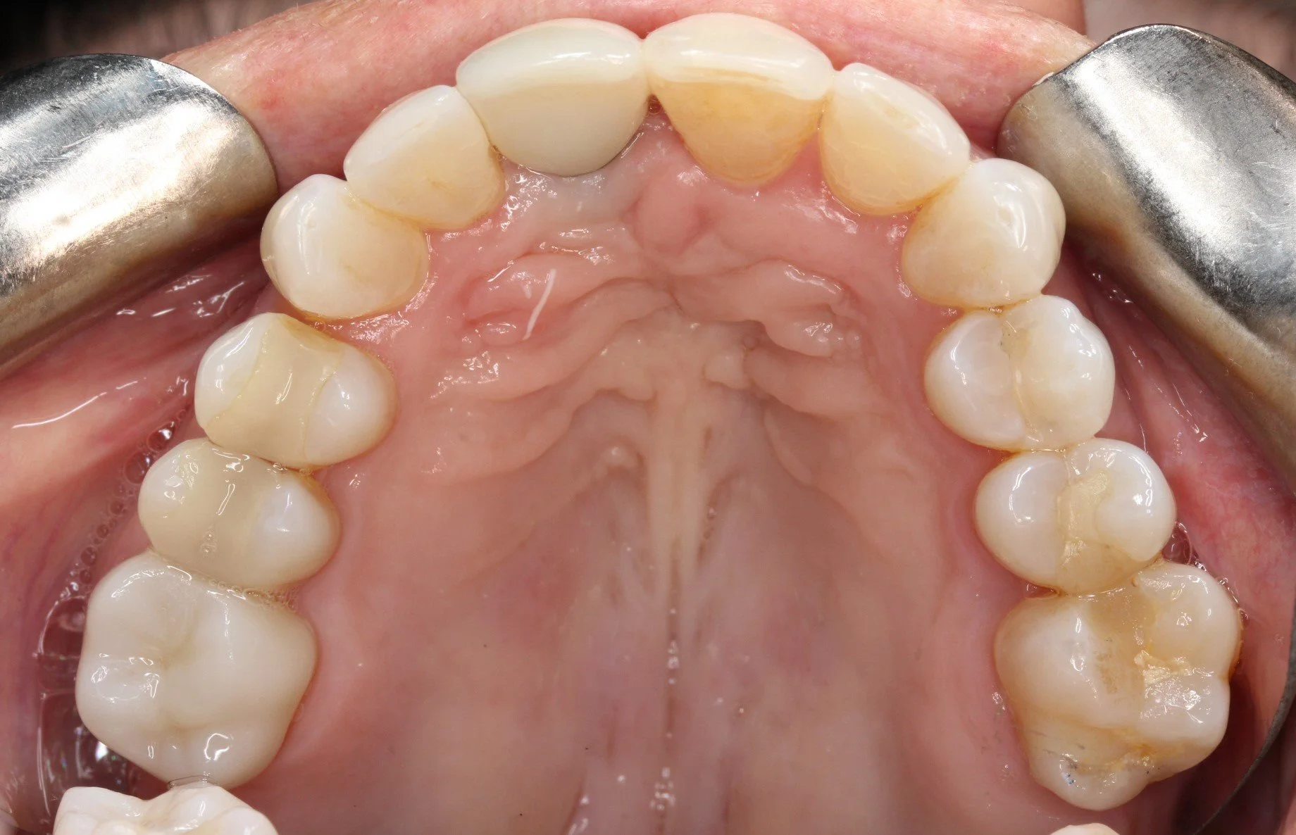
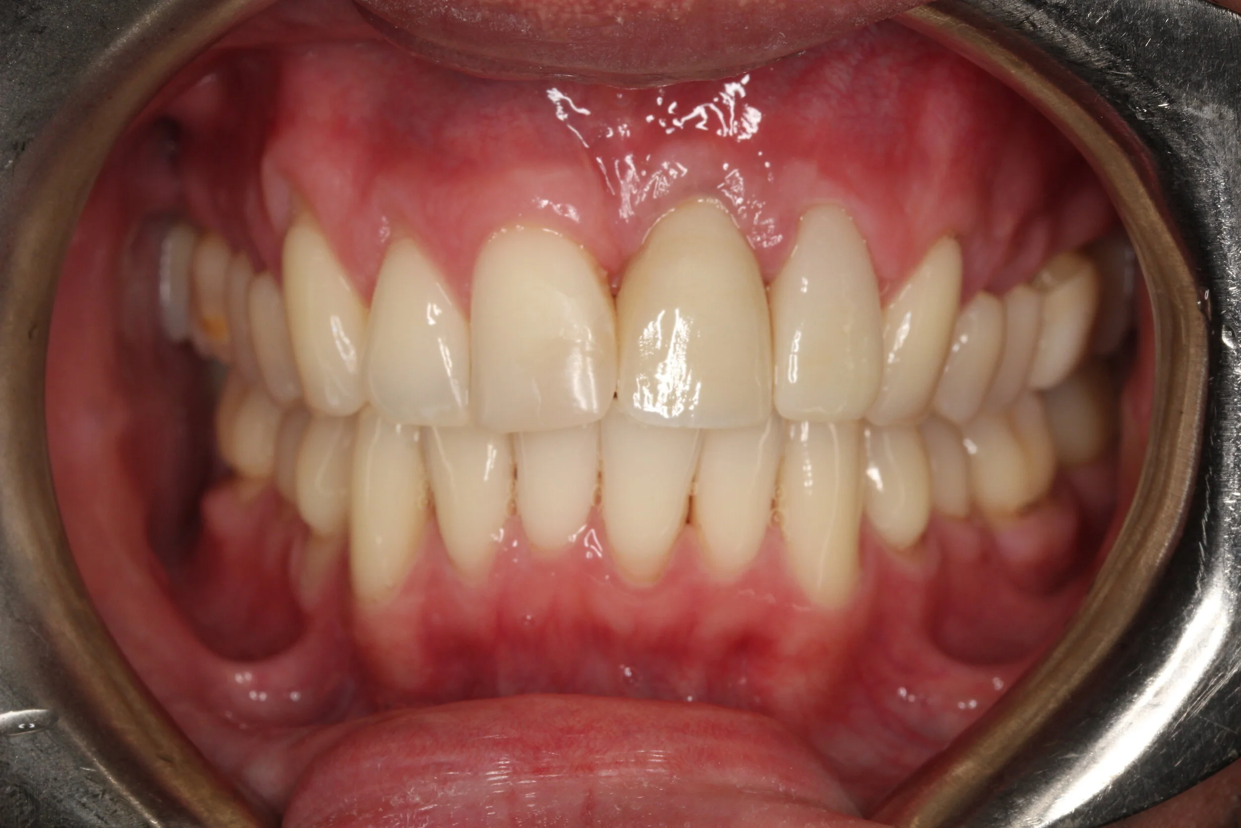
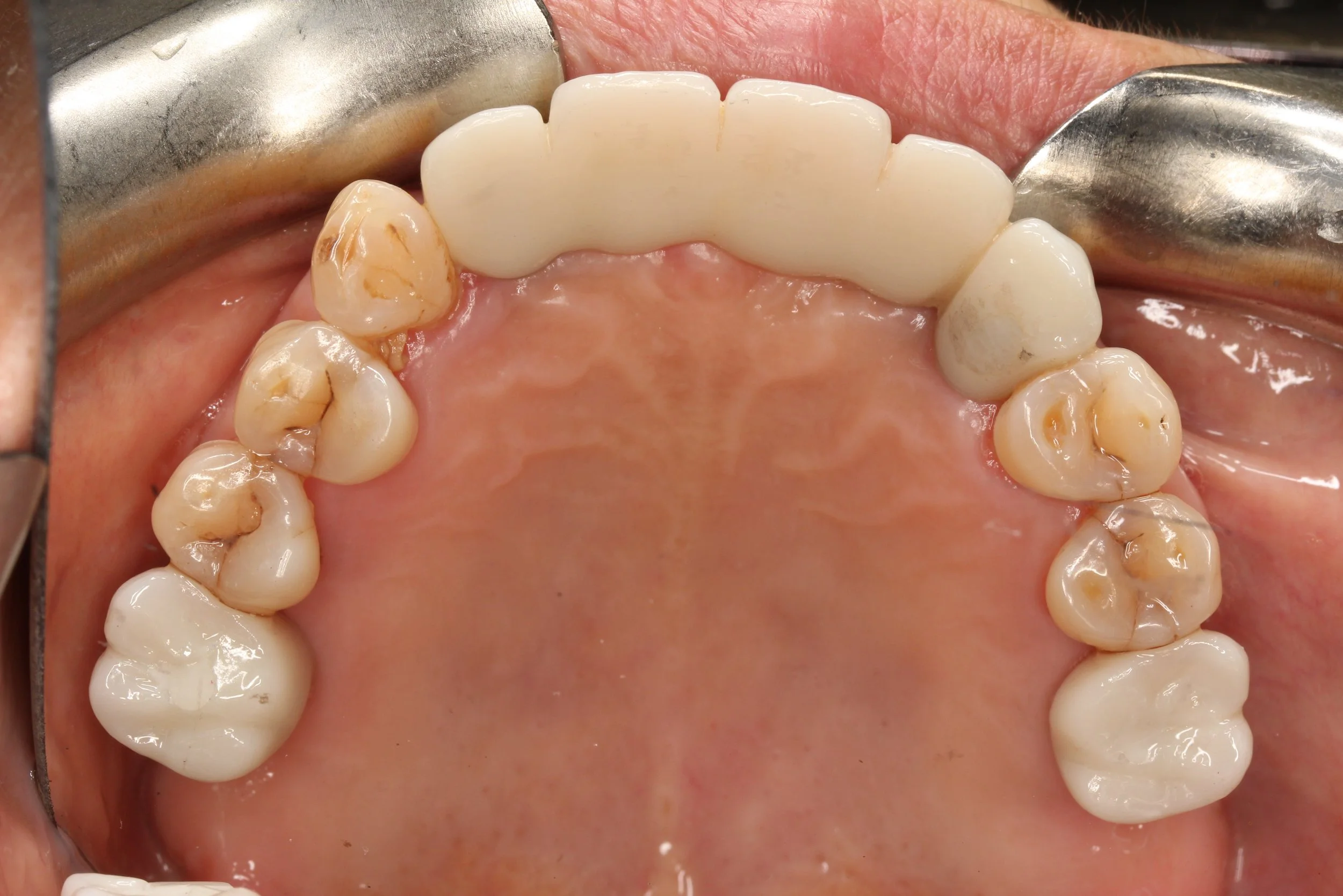
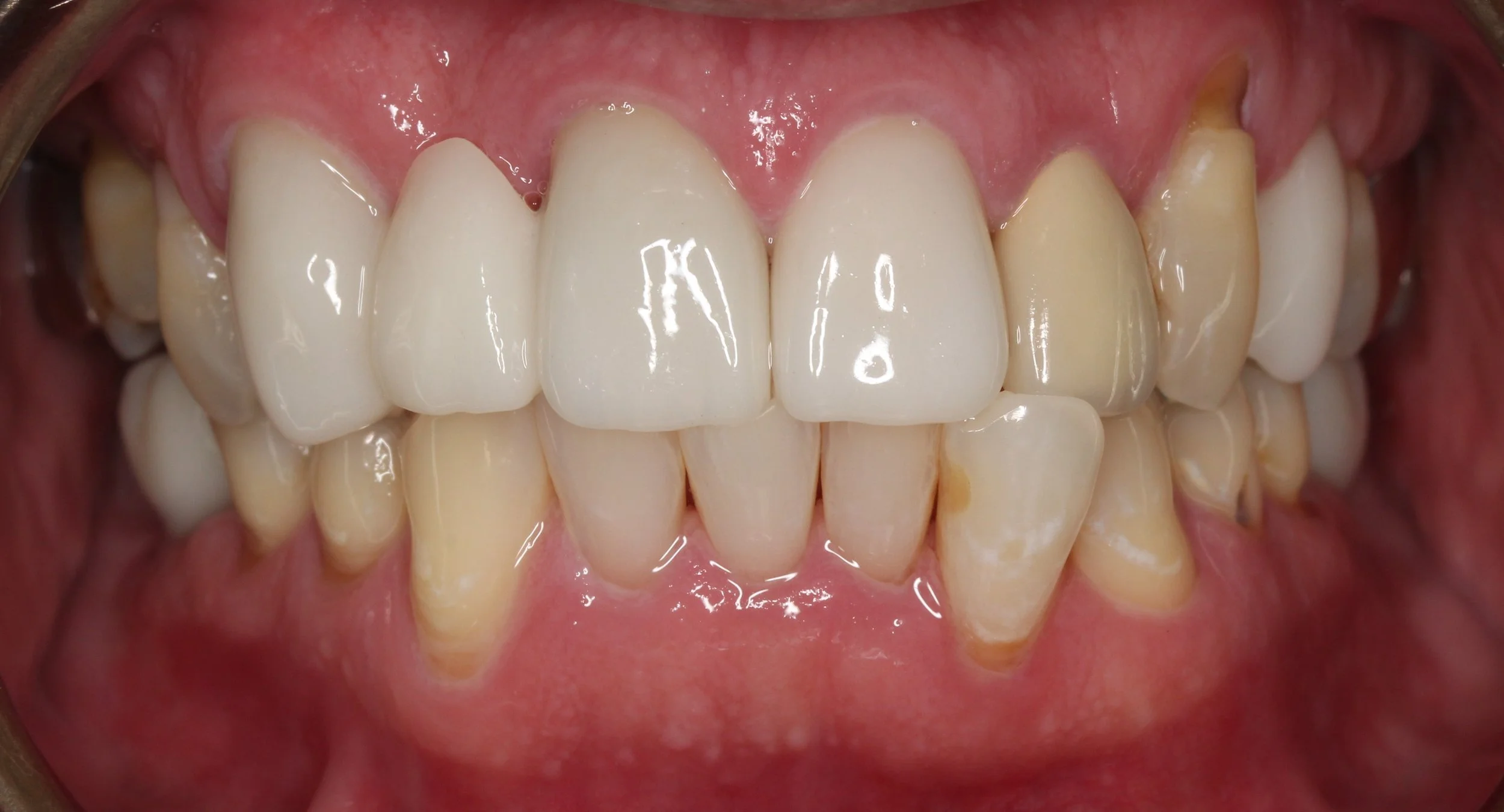
Full Mouth Rehabilitation

Before After

IMG_3355.JPG
IMG_3354.JPG
IMG_5813.JPG
IMG_5812.JPG

Upper Full Denture & Lower Implant Supported Denture

Before

IMG_5032.JPG
IMG_6137.JPG
IMG_5033.JPG
max occl- before.jpg
IMG_6142.JPG

After

mand occl- before.jpg
IMG_3904.JPG
IMG_3902.JPG
IMG_3906.JPG
ma occl.jpg
IMG_3903.JPG
mand occl.jpg

Upper Full Denture & Lower Implant Supported Denture

(patient previously had complete upper denture and complete lower denture)

Before

IMG_0696.JPG
IMG_0694.JPG
mand before.jpg

After

IMG_3981.JPG
IMG_3979.JPG
mand occl.jpg

Bridges & Crowns

Before After

_MG_0871.JPG
Ant after.JPG

Bridge on Upper Front

Before After

IMG_3591.JPG
IMG_6005.JPG

Upper Full Denture & Lower Implant Supported Denture

Before After

_MG_8826.JPG
IMG_7663.JPG

Upper Front Crowns

Before After

IMG_0696.JPG
IMG_4877.JPG

Lower Implant Supported Denture

Before After

_MG_5628.JPG
Mand after.JPG

Implant Supported Crown

Before After

_MG_8693.JPG
_MG_8617.JPG

Crowns & Bridges

Before After

_MG_0876.JPG
_MG_5054.JPG

Upper Crowns & Lower Implant Supported Bridge

Before After

_MG_5518.JPG
IMG_5883.JPG

Upper Implant Support Bridge

Before After

IMG_5738.JPG
IMG_8459.JPG

Veneer

Before After

Ant before.JPG
Ant after.JPG

Implant Supported Crown

Before After

Ante+-Before-.jpg
Ante+-After+Implant+supported+crown+placed-.jpg

Implant Supported Crown

Before After

Ant before.jpg
Ant+after.jpg

Implant Supported Crown

(Upper Left Central Incisor)

Before After

IMG_9258.JPG
IMG_0665.JPG

Upper front tooth Crowns

Before After

_MG_5432.JPG
IMG_1724.JPG

Upper Complete Denture

Lower Implant Supported Bridges (Left and Right Sides)

(Individual crowns placed on lower front teeth)

Before After

_MG_8374.JPG
IMG_1172.JPG

Veneer

Before After

IMG_1956.JPG
IMG_2109.JPG

Invisalign & Veneer

Before After

Upper Anterior Crowns

Before After

Upper front Teeth Filling

Before After

Upper Front Imprant Bridge

Before After

Front Teeth Crowns

Before After

Invislign & Front teeth bonding

Before After

Before

After Invislain with Patial Denture

After Implants treatment